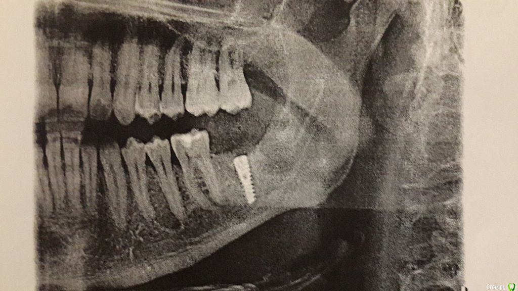
vavan Опубликовано 26 августа, 2015 Поделиться Опубликовано 26 августа, 2015 (изменено) Добрый день.Была произведена имплантация нижней 7-ки. Во время операции при установке импланта, когда он был уже почти до конца закручен, кратковременно ощущалось покалывание щеки и губы.После того как отошла анестезия все было хорошо чувствительность полностью вернулась, но на следующее утро онемела часть губы. Потеря чувствительности не полная, примерно как когда отлежишь руку. Иногда на онемевшем участке ощущается легкое покалывание. Сейчас четвертый день после операции улучшения чувствительности нет. Посмотрите пожалуйста снимок. Это нормальное явление и само пройдет, или необходимо менять имплант на более короткий? Область потери чувствительности обвел красной линией (ошибся когда рисовал,правильно будет то же самое только с другой стороны) Снимок сделанный после имплантации Изменено 26 августа, 2015 пользователем vavan Ссылка на комментарий
Mane Опубликовано 26 августа, 2015 Поделиться Опубликовано 26 августа, 2015 Вынимать 4 Ссылка на комментарий
Bier Опубликовано 26 августа, 2015 Поделиться Опубликовано 26 августа, 2015 вынимать 2 Ссылка на комментарий
red_butler Опубликовано 26 августа, 2015 Поделиться Опубликовано 26 августа, 2015 Ваш врач снимок видел? А так +1 вынимать Ссылка на комментарий
vavan Опубликовано 26 августа, 2015 Автор Поделиться Опубликовано 26 августа, 2015 Всем большое спасибо за отклик. Печально, что вынимать надо. Врач снимок видел, и сказал что все отлично получилось. Вчера был на приеме у него, по этой проблеме сказал не переживать мол бывает, со временем пройдет. Вечером записался на 3D КТ, выложу сюда. По КТ подскажете мне потом что именно не так, чтобы я мог аргументированно говорить с врачем, либо с клинникой. Ссылка на комментарий
red_butler Опубликовано 26 августа, 2015 Поделиться Опубликовано 26 августа, 2015 не вижу смысла в Кт, удаляйте винт Ссылка на комментарий
vavan Опубликовано 26 августа, 2015 Автор Поделиться Опубликовано 26 августа, 2015 КТ я уже успел сделать.Уважаемые специалисты, если вас конечно не затруднит, посмотрите, пожалуйста, КТ действительно ли там все так плохо и надо удалять имплант?Там где делал КТ попросил хирурга взглянуть, он говорит конечно длинноват имплант, но канал не задели. Может быть говорит на пару витков открутить можно если не отойдет губа. Вот архив: http://www.fayloobmennik.net/5407726 Ссылка на комментарий
Acidrocker Опубликовано 28 августа, 2015 Поделиться Опубликовано 28 августа, 2015 К сожалению, по данной ссылке открывается только панорамный реформат, но, судя по нему, имплантат задевает нерв. Поддерживаю мнения, высказанные выше, не стоит тянуть время.http://s61.radikal.ru/i174/1508/fb/34009009b76c.png Ссылка на комментарий
Рекомендуемые сообщения
Для публикации сообщений создайте учётную запись или авторизуйтесь
Вы должны быть пользователем, чтобы оставить комментарий
Создать аккаунт
Зарегистрируйте новый аккаунт в нашем сообществе. Это очень просто!
Регистрация нового пользователяВойти
Уже есть аккаунт? Войти в систему.
Войти