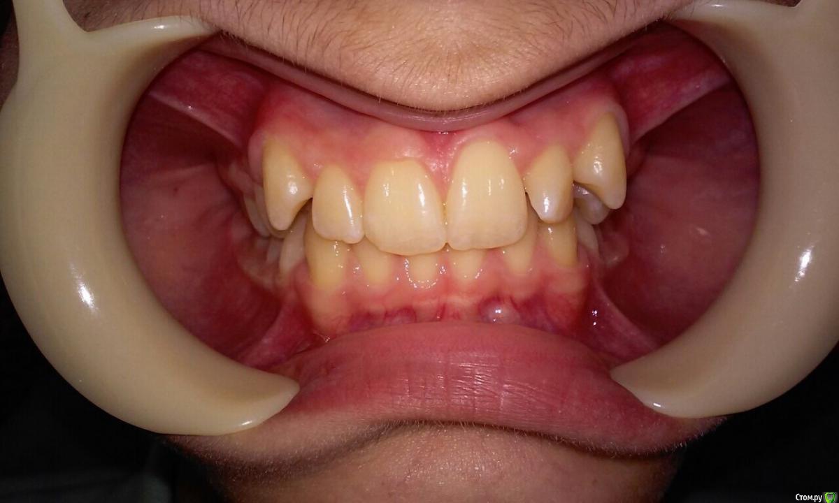
natkoorth1991 Опубликовано 28 августа, 2015 Поделиться Опубликовано 28 августа, 2015 мальчик, 13 лет, премоляры удалять не хотели, поставила хайракс на в / ч- получила перекрестную окклюзию. Извините за плохие фото( Что теперь делать? фото после: Ссылка на комментарий
DR.P Опубликовано 28 августа, 2015 Поделиться Опубликовано 28 августа, 2015 (изменено) Думаю теперь верх и низ исправление прикуса с помощью брекет систем, со всеми расчетами трг. Послушаю Изменено 28 августа, 2015 пользователем DR.P Ссылка на комментарий
natkoorth1991 Опубликовано 29 августа, 2015 Автор Поделиться Опубликовано 29 августа, 2015 поставлю, зубы в/ ч выровняю, но несоответствий в боковых участках останется. зубы н/ч потом резинками в окклюзию не введу, наверное( Ссылка на комментарий
Molox Опубликовано 29 августа, 2015 Поделиться Опубликовано 29 августа, 2015 Выведете. Наверх поставьте зауженную дугу, на низ - стандартную или широкую. Поскольку диастемы не появилось, у меня стойкое подозрение, что расширение было зубоальвеолярным, значит на брекетах вернуть все можно. Скажите, а зачем вообще аппарат ставили? Дефицит места минимальный, десна хорошая; на брекетах за 6 мес все бы расправилось. Ссылка на комментарий
natkoorth1991 Опубликовано 29 августа, 2015 Автор Поделиться Опубликовано 29 августа, 2015 там 22 повернут был , плюс клыки выпирали, считала , считала - больше 8 мм получилось.. побоялась, что протрузия сильная будет, плюс там явно сужение в обл премоляров( получается сейчас хайракс просто снять и поставить начальную нитиноловую или есть смысл брекеты плюс хайракс как ретенция, а когда клыки и двойка станут снять аппарат. Брекеты на низ сразу или позже лучше ставить?) Ссылка на комментарий
natkoorth1991 Опубликовано 29 августа, 2015 Автор Поделиться Опубликовано 29 августа, 2015 одному мальчику тоже в 13 ставила несъемный на накладках плюс винт, классное расширение получила, но потом с диастемами мучалась. Тут нет смысла еще на низ ставить , всейравно на з/а расширение и после снятия рецидив будет? Ссылка на комментарий
Yana guapa Опубликовано 29 августа, 2015 Поделиться Опубликовано 29 августа, 2015 конечно, показаний для PRE здесь не было. но раз уж поставили, то поставили.Я бы теперь скручила винт в обратную сторону. будет нужный результат. Потом сняла бы аппарат и просто сделала бы перерыв. Премоляры сами немного вернуться к исходному положению Нет ТРГ. Но стакой инклинацией верхних центральных резцов могу предположить, что НЧ смещена кзади. Если это выяснится, и в ходе лечения НЧ будем перемещать вперед, то это тоже поспособствует лучшему смыканию. ждем снимков 2 1 Ссылка на комментарий
