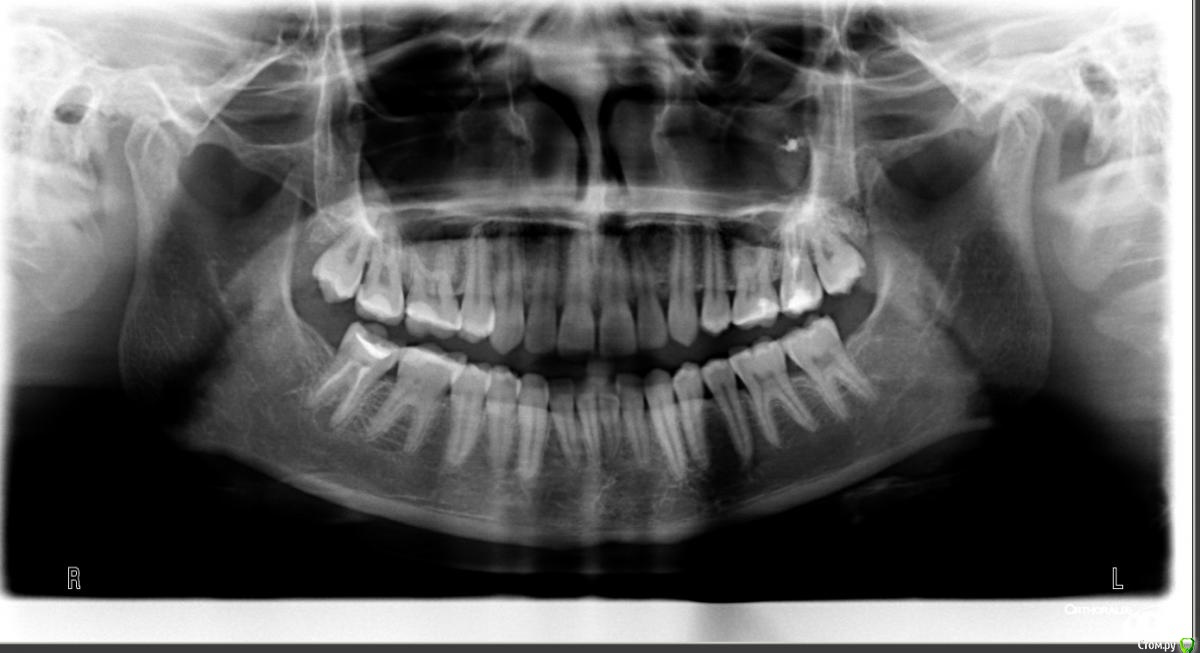
katiakatia Опубликовано 25 августа, 2015 Поделиться Опубликовано 25 августа, 2015 Добрый день, уважаемые стоматологи!Посмотрите, пожалуйста, рентген снимок. Нижний ряд, справа, последний зуб. Что это может быть? Инфекция? Мне объясняли на иностранном, я мало что поняла..Поставили пломбу на этот зуб ровно год назад, на данный момент меня ничего не беспокоит, ничего не болит.И вообще в целом, остальные зубы в порядке судя по снимку? Большое спасибо за ответы Ссылка на комментарий
diesel87 Опубликовано 25 августа, 2015 Поделиться Опубликовано 25 августа, 2015 Снимок свежий? Перелечивать каналы нужно в этом зубе, если прошел год после лечения. 3 Ссылка на комментарий
katiakatia Опубликовано 25 августа, 2015 Автор Поделиться Опубликовано 25 августа, 2015 Снимок свежий? Перелечивать каналы нужно в этом зубе, если прошел год после лечения.Да, снимок вчера был сделан. Спасибо за ответ! Ссылка на комментарий
Рекомендуемые сообщения
Для публикации сообщений создайте учётную запись или авторизуйтесь
Вы должны быть пользователем, чтобы оставить комментарий
Создать аккаунт
Зарегистрируйте новый аккаунт в нашем сообществе. Это очень просто!
Регистрация нового пользователяВойти
Уже есть аккаунт? Войти в систему.
Войти