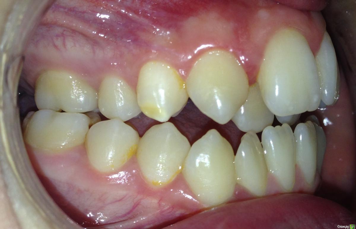
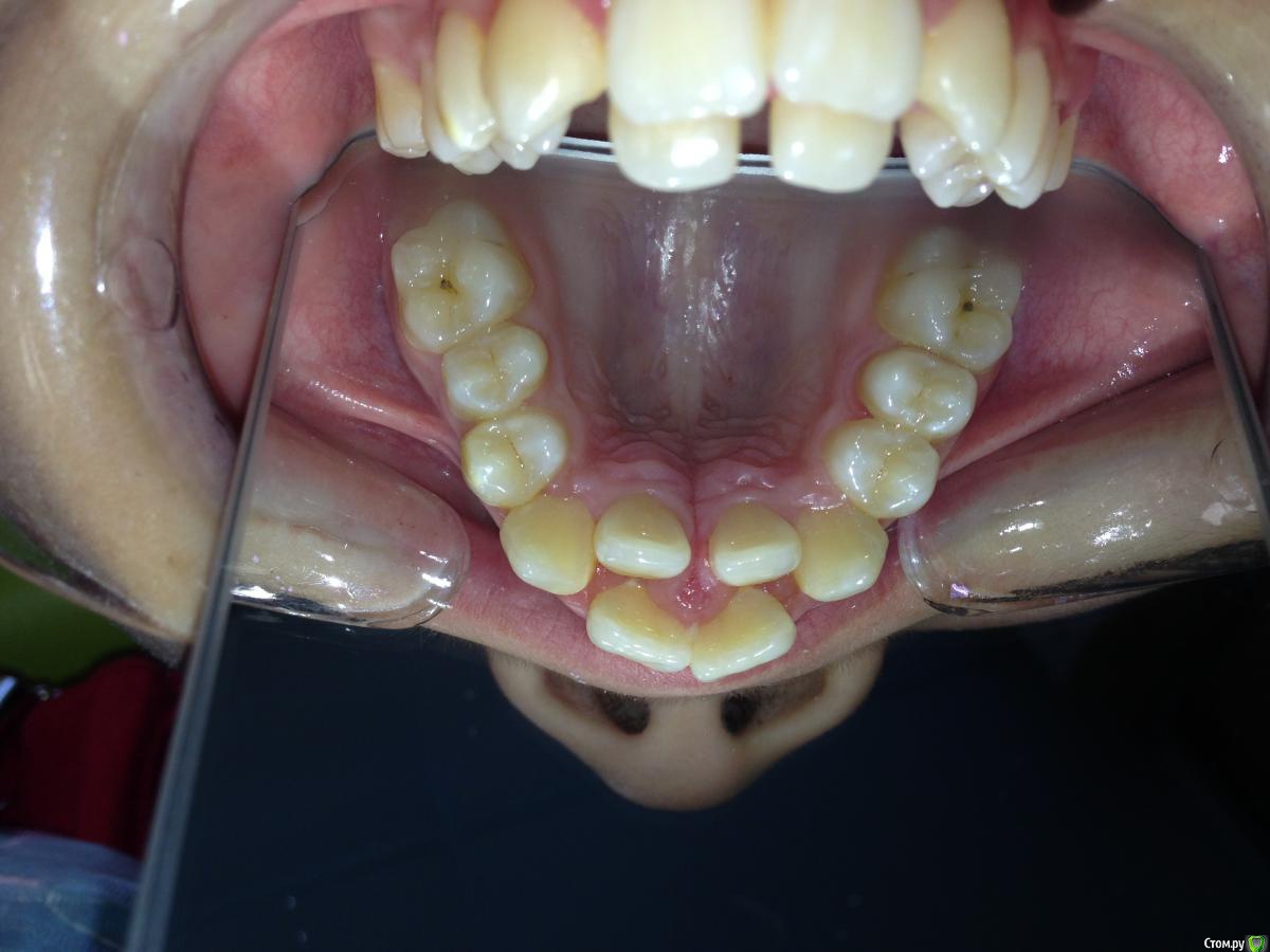
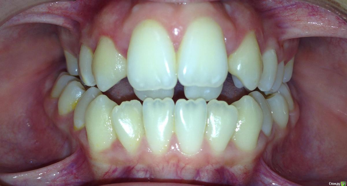
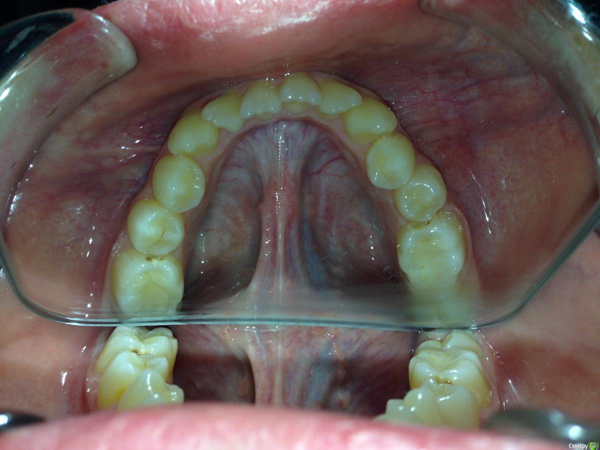
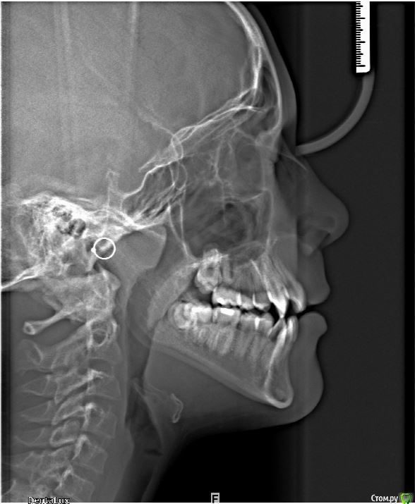
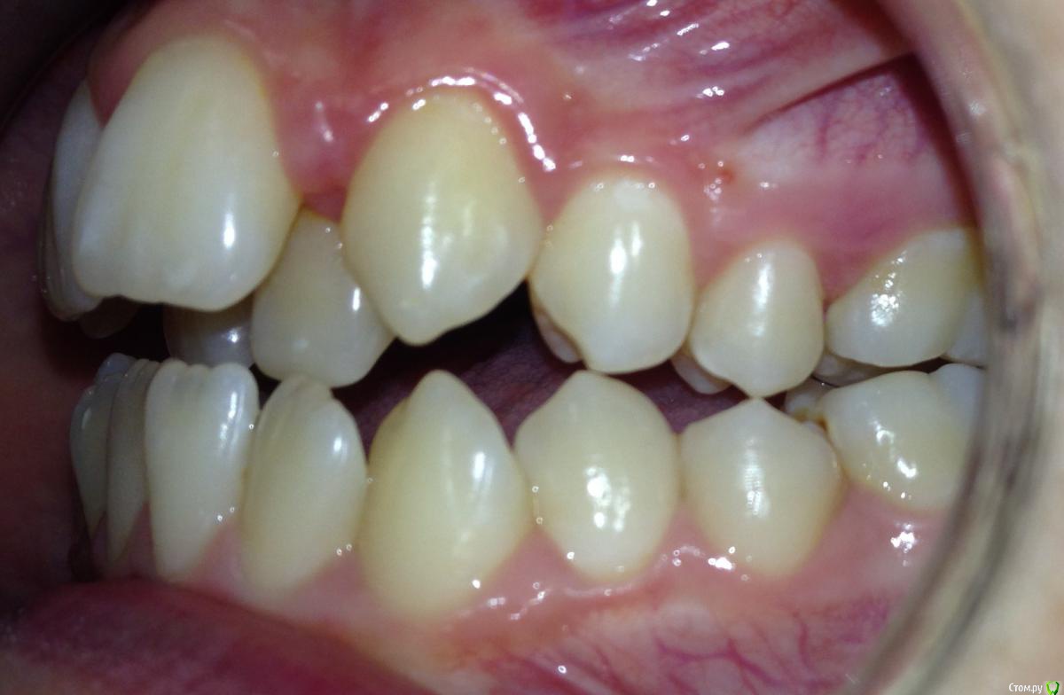
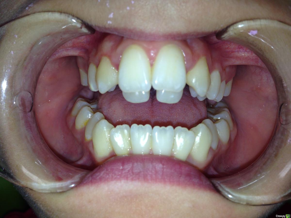
Алевтина Петровна Опубликовано 26 августа, 2015 Поделиться Опубликовано 26 августа, 2015 Всем добрый вечер. Я начинающий ортодонт. Надеюсь,что вы поможете с планом лечения. Пришел пациент. 13 лет. Ситуация по мне непростая, но очень интересная. Ссылка на комментарий
Алевтина Петровна Опубликовано 26 августа, 2015 Автор Поделиться Опубликовано 26 августа, 2015 Прикрепляю дополнительные фото, извините за качество. Это моя первая публикация, пытаюсь разобраться. Ссылка на комментарий
krokomot Опубликовано 26 августа, 2015 Поделиться Опубликовано 26 августа, 2015 И что вас смущает для начинающего ортодонта? в Чем вы сомневаетесь поконкретнее? Ссылка на комментарий
Molox Опубликовано 26 августа, 2015 Поделиться Опубликовано 26 августа, 2015 Ставьте Дерихсвайлера, вопрос с дефицитом места отпадет сам собой. И потом на брекетах по накатанной. 2 Ссылка на комментарий
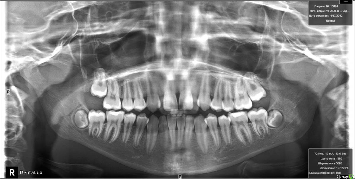
Yana guapa Опубликовано 26 августа, 2015 Поделиться Опубликовано 26 августа, 2015 как только прорежутся нижние 7-ки, я бы сразу послала бы на удаление зачатков нижних 8-ок. аппарат RPE конечно можно поставить. но 13 лет - критический возраст. стоит вопрос о необходимости SARPE. иначе можем получить результат только на уровне зубов (просто их наклонт будет). а Если хотим реально челюсть расширить, то лучше вместе с хирургом. И по срокам быстрее , и результативнее и стабильнее. 1 Ссылка на комментарий
