DimaKoleso Опубликовано 1 сентября, 2015 Поделиться Опубликовано 1 сентября, 2015 Это моя первая подобная работа, надеюсь не последняя)) 3 Ссылка на комментарий
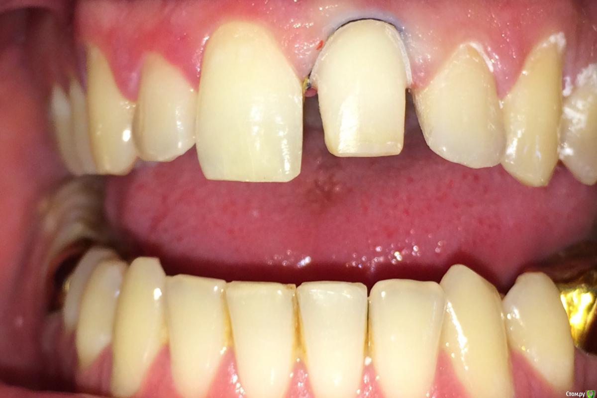
Ort-x Опубликовано 1 сентября, 2015 Поделиться Опубликовано 1 сентября, 2015 А что за пятно на вестибулярке? Ссылка на комментарий
DimaKoleso Опубликовано 1 сентября, 2015 Автор Поделиться Опубликовано 1 сентября, 2015 На объективе что-то( Ссылка на комментарий
Alberto Опубликовано 1 сентября, 2015 Поделиться Опубликовано 1 сентября, 2015 Проф гигиену пол рта не мешало бы сделать, а почему металлические коронки оставили? Ссылка на комментарий
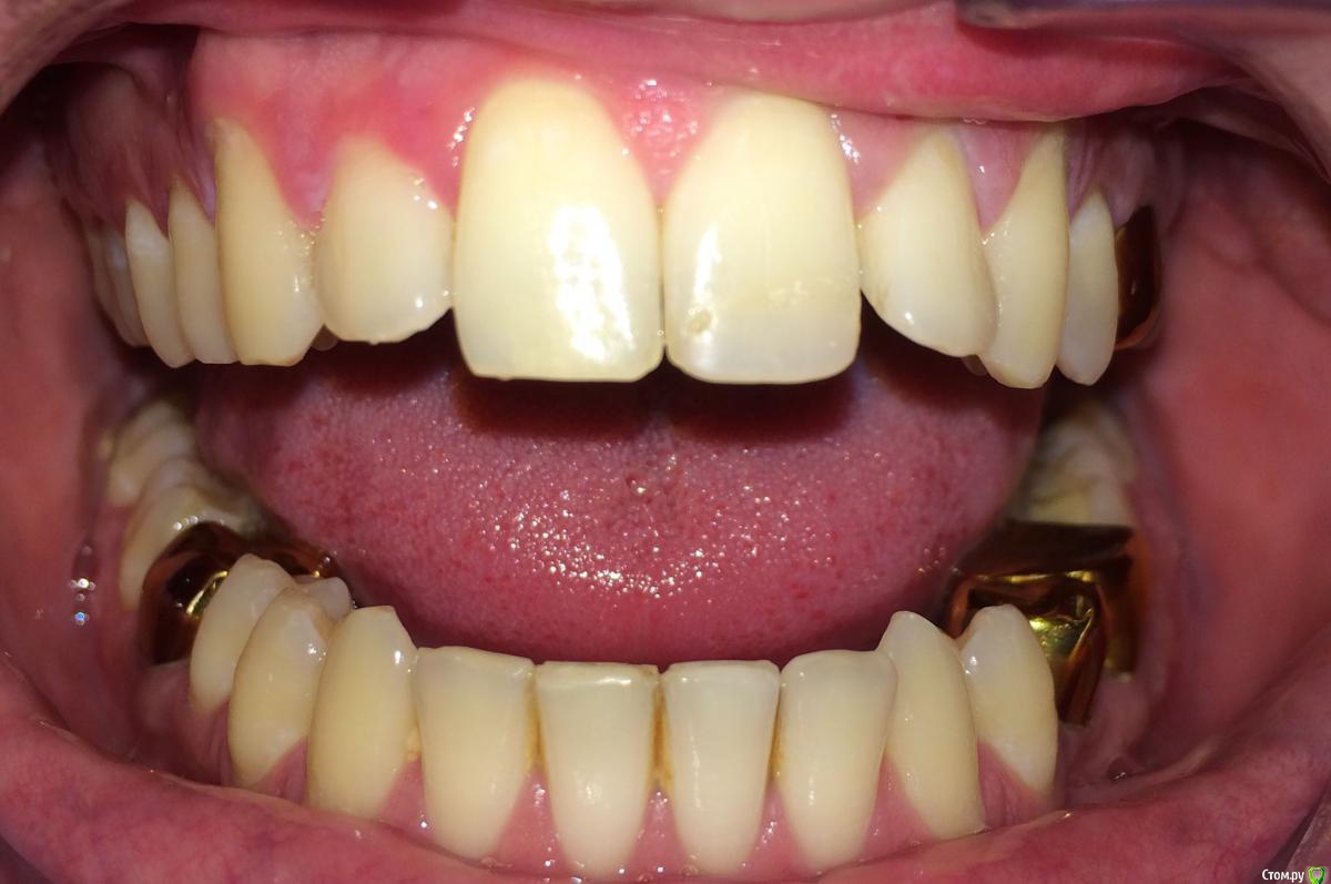
diesel87 Опубликовано 1 сентября, 2015 Поделиться Опубликовано 1 сентября, 2015 Пациенту понравилось? Ссылка на комментарий
molchanoff Опубликовано 2 сентября, 2015 Поделиться Опубликовано 2 сентября, 2015 надо было второй прихватить для симетрии и покороче их сделать Ссылка на комментарий
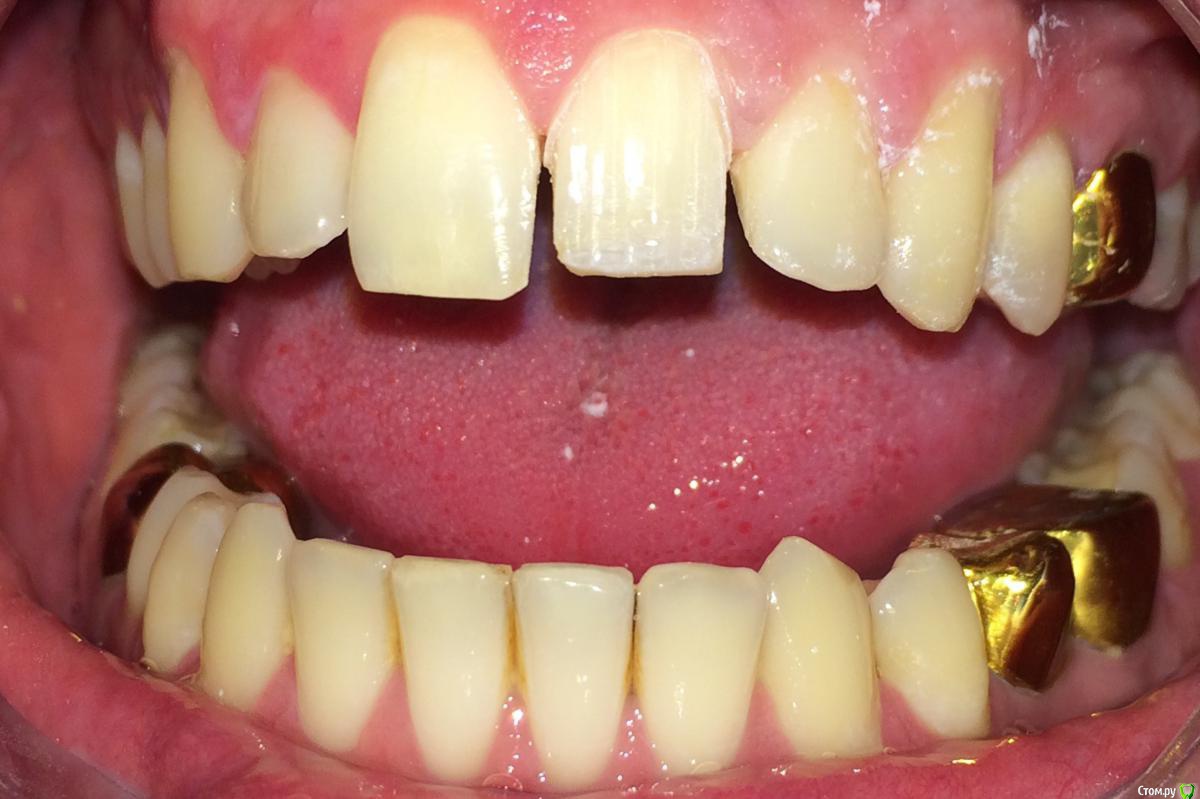
