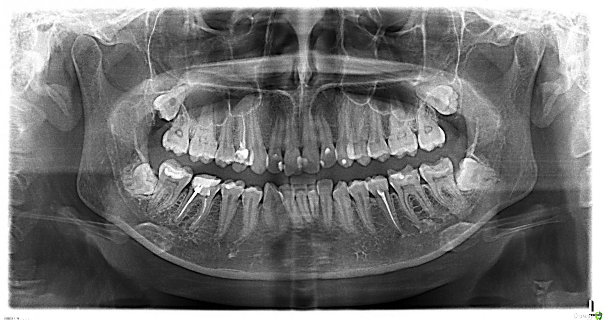
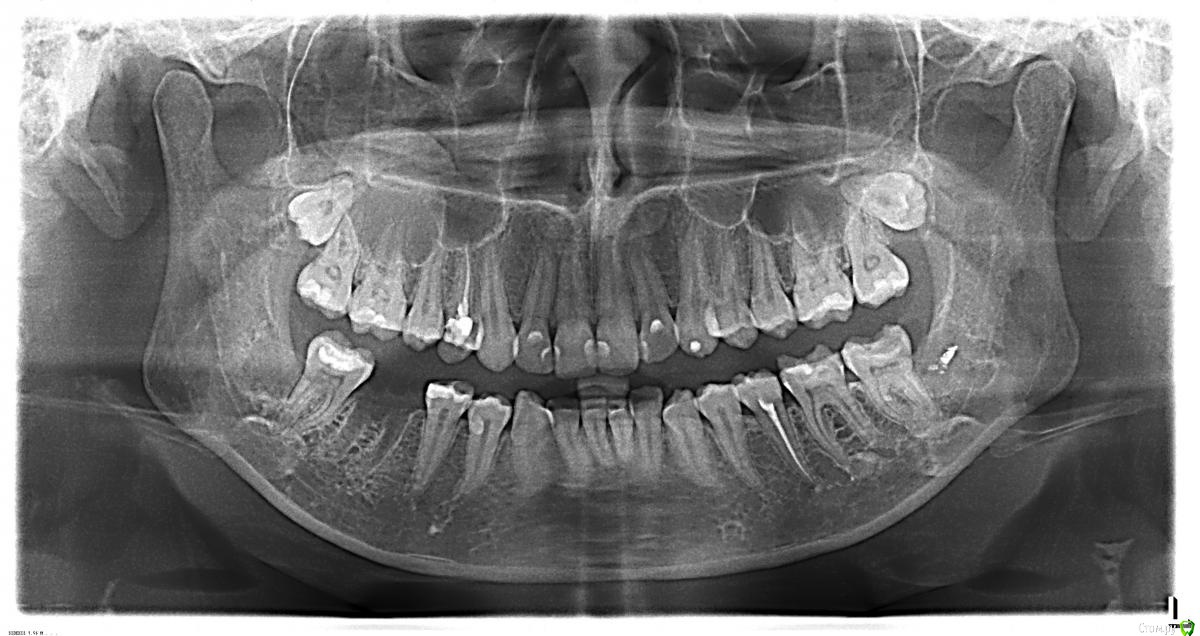
oksanavlasenko87 Опубликовано 21 августа, 2015 Поделиться Опубликовано 21 августа, 2015 (изменено) Добрый деньСитуация такая :4 месяца назад удаляли 8-ки ,лежащие горизонтально под десной.После удаления онемела губа ,нижняя челюсть слева и подбородок,т.е не прошло после анестезии.Проколола уколы мильгамма, стало лучше .но не до конца.5 дней назад лечила зубы на той же стороне,коренные, и на этот раз онемела половина языка! Сегодня снова лечили зуб на левой стороне, доктор сделал анестезию , зная ситуацию , сделал укол в десну рядом с зубом, сказал , что отключит только один зуб, и вот через 20 секунд у меня второй раз онемела половина губы и подбородок ! Прошло 5 часов, никаких признаков жизни ..А я только недавно проколола курс мильгаммыПожалуйста скажите , что может быть причиной? До удаления восьмерок все было в порядке, выкладываю снимки ДО и ПОСЛЕ Изменено 21 августа, 2015 пользователем oksanavlasenko87 Ссылка на комментарий
diesel87 Опубликовано 21 августа, 2015 Поделиться Опубликовано 21 августа, 2015 (изменено) Анестезию один и тот же док делал?<script> </script> Изменено 21 августа, 2015 пользователем diesel87 Ссылка на комментарий
oksanavlasenko87 Опубликовано 21 августа, 2015 Автор Поделиться Опубликовано 21 августа, 2015 Нет, разные . Первый раз было при удалении восьмерок-это один доктор. А лечение делал другой, дело не в докторе мне кажется.. Ссылка на комментарий
Рекомендуемые сообщения
Для публикации сообщений создайте учётную запись или авторизуйтесь
Вы должны быть пользователем, чтобы оставить комментарий
Создать аккаунт
Зарегистрируйте новый аккаунт в нашем сообществе. Это очень просто!
Регистрация нового пользователяВойти
Уже есть аккаунт? Войти в систему.
Войти