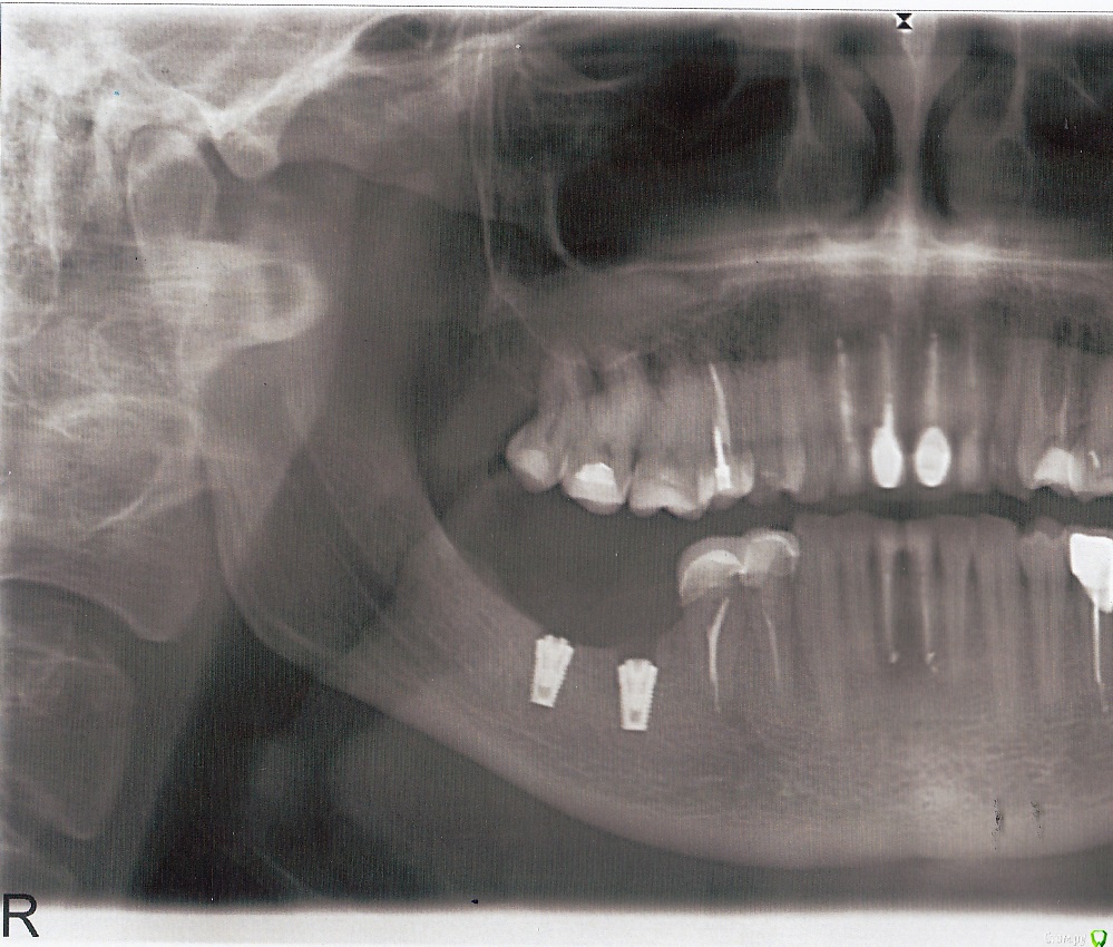
serrr Опубликовано 2 сентября, 2015 Поделиться Опубликовано 2 сентября, 2015 Добрый день.28.08.2015 мне установили импланты нижних 6-ки 7-ки . Во время сверления отверстия под 7-ку было кратковременное болевое ощущение, будто разряд электричества. Врач сказал, что такое бывает. Где-то спустя сутки или чуть более онемела часть губы до подбородка. Потеря чувствительности неполная. Идет пятый день после операции, видимого улучшения чувствительности нет. Сделал панорамный снимок. Врач, который делал операцию снимок смотрел, сказал, что нерв не задет и примерно через неделю онемение пройдет и чувствительность восстановится. Посмотрите, пожалуйста, снимок. Это нормальное явление и само пройдет, или необходимо менять имплант на более короткий или еще что-то?Спасибо! Ссылка на комментарий
Aquarius Опубликовано 2 сентября, 2015 Поделиться Опубликовано 2 сентября, 2015 Шестерку хорошо притопили)) Семерку можно и подвыкрутить. По этому снимку до нерва на самом деле расстояние есть Ссылка на комментарий
serrr Опубликовано 2 сентября, 2015 Автор Поделиться Опубликовано 2 сентября, 2015 про 6-ку, что ее притопили. Это не критичто? Ссылка на комментарий
Aquarius Опубликовано 2 сентября, 2015 Поделиться Опубликовано 2 сентября, 2015 (изменено) На мой взгляд, это нехорошо.Еще большая убыль кости будет вокруг импланта. Мысленно нарисуйте высоту коронок до верхних зубов. Даже с учетом, того, что рот полуоткрыт Изменено 2 сентября, 2015 пользователем Aquarius Ссылка на комментарий
serrr Опубликовано 2 сентября, 2015 Автор Поделиться Опубликовано 2 сентября, 2015 Да, как-то не очень(((( Ссылка на комментарий
Aquarius Опубликовано 2 сентября, 2015 Поделиться Опубликовано 2 сентября, 2015 Лучше сделать томограмму. Если положительной динамики не будет, надо корректировать работу. Ссылка на комментарий
serrr Опубликовано 4 сентября, 2015 Автор Поделиться Опубликовано 4 сентября, 2015 Хорошо, спасибо. Так и сделаю в начале следующей недели Ссылка на комментарий
doca Опубликовано 4 сентября, 2015 Поделиться Опубликовано 4 сентября, 2015 нет ничего страшного в том, что 6-й на снимке смотрится заглубленныи, возможно планировали обойтись без костной пластики и адекватная ширина кости была на этом уровне.Высота коронки , особенно при соединении с 7-м никакого отрицательного влияния на срок службы импланта не окажет. 2 Ссылка на комментарий
serrr Опубликовано 7 сентября, 2015 Автор Поделиться Опубликовано 7 сентября, 2015 Онемение так и не проходит, сегодня сделал КТ. Вот результаты https://yadi.sk/d/8pBNKzR2ivrDcПопросил в клинике посмотреть результаты. Он сказал, что нужно чуть-чуть выкрутить 7-ку, а то давит на канал. В среду иду с результатами КТ на прием к врачу, который ставил мне импланты. Послушаю, что он скажет. Но я буду просить немного открутить 7 ку. Ссылка на комментарий
Bier Опубликовано 7 сентября, 2015 Поделиться Опубликовано 7 сентября, 2015 открутить уже мало толку, скорее вынуть и поставить покороче. Ссылка на комментарий
serrr Опубликовано 8 сентября, 2015 Автор Поделиться Опубликовано 8 сентября, 2015 А почему открутить мало? Слишком близко и сильно давит?? Ссылка на комментарий
Рекомендуемые сообщения
Для публикации сообщений создайте учётную запись или авторизуйтесь
Вы должны быть пользователем, чтобы оставить комментарий
Создать аккаунт
Зарегистрируйте новый аккаунт в нашем сообществе. Это очень просто!
Регистрация нового пользователяВойти
Уже есть аккаунт? Войти в систему.
Войти