Алевтина Петровна Опубликовано 27 августа, 2015 Автор Поделиться Опубликовано 27 августа, 2015 Смущало то, правильно ли я планирую лечение. Заказала аппарат дерихсвайлера, нет опыта его использования, вот и не знаю получу ли достаточно места. Спасибо большое за советы. С хирургом не работала, попробую на RPE. Спасибо еще раз Ссылка на комментарий
Molox Опубликовано 27 августа, 2015 Поделиться Опубликовано 27 августа, 2015 Имхо, но раз апексы 5-к еще не сформировались, можно расчитывать на скелетный эффект. Ссылка на комментарий
Yana guapa Опубликовано 27 августа, 2015 Поделиться Опубликовано 27 августа, 2015 Имхо, но раз апексы 5-к еще не сформировались, можно расчитывать на скелетный эффект. не соглашусьапексы 5-ок не показатель. Если бы рентгенографию кисти предложили бы сделать и посмотреть зоны роста... это даст больше информации п.с. недавно была девочка у которой в 8,5 лет были уже 5-ки и наклевывались 7-ки!!!! ))) сейчас сроки прорезывания зубов и закрытие верхушек очень не постоянный параметр. Ссылка на комментарий
Алевтина Петровна Опубликовано 28 августа, 2015 Автор Поделиться Опубликовано 28 августа, 2015 На курсах разбирали стадии роста по ТРГ, по позвонками, дак по моему очень даже можно получить скелетный эффект. Ну по крайней мере я на это надеюсь. Ссылка на комментарий
