vipi Опубликовано 25 августа, 2015 Поделиться Опубликовано 25 августа, 2015 Здравствуйте.Побывала у ведущих специалистов города по поводу установки брекетов.Мнения разошлись: одни говорят, что нужно удалять восьмерки, другие - делать сепарацию передних зубов. Что предпочтительнее? Нижнее восьмерки, особенно одна у меня с кариесом.У меня достаточно стандартный случай, ближе к легкому. Боковой прикус практически правильный, нижние передние зубы - один сильно выпирает вперед, верхние - анфас правильно, в профиль видно, что один стоит чуток под углом.А еще у меня не очень хорошая шестерка: ее можно восстановить, сделать имплантант, а один отродонт даже предложил 6-ку убрать, на ее место 7-ку, а на место 7-ки 8-ку. Как Вам такой метод лечения в переспективе? Читала, что 8-ки не такие крепкие зубы и смущает, что корни 8-ки и 7-ки будет под наклоном и что впоследствии их будет сдерживать, чтобы они не поехали на место, ретейнер ведь на передние зубы устанавливается? Да и возраст 30 лет, следовательно зубы сформированы. Хотела устанавливать керамику, но один доктор сказал, что у меня мало костной ткани и если меня не смущает, то лучше железные брекеты с замочками Damon, они ведут себя менее агрессивно по отношению к костной ткани.Огромное спасибо заразъяснения. 1 Ссылка на комментарий
Yana guapa Опубликовано 25 августа, 2015 Поделиться Опубликовано 25 августа, 2015 http://forum.stom.ru/topic/4655-patcientam/Выложите фото 1 1 Ссылка на комментарий
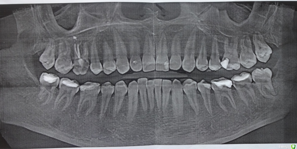
vipi Опубликовано 1 сентября, 2015 Автор Поделиться Опубликовано 1 сентября, 2015 http://s020.radikal.ru/i709/1509/60/d5117a8398d2.jpg Ссылка на комментарий
vipi Опубликовано 1 сентября, 2015 Автор Поделиться Опубликовано 1 сентября, 2015 http://s017.radikal.ru/i402/1509/cc/d9b8ae0d2c40.jpg http://s020.radikal.ru/i714/1509/e8/fbb234f1562d.jpg http://s019.radikal.ru/i641/1509/7c/371434240531.jpg http://s017.radikal.ru/i441/1509/a8/59223a216fd5.jpg http://s42.radikal.ru/i097/1509/55/aed0c2c12ac4.jpg Ссылка на комментарий
Yana guapa Опубликовано 1 сентября, 2015 Поделиться Опубликовано 1 сентября, 2015 http://s020.radikal.ru/i709/1509/60/d5117a8398d2.jpg ТРГ? у вас есть этот снимок? боковая проекция головы. Ссылка на комментарий
vipi Опубликовано 1 сентября, 2015 Автор Поделиться Опубликовано 1 сентября, 2015 Здравствуйте. Добавила фото. Помогите разобраться, а то лечащий врач вообщн сказал, что зачем мне брекеты, если у тебя нижний ряд зубов не виден. Брекеты ведь портят эмаль и в очень редких случаях могут после брекетов расшатываться зубы, а я за это переживаю, так как сказали, что у меня мало костной ткани. Другие говорят, что брекеты в моем случае нужны так как идет давление на единички нижних зубов и может привести к потери зуба. Ссылка на комментарий
vipi Опубликовано 1 сентября, 2015 Автор Поделиться Опубликовано 1 сентября, 2015 ТРГ у меня нет еще, есть томограмма. Ссылка на комментарий
Yana guapa Опубликовано 1 сентября, 2015 Поделиться Опубликовано 1 сентября, 2015 Мнения разошлись: одни говорят, что нужно удалять восьмерки, другие - делать сепарацию передних зубов. Что предпочтительнее? У Вас скученность в переднем отделе. чтобы ее убрать , надо где-то найти место. Как один из вариантов - убираем все восьмерки и как бы используем их место, желательно с помощью многопетлевой техники. Но небольшая сепарация нижних резцов может понадобиться все равно в конце, ничего страшного, Вы даже не заметите разницы, там совсем немного сошлифуют. п.с. Я всегда и всем убираю восьмерки еще до начала лечения, даже у подростков, А еще у меня не очень хорошая шестерка: ее можно восстановить, сделать имплантант, а один отродонт даже предложил 6-ку убрать, на ее место 7-ку, а на место 7-ки 8-ку. Как Вам такой метод лечения в переспективе? Я никогда не перемещаю 7ку , а тем более и 8ку на место удаленной 6-ки. потому что в наше время с существующей имплантацией , это долгое и неблагодарное занятие. на это уйдет ооочень много времени, денег, а результат все равно не идеальный.Поставить имплант и забыть про эту проблему. Хотела устанавливать керамику, но один доктор сказал, что у меня мало костной ткани и если меня не смущает, то лучше железные брекеты с замочками Damon, они ведут себя менее агрессивно по отношению к костной ткани. Брекеты любые. Главное - хороший специалист. 1 Ссылка на комментарий