syrovovec Опубликовано 2 сентября, 2015 Поделиться Опубликовано 2 сентября, 2015 (изменено) я не совсем ортопед, но кмк не с того начали, для начала гигиена, поменять железки, пломбочки.....А так все вроде аккуратно. Изменено 2 сентября, 2015 пользователем syrovovec Ссылка на комментарий
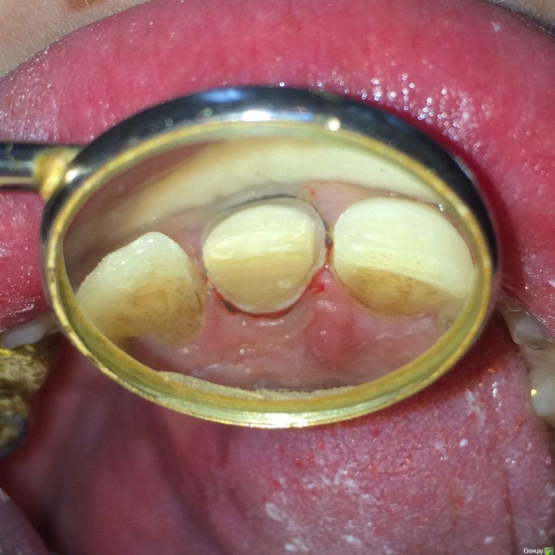
Aquarius Опубликовано 2 сентября, 2015 Поделиться Опубликовано 2 сентября, 2015 На фото с моделью - скол на вестибулярке по уступу? Ссылка на комментарий
Фарид Расулыч Опубликовано 2 сентября, 2015 Поделиться Опубликовано 2 сентября, 2015 Это у Ваших техников ТАКИЕ рабочие модели???? Ссылка на комментарий
Фарид Расулыч Опубликовано 2 сентября, 2015 Поделиться Опубликовано 2 сентября, 2015 (изменено) Зубы пациента напомнили Изменено 2 сентября, 2015 пользователем Фарид Расулыч Ссылка на комментарий
DimaKoleso Опубликовано 2 сентября, 2015 Автор Поделиться Опубликовано 2 сентября, 2015 Это у Ваших техников ТАКИЕ рабочие модели????Это контролька Ссылка на комментарий
DimaKoleso Опубликовано 2 сентября, 2015 Автор Поделиться Опубликовано 2 сентября, 2015 На фото с моделью - скол на вестибулярке по уступу? Нет, там все норм Ссылка на комментарий
