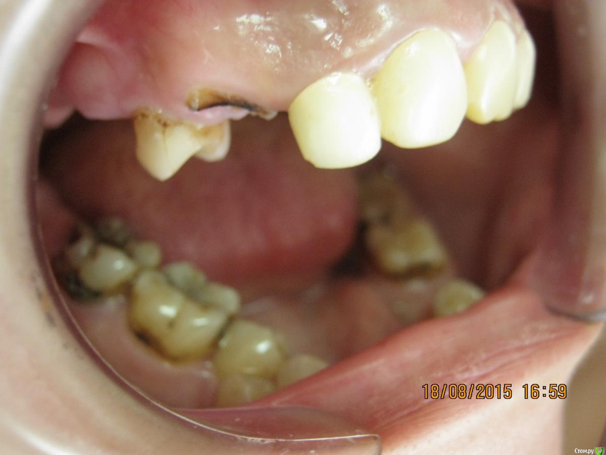
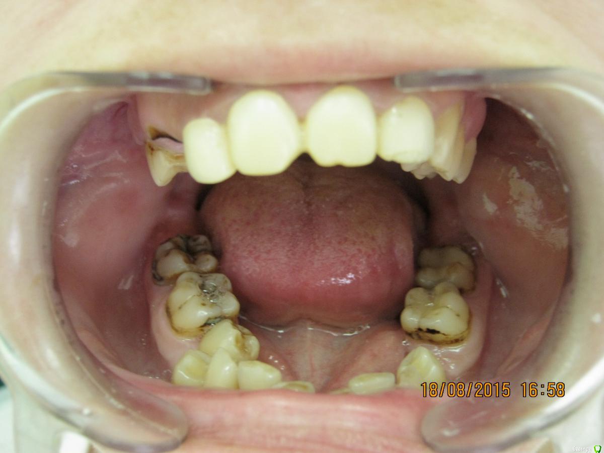
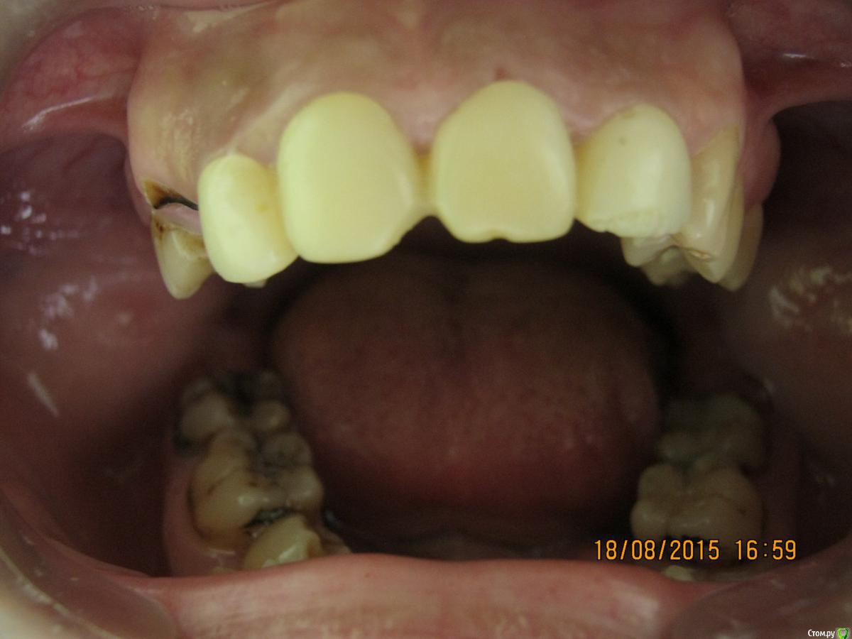
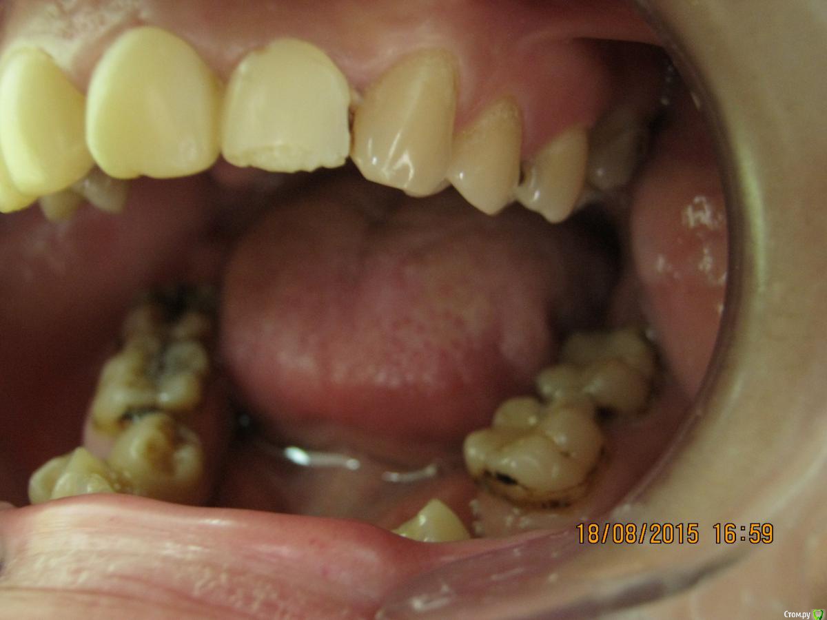
SeregaStomatolog Опубликовано 18 августа, 2015 Поделиться Опубликовано 18 августа, 2015 Добрый вечер уважаемые коллеги!В клинику обратилась пациентка с такой ситуацией во рту.Подскажите пожалуйста что можно сделать и с чего начать. Ссылка на комментарий
krokomot Опубликовано 18 августа, 2015 Поделиться Опубликовано 18 августа, 2015 Каков бюджет? Ссылка на комментарий
SeregaStomatolog Опубликовано 18 августа, 2015 Автор Поделиться Опубликовано 18 августа, 2015 Бюджет не очень большой,в пределах 50-70 т.р. Но несмотря на бюджет я прошу докторов высказать любые варианты какие возможны. Ссылка на комментарий
krokomot Опубликовано 18 августа, 2015 Поделиться Опубликовано 18 августа, 2015 Я для начала подличил, потом ортодонтия, потом протезирование(с имплантацией или без на ваше усмотрение). В чем конкретно вы сомневаетесь? Ссылка на комментарий
SeregaStomatolog Опубликовано 18 августа, 2015 Автор Поделиться Опубликовано 18 августа, 2015 Основная проблема в том,что пациентка не очень хочет ортодонтию.Она не хочет долго и нудно лечиться.А без ортодонтии я не особо представляю что можно сделать... Ссылка на комментарий
SeregaStomatolog Опубликовано 18 августа, 2015 Автор Поделиться Опубликовано 18 августа, 2015 И опять же ортодонтия не совсем по карману. Ссылка на комментарий
krokomot Опубликовано 18 августа, 2015 Поделиться Опубликовано 18 августа, 2015 Бюджет не очень большой,в пределах 50-70 т.р для такого рода патологии как-то уж совсем мало, тут еле в съемники с пару коронками влезешь. Налицо вторичные деформации, десневая улыбка у пациентки и проблемы с периодонтом*, весь букет)) А что хочет пациентка?, уж не голивуд ли?)) Ссылка на комментарий
