Rustam161 Опубликовано 26 августа, 2015 Поделиться Опубликовано 26 августа, 2015 Здравствуйте доктора.Необходимо произвести интрузию 26 и 27 зубов,но при осморте расположения щечных корней 26 зуба обнаружил их вестибулярное положение на снимке.В таком случае можно проводить интрузию или необходимо находить какое-то иное решение ?? Ссылка на комментарий
Molox Опубликовано 26 августа, 2015 Поделиться Опубликовано 26 августа, 2015 А какой торк у зуба? Скиньте срез в прямой аксиальной проекции. Ссылка на комментарий
Yana guapa Опубликовано 26 августа, 2015 Поделиться Опубликовано 26 августа, 2015 а почему вообще все такое перекошенное? такой человек?? )) чем Вам этот корень мешает? Вы же будете МИ вкручивать между зубами. Проводите интрузию. или Вас беспокоит, что корни оголятся, так как там мало кости?? Скиньте внутриротовые фото Ссылка на комментарий
Kazankov.Egor Опубликовано 24 сентября, 2015 Поделиться Опубликовано 24 сентября, 2015 Здравствуйте доктора.Необходимо произвести интрузию 26 и 27 зубов,но при осморте расположения щечных корней 26 зуба обнаружил их вестибулярное положение на снимке.В таком случае можно проводить интрузию или необходимо находить какое-то иное решение ??Выложите трг в прямой проекции. Ссылка на комментарий
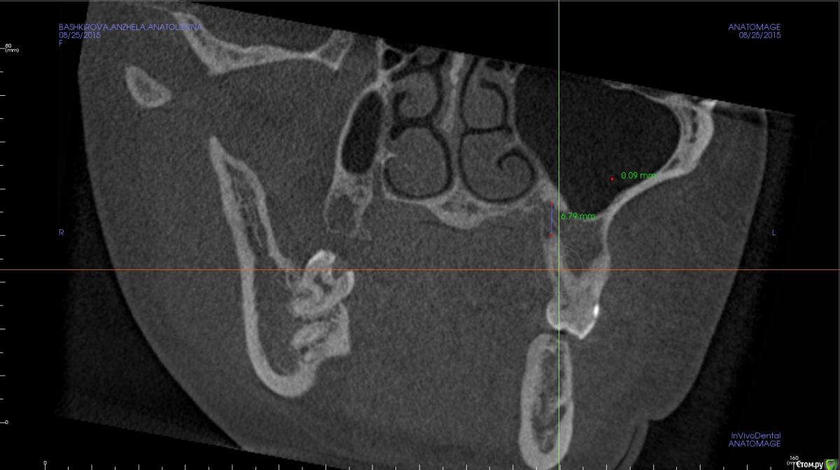
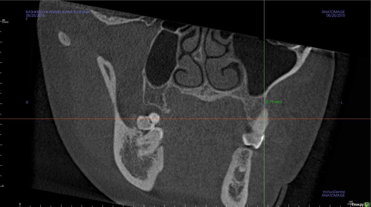
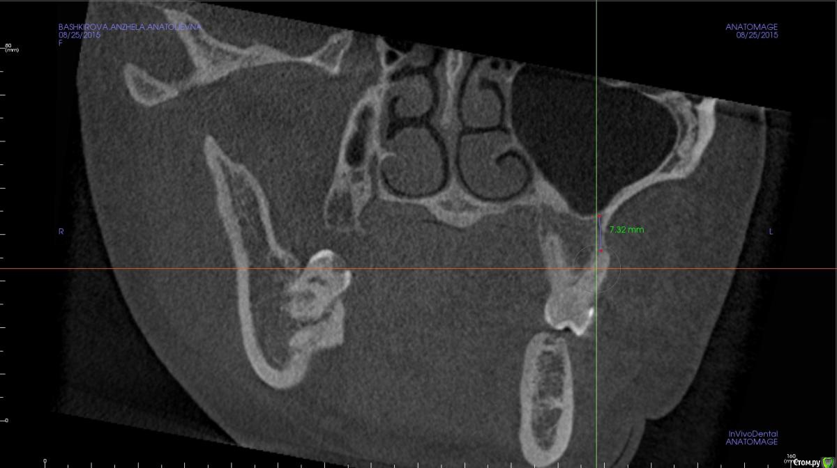
azerty Опубликовано 19 января, 2017 Поделиться Опубликовано 19 января, 2017 Что бы не плодить темы, подскажите коллеги,возможна ли интрузия моляров на верхней челюсти при очень близком расположении корней рядом с гайморовой пазухой?Не произойдет ли перфорация дна пазухи?Снимки прикреплю завтра,спасибо! Ссылка на комментарий
Opdihatop Опубликовано 22 января, 2017 Поделиться Опубликовано 22 января, 2017 Перфорации не будет скорее всего (особенно, если силы давать небольшие), но и интрузия идти будет очень медленно. Ссылка на комментарий
orthophil Опубликовано 6 февраля, 2017 Поделиться Опубликовано 6 февраля, 2017 Господа! О какой перфорации вообще идет речь. Моляры же не молотком вколачивать придется. А вот расстояние между верхушками и гайморовой пазухой уменьшится. Ссылка на комментарий
Рекомендуемые сообщения
Для публикации сообщений создайте учётную запись или авторизуйтесь
Вы должны быть пользователем, чтобы оставить комментарий
Создать аккаунт
Зарегистрируйте новый аккаунт в нашем сообществе. Это очень просто!
Регистрация нового пользователяВойти
Уже есть аккаунт? Войти в систему.
Войти