Перейти к содержанию
Стоматология для всех

Вкладка и коронка


Galyana

Рекомендуемые сообщения

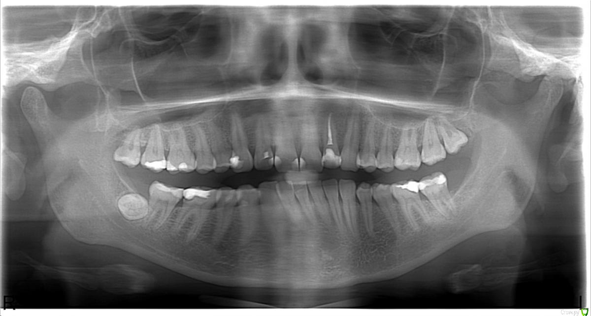
Уважаемые стоматологи! Сейчас нахожусь в процессе лечения 6 зуба на нижней челюсти ( на фото слева). Врач депульпировал, поставил временную пломбу и через две недели поставит постоянную. Но врач меня предупредила, что на зуб надо будет делать вкладку с коронкой, так как пломба большая.

На консультации у протезиста предложили металлическую вкладку и диоксид циркония на коронку. Не рекомендовали вкладку из композита ( недостаточно твердая для жевательного зуба) и не рекомендовали металлокерамику на коронку (может быть аллергия).

Вопрос: а надо ли вообще делать коронку, может так и жить с пломбой? Почему можно вкладку из металла, а металлокерамическую коронку нельзя ( от вкладки разве не может быть аллергии)?

Может к снимку нужна фотография пломбы и зуба на фотоаппарат?post-24898-0-30249500-1440432711_thumb.jpg

Ссылка на комментарий

Я так понимаю снимок сделан до лечения?если есть возможность,выложите хотя бы прицельный Rg снимок и фото самого зуба,так можно будет более объективно и информативно ответить на ваш вопрос..

Ссылка на комментарий

Для публикации сообщений создайте учётную запись или авторизуйтесь

Вы должны быть пользователем, чтобы оставить комментарий

Создать аккаунт

Зарегистрируйте новый аккаунт в нашем сообществе. Это очень просто!

Регистрация нового пользователя

Войти

Уже есть аккаунт? Войти в систему.

Войти
×
×
  • Создать...
Вверх