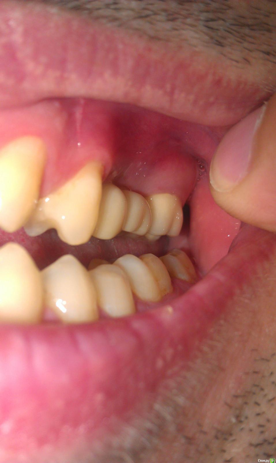
RussiaRuleZzZ Опубликовано 1 сентября, 2015 Поделиться Опубликовано 1 сентября, 2015 (изменено) Здравствуйте.Хотелось бы услышать ваше мнение.Сейчас в процессе протезирования. На данный момент поставили временные коронки на два импланта, коронки спаенный. Постоянные планируется отдельные под индивидуальный абатмент.Изначально меня волновал вопрос боковая атрофия (долго не было зубов). В принципе врачи до начала всего лечения успокоили, что не критично, по факту будет видно. Т.е. именно, что будет забиваться еда.После проведения синуса и всех этих манипуляция, я заметил что боковая часть действительно выравнялась по сравнению с исходной.Сейчас с временными коронками действительно еда забивается, т.к. форма коронок соответствующая ( как полка) ))))Врач сразу предупредил, что постоянные коронки будут шире, пологие и т.д. и т.п. И что десна будет более поджата и расширена. Хотя я не думал что еда будет забиваться, т.к. на моменте приживления иплантов визуально как будто все было хорошо по толщине.Скажите на сколько критична ситуация? Стоит ли мне задумываться о пересадке (или как это называется) десны для утолщения, пока еще не началось основное протезирование? Или все же должно быть в норме? Изменено 1 сентября, 2015 пользователем RussiaRuleZzZ Ссылка на комментарий
faity Опубликовано 1 сентября, 2015 Поделиться Опубликовано 1 сентября, 2015 я бы переделал времяшки на более анатомическую форму и подсадил слизистую 1 Ссылка на комментарий
RussiaRuleZzZ Опубликовано 1 сентября, 2015 Автор Поделиться Опубликовано 1 сентября, 2015 (изменено) я бы переделал времяшки на более анатомическую форму и подсадил слизистуюСпасибо за ответ, не подскажите как называется сама операция по подсадке слизистой?Я как бы тоже не очень понял смысл в форме таких времянок, т.к. до начала протезирования мне о них говорилось как о предпоготовке к протезированию, чтобы они сформировали десневую часть, а по факту они очень странно выглядят. Хотя врач сказал, чтобы сейчас не стоит обращать на это внимание. Изменено 1 сентября, 2015 пользователем RussiaRuleZzZ Ссылка на комментарий
faity Опубликовано 1 сентября, 2015 Поделиться Опубликовано 1 сентября, 2015 мягкотканная пластика в области импланта, методов много, у каждого свои предпочтения. 1 Ссылка на комментарий
Рекомендуемые сообщения
Для публикации сообщений создайте учётную запись или авторизуйтесь
Вы должны быть пользователем, чтобы оставить комментарий
Создать аккаунт
Зарегистрируйте новый аккаунт в нашем сообществе. Это очень просто!
Регистрация нового пользователяВойти
Уже есть аккаунт? Войти в систему.
Войти