natkoorth1991 Опубликовано 29 августа, 2015 Автор Поделиться Опубликовано 29 августа, 2015 конечно, показаний для PRE здесь не было. но раз уж поставили, то поставили.Я бы теперь скручила винт в обратную сторону. будет нужный результат. Потом сняла бы аппарат и просто сделала бы перерыв. Премоляры сами немного вернуться к исходному положению Нет ТРГ. Но стакой инклинацией верхних центральных резцов могу предположить, что НЧ смещена кзади. Если это выяснится, и в ходе лечения НЧ будем перемещать вперед, то это тоже поспособствует лучшему смыканию. ждем снимковспасибо) Ссылка на комментарий
natkoorth1991 Опубликовано 29 августа, 2015 Автор Поделиться Опубликовано 29 августа, 2015 брекеты на вч не ставить пока? или зафиксировать и раскручивать обратно. По моделям там есть смещение нч где-то на половину бугра. На трг отправлю. Ссылка на комментарий
Molox Опубликовано 29 августа, 2015 Поделиться Опубликовано 29 августа, 2015 Вам предложили два варианта, на выбор)Либо скручивать назад и дать возможность компенсации за счет рецидива, либо ставить брекеты). Решайте сами. 1 Ссылка на комментарий
Yana guapa Опубликовано 29 августа, 2015 Поделиться Опубликовано 29 августа, 2015 брекеты на вч не ставить пока? или зафиксировать и раскручивать обратно. По моделям там есть смещение нч где-то на половину бугра. На трг отправлю.я бы не ставила.разберитесь с одной пролемой вначале. чтобы не получить новых. 1 1 Ссылка на комментарий
natkoorth1991 Опубликовано 29 августа, 2015 Автор Поделиться Опубликовано 29 августа, 2015 Вам трг лучше скидывать с програмными расчетами или можно самой основные углы посчитать? Ссылка на комментарий
Maverick Опубликовано 29 августа, 2015 Поделиться Опубликовано 29 августа, 2015 Хайрекс был не по показаниям. Обычная брекет система с этим справилась бы прекрасно. Снимайте его. Пока костная мазоль не образовалась переживать не надо, а это обычно занимает 4-5 месяцев, сняв аппарат получите рецидив и все вернется на круги своя. Либо как предложили выше скручивайте назад такими же темпами. Брекеты не ставьте пока не получить изначальную форму дуги, ну или близкую к ней. Трг это конечно хорошо, но надо смотреть на профиль - это показатель лечения, слепо доверять цифрам не совсем хорошая идея. Лечим не цифры, а людей. 2 1 Ссылка на комментарий
