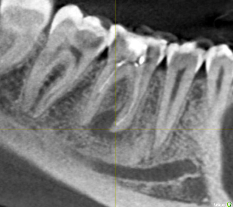
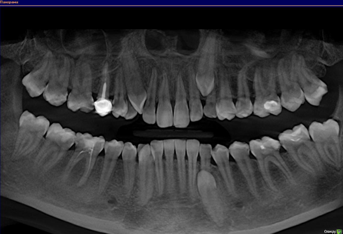
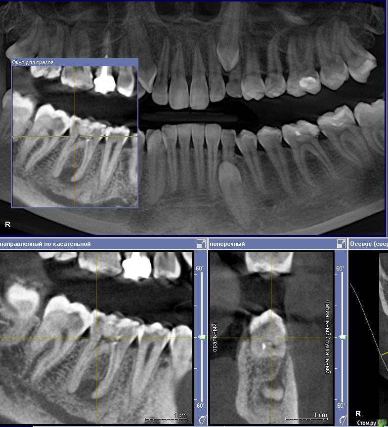
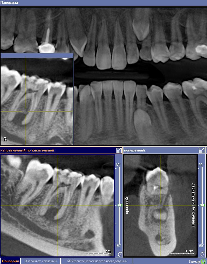
Ксения_ Опубликовано 27 августа, 2015 Поделиться Опубликовано 27 августа, 2015 (изменено) Здравствуйте Уважаемые Доктора! КТ сделано 4 мес назад. После этого пролечен кариес 14, 16, 37, 35. Пролечен пульпит 25, 36.Осталось пролечить пульпит в 15, 26, 47. Удалить все восьмерки.Далее ортодонтия. Стоит вопрос об удалении 46. Зуб ранее был пролечен другим врачом некачественно (+ пропущен канал).Мой лечащий доктор, после консультаций с коллегами, предлагает удаление, т.к. с его слов прогноз у этого зуба неблагоприятный (считает, что через пару лет процесс повторится) и смысла в столь дорогом лечении нет. Мне, конечно, хотелось бы по возможности зуб сохранить.Как вы считаете какой прогноз у этого зуба? P.S. Зуб не беспокоит. Точнее ни один зуб у меня вообще ни разу в жизни не болел (несмотря на такое количество пульпитов, которые для меня были неожиданностью. Врачу своему доверяю.). Несколько докторов которые меня смотрели считают, что у меня высокий болевой порог. Изменено 27 августа, 2015 пользователем Ксения_ Ссылка на комментарий
faity Опубликовано 27 августа, 2015 Поделиться Опубликовано 27 августа, 2015 я за лечение, но я хирург... может кто из эндодонтистов выскажется? 3 Ссылка на комментарий
M@estro Опубликовано 27 августа, 2015 Поделиться Опубликовано 27 августа, 2015 (изменено) Судя по рентгену - прогноз благоприятный. Зуб сохранен,это главное. "процесс повторится" - на это при современном подходе выделяют не более 5 % .Если бы у меня 95 % вероятности в казино было - я бы дом поставил , не то что зуб полечил ) Ключевое при перелечивании - соблюдение современного протокола лечения. P.s. После лечения уже больше двух лет прошло,недавно был на осмотре - процесс все никак не повторится )) Изменено 27 августа, 2015 пользователем M@estro 3 Ссылка на комментарий
Чертков Александр Опубликовано 28 августа, 2015 Поделиться Опубликовано 28 августа, 2015 Согласен с M@estro, однозначно лечить. Прогноз хороший! 1 Ссылка на комментарий
Ксения_ Опубликовано 28 августа, 2015 Автор Поделиться Опубликовано 28 августа, 2015 я за лечение, но я хирург... может кто из эндодонтистов выскажется? Судя по рентгену - прогноз благоприятный. Зуб сохранен,это главное. "процесс повторится" - на это при современном подходе выделяют не более 5 % .Если бы у меня 95 % вероятности в казино было - я бы дом поставил , не то что зуб полечил ) Ключевое при перелечивании - соблюдение современного протокола лечения. P.s. 111.jpg После лечения уже больше двух лет прошло,недавно был на осмотре - процесс все никак не повторится )) Согласен с M@estro, однозначно лечить. Прогноз хороший!Спасибо большое за Ваши рекомендации!Буду лечить. Ссылка на комментарий
Korel Опубликовано 9 сентября, 2015 Поделиться Опубликовано 9 сентября, 2015 Буду лечить. Лечите и с клыками разбирайтесь. Ссылка на комментарий
Рекомендуемые сообщения
Для публикации сообщений создайте учётную запись или авторизуйтесь
Вы должны быть пользователем, чтобы оставить комментарий
Создать аккаунт
Зарегистрируйте новый аккаунт в нашем сообществе. Это очень просто!
Регистрация нового пользователяВойти
Уже есть аккаунт? Войти в систему.
Войти