Freelancer1981 Опубликовано 3 сентября, 2015 Поделиться Опубликовано 3 сентября, 2015 Преп аккуратный,фото-явный пересвет,сходите на курсы по фотографии,а то непонятно попали вы в цвет или нет,зубы действительно нужно было делать короче и брать оба. Ссылка на комментарий
Freelancer1981 Опубликовано 3 сентября, 2015 Поделиться Опубликовано 3 сентября, 2015 Да,самое главное,начинать нужно с бокового сегмента имхо,отсутствие бугров и жев. поверхности у боковых зубов повлечет за собой перегруз клыков и соответсвенно стираемость их,что в последствии отразится на фронте,тупо поколет весь ваш имакс.Работа выглядит незаконченной. Ссылка на комментарий
DimaKoleso Опубликовано 3 сентября, 2015 Автор Поделиться Опубликовано 3 сентября, 2015 Спасибо за советы Ссылка на комментарий
Рекомендуемые сообщения
Для публикации сообщений создайте учётную запись или авторизуйтесь
Вы должны быть пользователем, чтобы оставить комментарий
Создать аккаунт
Зарегистрируйте новый аккаунт в нашем сообществе. Это очень просто!
Регистрация нового пользователяВойти
Уже есть аккаунт? Войти в систему.
Войти