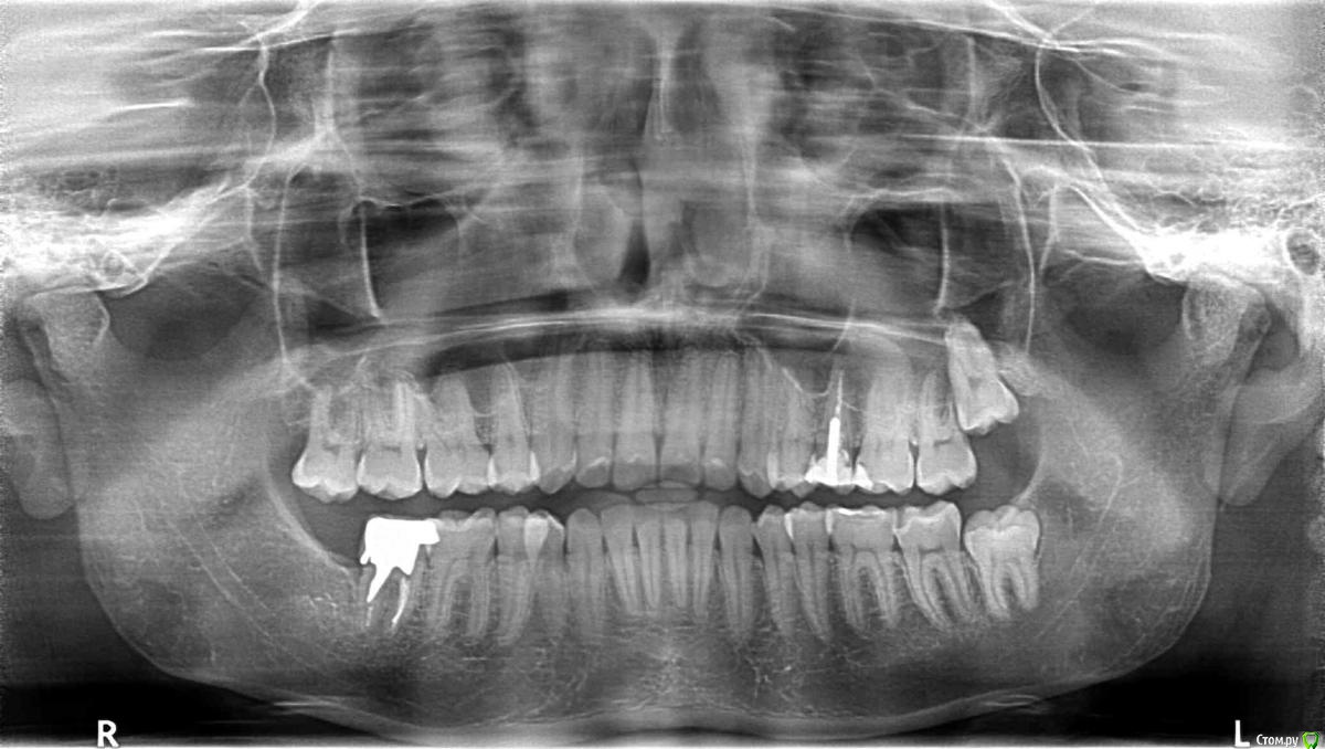
Katerina) Опубликовано 22 августа, 2015 Поделиться Опубликовано 22 августа, 2015 Добрый вечер! Прошу помочь разобраться. Около года назад на нижний зуб поставили коронку, на культиевую вкладку, с тех пор болит десна с одной стороны. Боль не сильная, только при надавливании на десну или часть зуба. На прошлой неделе сняли коронку, боли в первые 3 дня не было, а сейчас когда я полноценно ем на этой стороне, боль снова появилось. Что это может быть? Для наглядности прикладываю снимок. Ссылка на комментарий
voff Опубликовано 24 августа, 2015 Поделиться Опубликовано 24 августа, 2015 (изменено) В процесс вовлечен пародонт (кость вокруг зуба, связочный аппарат десна) и уже образовался костный карман. Если кто-то из пародонтологов-хирургов возьмется лечить такой зуб, то хорошо. Но на мой взгляд- это бомба замедленного действия и исход один- удаление Изменено 24 августа, 2015 пользователем voff Ссылка на комментарий
Katerina) Опубликовано 24 августа, 2015 Автор Поделиться Опубликовано 24 августа, 2015 В процесс вовлечен пародонт (кость вокруг зуба, связочный аппарат десна) и уже образовался костный карман. Если кто-то из пародонтологов-хирургов возьмется лечить такой зуб, то хорошо. Но на мой взгляд- это бомба замедленного действия и исход один- удалениеСпасибо за ответ, а стоит ли удалять сейчас, или снова поставить коронку на время? Пока нет возможности ставить имплантант, зуб жевательный, какие могут быть последствия, если не сразу ставить имплантант? Ссылка на комментарий
shishok Опубликовано 24 августа, 2015 Поделиться Опубликовано 24 августа, 2015 Я бы для начала удалила 18 зуб(восьмой вверху справа).У него нет антагониста и он сместился вниз,может травмировать десну на нижней челюсти.ИМХО. Ссылка на комментарий
Katerina) Опубликовано 24 августа, 2015 Автор Поделиться Опубликовано 24 августа, 2015 Я бы для начала удалила 18 зуб(восьмой вверху справа).У него нет антагониста и он сместился вниз,может травмировать десну на нижней челюсти.ИМХО.Спасибо, уже удалили. Ссылка на комментарий
Рекомендуемые сообщения
Для публикации сообщений создайте учётную запись или авторизуйтесь
Вы должны быть пользователем, чтобы оставить комментарий
Создать аккаунт
Зарегистрируйте новый аккаунт в нашем сообществе. Это очень просто!
Регистрация нового пользователяВойти
Уже есть аккаунт? Войти в систему.
Войти