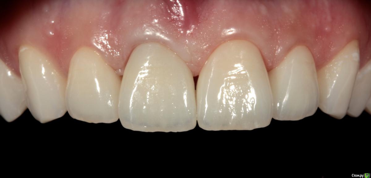
Bobby Опубликовано 2 сентября, 2015 Поделиться Опубликовано 2 сентября, 2015 (изменено) http://i209.photobucket.com/albums/bb76/Baburov/Baburov155/.008_zpse1geha3s.jpg http://i209.photobucket.com/albums/bb76/Baburov/Baburov155/.010_zpswv09r7qp.jpg http://i209.photobucket.com/albums/bb76/Baburov/Baburov155/.011_zps4cetskns.jpg http://i209.photobucket.com/albums/bb76/Baburov/Baburov155/.001_zpsuokpusmq.jpg http://i209.photobucket.com/albums/bb76/Baburov/Baburov155/.012_zps6vvtdtct.jpg http://i209.photobucket.com/albums/bb76/Baburov/Baburov155/.016_zpsubhe2bnn.jpg http://i209.photobucket.com/albums/bb76/Baburov/Baburov155/.015_zps4gnc3g6x.jpg http://i209.photobucket.com/albums/bb76/Baburov/Baburov155/.013_zpscmzxlqn2.jpg Всем привет из Питера Недавно был у Фрадеани и там показывал этот кейс как неудачу ... Изменено 2 сентября, 2015 пользователем Bobby 7 Ссылка на комментарий
molchanoff Опубликовано 2 сентября, 2015 Поделиться Опубликовано 2 сентября, 2015 все бы такую неудачу Ссылка на комментарий
Bobby Опубликовано 2 сентября, 2015 Автор Поделиться Опубликовано 2 сентября, 2015 все бы такую неудачу Работа негодная. На выброс. Ссылка на комментарий
Aquarius Опубликовано 2 сентября, 2015 Поделиться Опубликовано 2 сентября, 2015 А в чем фэйл то? Из-за сосочка? Или шутите просто?)) Ссылка на комментарий
Bobby Опубликовано 2 сентября, 2015 Автор Поделиться Опубликовано 2 сентября, 2015 А в чем фэйл то? Из-за сосочка? Или шутите просто?)) С сосочком всё хорошо ) Внимательнее ) Ссылка на комментарий
diesel87 Опубликовано 2 сентября, 2015 Поделиться Опубликовано 2 сентября, 2015 Как на фото коронка не падает? 1 Ссылка на комментарий
Aquarius Опубликовано 2 сентября, 2015 Поделиться Опубликовано 2 сентября, 2015 Медиально-аппроксимальные углы разные? Культя пробивается немного? Ссылка на комментарий
bugel Опубликовано 2 сентября, 2015 Поделиться Опубликовано 2 сентября, 2015 Не в прикусе? Ссылка на комментарий
Bobby Опубликовано 2 сентября, 2015 Автор Поделиться Опубликовано 2 сентября, 2015 Только один правильный ответ Ссылка на комментарий
Aquarius Опубликовано 2 сентября, 2015 Поделиться Опубликовано 2 сентября, 2015 Культя? Ссылка на комментарий
Чертков Александр Опубликовано 2 сентября, 2015 Поделиться Опубликовано 2 сентября, 2015 Культя "фонит" Ссылка на комментарий
Aquarius Опубликовано 2 сентября, 2015 Поделиться Опубликовано 2 сентября, 2015 Понравилось выигрывать? Ссылка на комментарий
bugel Опубликовано 2 сентября, 2015 Поделиться Опубликовано 2 сентября, 2015 11 подлинее бы... Ссылка на комментарий
Чертков Александр Опубликовано 2 сентября, 2015 Поделиться Опубликовано 2 сентября, 2015 Понравилось выигрывать? Тут же не загадка.. ...проверка "бдительности и внимательности"...ты в Сталинград то собираешься? Ссылка на комментарий
Aquarius Опубликовано 2 сентября, 2015 Поделиться Опубликовано 2 сентября, 2015 Нет, Саш, в след.году(( Ссылка на комментарий
sydnik Опубликовано 2 сентября, 2015 Поделиться Опубликовано 2 сентября, 2015 пац захотел все на 28 1 Ссылка на комментарий
Bobby Опубликовано 2 сентября, 2015 Автор Поделиться Опубликовано 2 сентября, 2015 Правильный ответ "сквозит" культя Ссылка на комментарий
zzkz Опубликовано 2 сентября, 2015 Поделиться Опубликовано 2 сентября, 2015 пациент это видит? если только по фото вам видно, а все остальное супер Ссылка на комментарий
Bobby Опубликовано 2 сентября, 2015 Автор Поделиться Опубликовано 2 сентября, 2015 пациент это видит? если только по фото вам видно, а все остальное супер Пациент не видит. Работа не сдана. Ссылка на комментарий
Фарид Расулыч Опубликовано 2 сентября, 2015 Поделиться Опубликовано 2 сентября, 2015 Истинное мастерство, это когда не прощаешь себе даже малейших ошибок.) Ссылка на комментарий
MAGiC Опубликовано 4 сентября, 2015 Поделиться Опубликовано 4 сентября, 2015 Пациент не видит. Работа не сдана.Главный вопрос,почему так получилось с десной?А остальное идеально. 1 Ссылка на комментарий
drusmanov Опубликовано 4 февраля, 2016 Поделиться Опубликовано 4 февраля, 2016 Чем всё закончилось? Ссылка на комментарий
GurDoc Опубликовано 4 февраля, 2016 Поделиться Опубликовано 4 февраля, 2016 Мдяя??? Бедный пациент... Ссылка на комментарий
red_butler Опубликовано 5 февраля, 2016 Поделиться Опубликовано 5 февраля, 2016 Мдяя??? Бедный пациент...Что это, пациент как раз состоятельный Ссылка на комментарий
Stomka Опубликовано 5 февраля, 2016 Поделиться Опубликовано 5 февраля, 2016 Правильный ответ "сквозит" культя почему такое произошло? есть ведь таблица соответствий цвета культи и таблетки. Ссылка на комментарий
Рекомендуемые сообщения
Для публикации сообщений создайте учётную запись или авторизуйтесь
Вы должны быть пользователем, чтобы оставить комментарий
Создать аккаунт
Зарегистрируйте новый аккаунт в нашем сообществе. Это очень просто!
Регистрация нового пользователяВойти
Уже есть аккаунт? Войти в систему.
Войти