krokomot Опубликовано 18 августа, 2015 Поделиться Опубликовано 18 августа, 2015 Сделав как хочет пациентка вы не получите красивый результат, которого она ждет! и получится что вы не смогли реализовать ее мечты , а значит доктор неахти)) да и вы не особо результатом будете довольны, вам это надо? Если в эстетике проблем нет, восстановите функцию. Ненужное удалить, длинные зубы дэпульпировать, укоротить ну и коронуйте)) Ссылка на комментарий
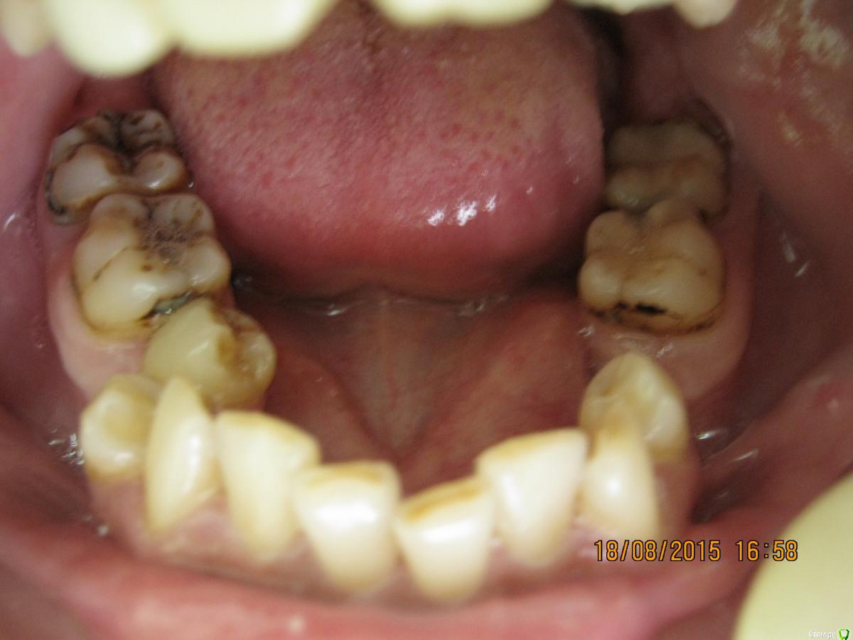
SeregaStomatolog Опубликовано 18 августа, 2015 Автор Поделиться Опубликовано 18 августа, 2015 Во-первых она хочет нормально улыбаться,не стесняясь отсутствующего клыка.Во-вторых она хочет нормально жевать,т.к. отсутствие 1.7,1.6 не позволяет это делать.Я сразу сказал пациентке что вариантов без ортодонтии мало (если они вообще есть) и обещать ничего не стал.Случай сложный,поэтому хочется узнать в принципе,на будущее,какие варианты лечения возможны (если можно по подробнее).Пока что я снял слепки,отлил модели-пошел за советом к коллегам в другую клинику-все настаивают на ортодонтии.Теперь вся надежда на Вас коллеги,подскажите что можно придумать более менее приемлемое без ортодонтии. Ссылка на комментарий
SeregaStomatolog Опубликовано 18 августа, 2015 Автор Поделиться Опубликовано 18 августа, 2015 Сделав как хочет пациентка вы не получите красивый результат, которого она ждет! и получится что вы не смогли реализовать ее мечты , а значит доктор неахти)) да и вы не особо результатом будете довольны, вам это надо? Если в эстетике проблем нет, восстановите функцию. Ненужное удалить, длинные зубы дэпульпировать, укоротить ну и коронуйте))Мне кажется если я возьмусь,то все равно не буду результатом доволен,т.