Yana guapa Опубликовано 1 сентября, 2015 Поделиться Опубликовано 1 сентября, 2015 Брекеты ведь портят эмаль и в очень редких случаях могут после брекетов расшатываться зубы, а я за это переживаю, так как сказали, что у меня мало костной ткани. Не брекеты портят эмаль, а пациенты сами , когда не чистят хорошо зубы Зубы становятся подвижными на время лечения только, когда перемещаются. С костной тканью все нормально 1 Ссылка на комментарий
vipi Опубликовано 1 сентября, 2015 Автор Поделиться Опубликовано 1 сентября, 2015 Яна, огромное спасибо за подробные ответы.По поводу 8-ок и сепарации поняла, может хватит удаления 8-ок? А так не бывает, что 8-ки не удалять и сепарацию не делать? Или это не мой случай? Говорят, что если не удаляют и не сепарируют, то челюсть выдвигается вперед и за счет этого появляется место, но мне нижнюю челюсть вперед не надо.Про зуб с восстановлением спасибо, тоже также считаю.Про брекеты поняла. значит это миф, что брекеты с замочками не так сильно и более равномерно воздействуют на костную ткань. То есть можно выбрать любые железные, хочу железные, так как понадежнее или это тоже миф? Ссылка на комментарий
Maverick Опубликовано 1 сентября, 2015 Поделиться Опубликовано 1 сентября, 2015 Яна, огромное спасибо за подробные ответы.По поводу 8-ок и сепарации поняла, может хватит удаления 8-ок? А так не бывает, что 8-ки не удалять и сепарацию не делать? Или это не мой случай? Говорят, что если не удаляют и не сепарируют, то челюсть выдвигается вперед и за счет этого появляется место, но мне нижнюю челюсть вперед не надо.Про зуб с восстановлением спасибо, тоже также считаю.Про брекеты поняла. значит это миф, что брекеты с замочками не так сильно и более равномерно воздействуют на костную ткань. То есть можно выбрать любые железные, хочу железные, так как понадежнее или это тоже миф? Металлические брекеты самый лучший вариант. И переклеить можно и дуга лучше скользит. Разве что эстетика немного хромает. А так вам дали абсолютно правильные рекомендации. Ссылка на комментарий
Maverick Опубликовано 1 сентября, 2015 Поделиться Опубликовано 1 сентября, 2015 Если вы говорите про самолигируюшие системы, то по поводу их более легкого воздействия это не миф, это абсолютная правда, сопротивление там снижено бесспорно, правда и то что реже придется приходить к врачу, сократится количество посещений. Но вид, форма и фирма брекетов не является панацеей, лечит врач руками и головой, а брекеты просто работают под его грамотным руководством ) Ссылка на комментарий
vipi Опубликовано 1 сентября, 2015 Автор Поделиться Опубликовано 1 сентября, 2015 MaverickОгромное спасибо вам за разъяснение, значит вопрос решен про брекеты: железные, самолигирующие. Вопрос эстетики для меня важен в перспективе, ради результата можно потерпеть, в процессе важнее качество.Да, грамотный врач - это самое главное плюс отсутствие лени у пациента.А еще возник вопрос по снимкам. Лечила зубы и мне сделали панорамный снимок и томограмму (2800 руб), на диске записали, а что еще нужно, а что не нужно из снимков, а то записали еще на диагностику за 4100, может уже не нужно что-то делать, а то девочки на рессепшене ничего не знают. Ссылка на комментарий
Maverick Опубликовано 1 сентября, 2015 Поделиться Опубликовано 1 сентября, 2015 MaverickОгромное спасибо вам за разъяснение, значит вопрос решен про брекеты: железные, самолигирующие. Вопрос эстетики для меня важен в перспективе, ради результата можно потерпеть, в процессе важнее качество.Да, грамотный врач - это самое главное плюс отсутствие лени у пациента.А еще возник вопрос по снимкам. Лечила зубы и мне сделали панорамный снимок и томограмму (2800 руб), на диске записали, а что еще нужно, а что не нужно из снимков, а то записали еще на диагностику за 4100, может уже не нужно что-то делать, а то девочки на рессепшене ничего не знают. Для того чтобы начать лечение нужен диагностический материал в него входят: ОПТГ ( панорамный снимок ) , ТРГ ( боковая проекция черепа, обычно правая сторона ) , если есть проблемы с ВНЧС ( сустав хрустит , ограниченное открывание рта , асимметрия лица одна и так далее ) , то делают томограмму в трех проекциях сагитальной , фронтальной и аксиальной. Также делают оттиски и отливают гипсовые модели, фото в фас , в профиль , с улыбкой . Внутриротовые фото в окклюзии центральной, при разомкнутых челюстях. Вот весь список Ссылка на комментарий
Рекомендуемые сообщения
Для публикации сообщений создайте учётную запись или авторизуйтесь
Вы должны быть пользователем, чтобы оставить комментарий
Создать аккаунт
Зарегистрируйте новый аккаунт в нашем сообществе. Это очень просто!
Регистрация нового пользователяВойти
Уже есть аккаунт? Войти в систему.
Войти