Перейти к содержанию
Стоматология для всех

Очень глубокий кариес


Витторио Орлионе

Рекомендуемые сообщения

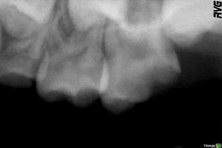
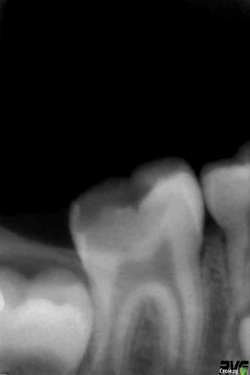
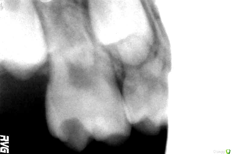
Уважаемые коллеги,обратилась девочка 8 лет на удаление молочного зубика, больше её ничего не беспокоило. Зубик удалил и нашёл ещё много чего интересного. Раньше не приходилось сталкиваться с таким мегаразрушительным кариесом. Да и вообще с чего начать, за что браться не представляю. Помогите пожалуйста. Все пломбы, что найдёте из Vitremerа, кроме той что на 1.6-там Nanopaq.

 

post-39364-0-35774000-1439798861_thumb.jpg

post-39364-0-11927800-1439798901_thumb.jpg

post-39364-0-74206400-1439798902_thumb.jpg

post-39364-0-38643500-1439798904_thumb.jpg

post-39364-0-09676300-1439798906_thumb.jpg

post-39364-0-24070500-1439798907_thumb.jpg

Ссылка на комментарий

Зуб 2.6 думаю витально ампутировать, зуб 3.6 возможно тоже, но может обойдетесь МТА на рог пульпы. Остальные в плановом порядке лечить. Думаю, все будет ок)

Ссылка на комментарий
  • 4 недели спустя...

Екатерина, подскажите пожалуйста. Похожая ситуация с мегаразрушительным кариесом у мальчика 8 лет. Сегодня лечила зуб 1.6, сделала витальную ампутацию, дождалась остановки кровотечения. Но когда вносила МТА на устья, просочилась кровь. Я кровь подсушила стерильными шариками, оставила чуть влажный (стерил.вода) шарик поверх МТА, закрыла временно кетак моляром. Прогноз плохой теперь? Кровь - питательная среда для микрофлоры, мта получается теперь не герметичен.. Не знаю что дальше делать.. 

Ссылка на комментарий

Для публикации сообщений создайте учётную запись или авторизуйтесь

Вы должны быть пользователем, чтобы оставить комментарий

Создать аккаунт

Зарегистрируйте новый аккаунт в нашем сообществе. Это очень просто!

Регистрация нового пользователя

Войти

Уже есть аккаунт? Войти в систему.

Войти
×
×
  • Создать...
Вверх