к. все реализовать не получится.Самая большая проблема в области отсутствующих 1.6,1.7-зубо-альвеолярное удлинение 4.6,4.7 настолько велико,что они практически касаются слизистой в области 1.6,1.7. Ссылка на комментарий
колесников Опубликовано 18 августа, 2015 Поделиться Опубликовано 18 августа, 2015 Она не хочет долго и нудно лечиться... не та у неё ситуация чтобы ставить условия. Или вы соглашаетесь с моим планом или ищите другого врача. Пойдёшь на поводу у пациента-получаешь проблемы. Ссылка на комментарий
SeregaStomatolog Опубликовано 18 августа, 2015 Автор Поделиться Опубликовано 18 августа, 2015 Она не хочет долго и нудно лечиться... не та у неё ситуация чтобы ставить условия. Или вы соглашаетесь с моим планом или ищите другого врача. Пойдёшь на поводу у пациента-получаешь проблемы.Согласен.Без ортодонтии варианты есть? Ссылка на комментарий
krokomot Опубликовано 18 августа, 2015 Поделиться Опубликовано 18 августа, 2015 я уже написал вам пост выше Ссылка на комментарий
DoctorT Опубликовано 18 августа, 2015 Поделиться Опубликовано 18 августа, 2015 При таком бюджете и неадекватных требованиях пациента ( хочу Голивуд за 3 рубля) - итог один - доктор начнет платить из своего кармана. Ссылка на комментарий
Рекомендуемые сообщения
Для публикации сообщений создайте учётную запись или авторизуйтесь
Вы должны быть пользователем, чтобы оставить комментарий
Создать аккаунт
Зарегистрируйте новый аккаунт в нашем сообществе. Это очень просто!
Регистрация нового пользователяВойти
Уже есть аккаунт? Войти в систему.
Войти