Molox Опубликовано 28 августа, 2015 Поделиться Опубликовано 28 августа, 2015 Тем более, что это мальчик. И в 14 лет можно твердо расчитывать на скелектный рост. Ссылка на комментарий
krokomot Опубликовано 28 августа, 2015 Поделиться Опубликовано 28 августа, 2015 14 лет замечательный возраст особенено для мальчиков срочно начинайте лечение Ссылка на комментарий
Maverick Опубликовано 29 августа, 2015 Поделиться Опубликовано 29 августа, 2015 Хайрекс вплоть до 15 лет дает хороший скелетный эффект. Никакого хирурга не надо. Зачем простое занятие превращать в травматичное, да и порой на которое родители не дают согласие. Мальчик такого возраста отличный пациент для скелетного расширения верхней челюсти. Как вариант посмотреть по позвонкам на трг на скелетный возраст , а судя по его трг, у него он еще есть. Так что вам ничего не мешает работать. Ссылка на комментарий
Maverick Опубликовано 29 августа, 2015 Поделиться Опубликовано 29 августа, 2015 А зубы и их прорезывание, а также состояние верхушек не показатель. 1 Ссылка на комментарий
Алевтина Петровна Опубликовано 1 сентября, 2015 Автор Поделиться Опубликовано 1 сентября, 2015 Спасибо всем за советы, уже начали. Ссылка на комментарий
Рекомендуемые сообщения
Для публикации сообщений создайте учётную запись или авторизуйтесь
Вы должны быть пользователем, чтобы оставить комментарий
Создать аккаунт
Зарегистрируйте новый аккаунт в нашем сообществе. Это очень просто!
Регистрация нового пользователяВойти
Уже есть аккаунт? Войти в систему.
Войти