natkoorth1991 Опубликовано 29 августа, 2015 Автор Поделиться Опубликовано 29 августа, 2015 Успокоили) Ссылка на комментарий
Yana guapa Опубликовано 29 августа, 2015 Поделиться Опубликовано 29 августа, 2015 Вам трг лучше скидывать с програмными расчетами или можно самой основные углы посчитать? залить надо обычный оригинал ТРГ. если есть возможность расчета - тоже залейте. ну и конечно ОПТГ, фото лица фас, профиль, с улыбкой и без. все имеет значение Ссылка на комментарий
Maverick Опубликовано 29 августа, 2015 Поделиться Опубликовано 29 августа, 2015 Выведете. Наверх поставьте зауженную дугу, на низ - стандартную или широкую. Поскольку диастемы не появилось, у меня стойкое подозрение, что расширение было зубоальвеолярным, значит на брекетах вернуть все можно. Скажите, а зачем вообще аппарат ставили? Дефицит места минимальный, десна хорошая; на брекетах за 6 мес все бы расправилось. Диастема может не появляться. Все зависит от интенсивности раскручивания винта. При медленном, а не агрессивном расширении не бывает диастемы в области центральных резцов. Ссылка на комментарий
Molox Опубликовано 30 августа, 2015 Поделиться Опубликовано 30 августа, 2015 Диастема может не появляться. Все зависит от интенсивности раскручивания винта. При медленном, а не агрессивном расширении не бывает диастемы в области центральных резцов.При медленном расширении и скелетного эффекта почти нет. Только зубо-альвеолярная компенсация. 1 Ссылка на комментарий
Maverick Опубликовано 30 августа, 2015 Поделиться Опубликовано 30 августа, 2015 (изменено) Все относительно. Если крутить не два раза в день, аж через день, или раз в день. То диастема может не появиться, потому что успевает произойти рецидив во фронте Изменено 30 августа, 2015 пользователем Maverick Ссылка на комментарий
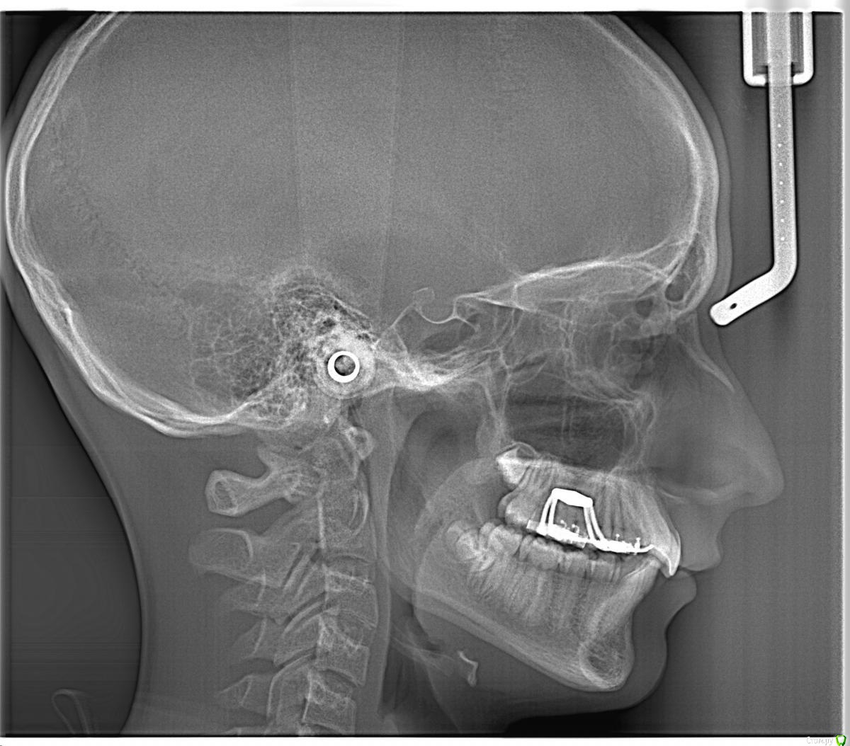
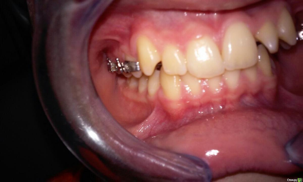
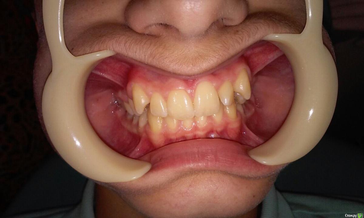
natkoorth1991 Опубликовано 2 сентября, 2015 Автор Поделиться Опубликовано 2 сентября, 2015 фото и трг Ссылка на комментарий
udgine1990 Опубликовано 9 сентября, 2015 Поделиться Опубликовано 9 сентября, 2015 испортили парня Думаю ничего страшного нет,снимайте аппарат и брекеты Ссылка на комментарий
Рекомендуемые сообщения
Для публикации сообщений создайте учётную запись или авторизуйтесь
Вы должны быть пользователем, чтобы оставить комментарий
Создать аккаунт
Зарегистрируйте новый аккаунт в нашем сообществе. Это очень просто!
Регистрация нового пользователяВойти
Уже есть аккаунт? Войти в систему.
Войти