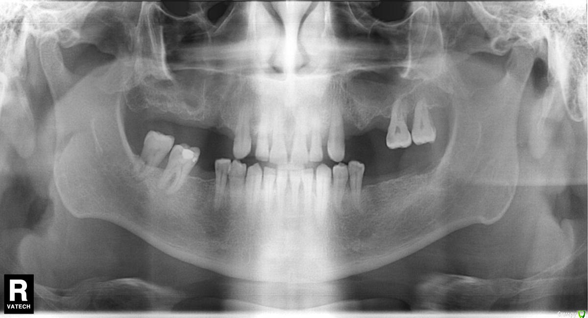
DESS Опубликовано 31 августа, 2015 Поделиться Опубликовано 31 августа, 2015 Добрый день, совсем запустил зубы...но сейчас совсем прижало...и надо исправлять положение...могли бы вы подсказать...к чему готовиться... Ссылка на комментарий
Чертков Александр Опубликовано 31 августа, 2015 Поделиться Опубликовано 31 августа, 2015 Добрый. Смотря что Вы хотите... В данной ситуации есть несколько вариантов развития событий... Ссылка на комментарий
DESS Опубликовано 1 сентября, 2015 Автор Поделиться Опубликовано 1 сентября, 2015 Хотелось бы оптимальный курс пройти....и длительное время к этому не возвращаться...я не специалист и очень боюсь все связанное с лечением зубов... Ссылка на комментарий
Bier Опубликовано 2 сентября, 2015 Поделиться Опубликовано 2 сентября, 2015 совет в личке Ссылка на комментарий
DESS Опубликовано 18 сентября, 2015 Автор Поделиться Опубликовано 18 сентября, 2015 спасибо...можно тему убить Ссылка на комментарий
Рекомендуемые сообщения