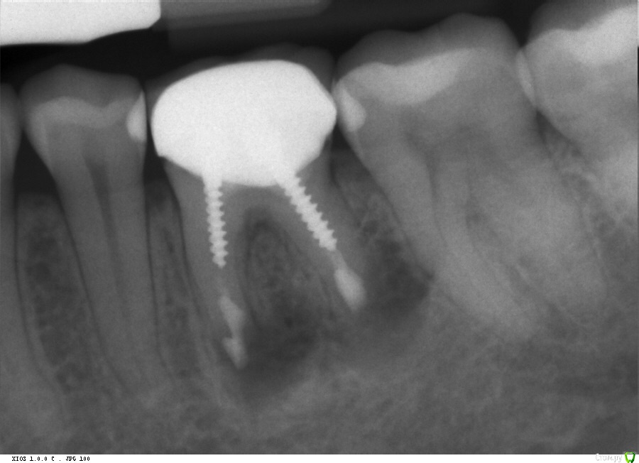
pin-up Опубликовано 28 августа, 2015 Поделиться Опубликовано 28 августа, 2015 Дорогие доктора!!У меня разболелся пятый зуб. Десна около него была красной и больно было надкусывать. А возле него у меня был плохой зуб, который я упорно спасала ( снимок был сделан сразу после резекции шестерки). Моя доктор сказала, что пятый зуб здоров, и скорей всего шестой зуб дает воспаление и из-за него страдает пятый. Короче говоря, удалили мне шестой зуб. Но пятый все также болит, при надкусывании и постукивании по нему. Симптомы могут проходить, но через пару дней опять начинает болеть. Прям не знаю что делать. Посоветуйте что-нибудь, пожалуйста. Ссылка на комментарий
sydnik Опубликовано 28 августа, 2015 Поделиться Опубликовано 28 августа, 2015 для начала новый снимок. Ссылка на комментарий
DR.P Опубликовано 28 августа, 2015 Поделиться Опубликовано 28 августа, 2015 Ждем новый снимок Ссылка на комментарий
pin-up Опубликовано 28 августа, 2015 Автор Поделиться Опубликовано 28 августа, 2015 (изменено) Зачем? Все тоже самое, только отсутствует шестерка. Снимок относительно свежий Изменено 28 августа, 2015 пользователем pin-up Ссылка на комментарий
anvladd Опубликовано 28 августа, 2015 Поделиться Опубликовано 28 августа, 2015 Нет снимка,нет советов! Ссылка на комментарий
pils Опубликовано 29 августа, 2015 Поделиться Опубликовано 29 августа, 2015 (изменено) Зачем? Все тоже самое, только отсутствует шестерка. Снимок относительно свежий Чтобы комментировать АКТУАЛЬНОЕ состояние Вашего зуба, нужны хоть какие-то АКТУАЛЬНЫЕ объективные данные. Объективным может быть фото хорошего качества и рентген. Изменено 29 августа, 2015 пользователем pils 1 Ссылка на комментарий
Рекомендуемые сообщения
Для публикации сообщений создайте учётную запись или авторизуйтесь
Вы должны быть пользователем, чтобы оставить комментарий
Создать аккаунт
Зарегистрируйте новый аккаунт в нашем сообществе. Это очень просто!
Регистрация нового пользователяВойти
Уже есть аккаунт? Войти в систему.
Войти