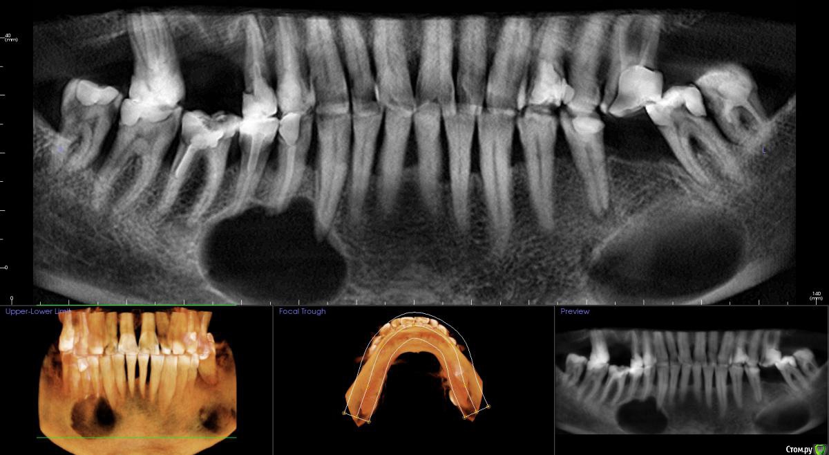
kamranchick Опубликовано 1 сентября, 2015 Поделиться Опубликовано 1 сентября, 2015 Не подскажите что с пациентом? пришел ставить мосты снизу и сверху, отправили на ОРТО, а тут такое... Ссылка на комментарий
diesel87 Опубликовано 1 сентября, 2015 Поделиться Опубликовано 1 сентября, 2015 Артефакт наверное) 1 Ссылка на комментарий
faity Опубликовано 2 сентября, 2015 Поделиться Опубликовано 2 сентября, 2015 отправьте в онко на всякий 1 1 Ссылка на комментарий
kamranchick Опубликовано 2 сентября, 2015 Автор Поделиться Опубликовано 2 сентября, 2015 Артефакт наверное)сначала прицельный сделали, потом панорамный, потом на кт, везде одна и та же картина была Ссылка на комментарий
brg Опубликовано 2 сентября, 2015 Поделиться Опубликовано 2 сентября, 2015 отправьте в онко на всякийТоже об этом сразу подумал. Ссылка на комментарий
JDS Опубликовано 2 сентября, 2015 Поделиться Опубликовано 2 сентября, 2015 А может обширная генерализованная радикулярная киста?? Слева будто резидуальная. Не буду тыкать в небо, дождемся ответа опытных))) Ссылка на комментарий
JDS Опубликовано 2 сентября, 2015 Поделиться Опубликовано 2 сентября, 2015 В онко понятно, а предварительный хоть какой диагноз поставите?? Жалобы пациент предъявляет?? Ссылка на комментарий
kamranchick Опубликовано 2 сентября, 2015 Автор Поделиться Опубликовано 2 сентября, 2015 В онко понятно, а предварительный хоть какой диагноз поставите?? Жалобы пациент предъявляет??Жалоб никаких абсолютно нет, во рту ничего не пальпируется, слизистая в норме, зубы также Ссылка на комментарий
pigmaleon Опубликовано 2 сентября, 2015 Поделиться Опубликовано 2 сентября, 2015 Радикулярная и резидуальная кисты. 1 Ссылка на комментарий
IshIm0 Опубликовано 2 сентября, 2015 Поделиться Опубликовано 2 сентября, 2015 Для начала к ЧЛХ отправьте, зачем сразу онко-центром пугать! А там на основании клиники, снимков и лабораторных данных ребята отправят в соответствующее учреждение или прям там с оперируют. Ссылка на комментарий
IshIm0 Опубликовано 2 сентября, 2015 Поделиться Опубликовано 2 сентября, 2015 Артефакт наверное) 1 Ссылка на комментарий
kamranchick Опубликовано 2 сентября, 2015 Автор Поделиться Опубликовано 2 сентября, 2015 Радикулярная и резидуальная кисты. и откуда они появились? Ссылка на комментарий
faity Опубликовано 2 сентября, 2015 Поделиться Опубликовано 2 сентября, 2015 Радикулярная и резидуальная кисты. а как же онконастороженность, док? не тот ли этот случай когда лучше перебдеть? 3 Ссылка на комментарий
major Опубликовано 2 сентября, 2015 Поделиться Опубликовано 2 сентября, 2015 В ЧЛХ. Там ребята если не будут подстраховываться(биопсия и т.д.) прооперируют с формированием дефекта или без. Скорее всего остеосинтез пластинами планироваться будет возможно + костные блоки из гребня подвздошной. Возможен дистракционный остеогенез, если будет дефект. Заинтересованные зубы удаляются.Онконастороженность никто не отменял))) Материал на гистологию конечно же. Ссылка на комментарий
doctorNice Опубликовано 6 сентября, 2015 Поделиться Опубликовано 6 сентября, 2015 Не подскажите что с пациентом? пришел ставить мосты снизу и сверху, отправили на ОРТО, а тут такое...Отправьте дайком файлы на почту Дмитрию Рогацкину. Он видел вашу публикацию. dmrogats@mail.ru Ссылка на комментарий
Рекомендуемые сообщения
Для публикации сообщений создайте учётную запись или авторизуйтесь
Вы должны быть пользователем, чтобы оставить комментарий
Создать аккаунт
Зарегистрируйте новый аккаунт в нашем сообществе. Это очень просто!
Регистрация нового пользователяВойти
Уже есть аккаунт? Войти в систему.
Войти