ol"ga Опубликовано 15 августа, 2015 Поделиться Опубликовано 15 августа, 2015 (изменено) Здравствуйте, Уважаемые Доктора!Очень нуждаюсь в вашей помощи. Мне 35 лет, в октябре прошлого года была установлена частичная брекет-система : на верхней ( 6 зубах, от клыка до клыка) лингвальная брекет-система и нижней ( 9 зубах) вестибулярная брекет-система и были изготовлены окклюзионные накладки на боковых зубах нижней челюсти. Перед ортодонтическим лечением никаких снимков не делала. За первый месяц ношения лингвальных брекетов верхняя челюсть достаточно быстро выдвинулась вперед, результат меня устраивал, но в дальнейшие 5 месяцев челюсть все продолжала выдвигаться вперед, в результате в прикусе впереди образовалась щель между челюстями в 5-7 мм, нижняя челюсть не так быстро успевала выдвигаться вперед, заметила что я неосознанно выдвигаю нижнюю челюсть пытаясь подстроиться под верхнюю, но речь была свистящая, шипящая, жевала на правую сторону, т.к. на левую было неудобно (по ощущениям, слева окклюзионная накладка была ниже, чем справа). Так проходила 6 мес., результат меня не устраивал, верхние зубки оставались кривыми, стали выпирать клыки, врач сказал, что это от давления дуги, а верхняя челюсть сильно выдвинулась вперед и стала похожа на открытый прикус. Мой врач сказал, что положения кривых наклонов зубов лингвальные брекеты не исправляют, а выставляют зубки в ряд, и предложил бесплатно поменять на вестибулярную брекет-систему. В конце апреля сделали панорамный снимок, трг в боковой проекции и переустановили брекет-систему на все зубки верхней челюсти, и на нижней кроме 7-к и 8-к, убрали окклюзионные накладки, но челюсть у меня не сомкнулась в привычном положении, заметила, что зубки на нижних шестерках, где были накладки, как бы просели в десну. Врач сказал, что это временно, все выровняется. Первую неделю зубки болели обычно как после активации аппарата, затем появилась боль в районе правого сустава, сначала после приема пищи, жевать я продолжала на правую сторону, пыталась приловчиться, куда удобнее, а затем боли продолжались и в покое, несколько раз просыпалась ночью от боли, пила нимесил. В этом остром периоде заметила асимметрию лица, по ощущениям нижняя челюсть «съехала» вправо, сомкнуть челюсть в таком положение не могла, сильная боль была, я ее сдвигала влево, получался перекрестный прикус (это было спустя 3 недели после установки брекет-системы). Обратилась к своему ортодонту, он сказал, что челюсть перестраивается под правильное положение зубов, могут быть боли, а асимметрию он не видит. Боли продолжались. Челюсть я так и не могла сомкнуть в « правильном» положении. Обратилась в другую клинику к ортодонту, поставили дисфункцию ВНЧС, 2 раза делала миорелаксацию с интервалом месяц (в конце мая и июня), рекомендовали не нагружать сустав и широко не открывать рот, все это я соблюдала, ела только только на левую сторону (до сих пор на нее и жую), острая боль постепенно сменилась просто дискомфортом в области правого сустава. После первой процедуры миорелаксации на второй день я смогла без боли сомкнуть челюсть в « правильном» положении, но комфортнее было ее держать в расслабленном состоянии, чуть левее, в основном я так и ходила. В это время я заметила, что у меня верхняя челюсть сместилась вправо, верхний левый зубной ряд начал мешать языку в его привычном положении, все зубки на обеих челюстях как бы наклонились в сторону языка, создалось впечатление, что челюсть сузилась. Еще постоянно царапал край дуги на верхней правой 7-е, мне ее 2 раза подпиливали и убирали щипцами, но через несколько дней опять край вылазил и накалывал щеку, решили вообще убрать замок с правой 7-и т.к. на щеке постояна была незаживающая язва от этой травмы. На днях соскочила дуга с левой верхней 7-и. Но врач сказал, что это невозможно, что воспалительный процесс в суставе он снял и я могу обратиться к своему ортодонту для продолжения ортодонтического лечения. Я обращалась еще к 5 специалистам специалистам. Никто проблемы не видит. один из специалистов в результате обследовал сделал оттиски зубов и дал заключение: Диагноз : Миофасциальный болевой синдром лица с дисфункцией височно-нижнечелюстного сустава. Дислокация диска с вправлением в левом ВНЧС.(вентральная). Бруксизм. Другой предложил шину на нижнюю челюсть, но только после снятия брекетов с нижней челюсти.Продолжаю поиски. Сделала трг в прямой, боковой и подбородочно- теменной проекции, кт обеих суставов, ищу специалистов которые могут мне помочь в моей проблеме, но в моем городе это проблема. Бруксизма за собой не замечала, родные тоже, зубами не скреплю, во сне не жую, но 100% утверждать не могу. Проблем с ВНЧС никогда не было, ни щелчков, ни хруста, ничего. На данный момент иногда поднывает в области правого сустава, а в основном чувство дискомфорта в нем. Уважаемые Доктора, подскажите, пожалуйста, как в моем случае должен проходить план лечения, можно ли исправить асимметрию лица, можно ли вернуть верхнюю челюсть на место и почему врачи не видят этой проблемы, очень нуждаюсь в вашей помощи, хочется вернуть свое лицо и функциональность внчс. Эпикриз.doc Изменено 15 августа, 2015 пользователем ol"ga Ссылка на комментарий
ol"ga Опубликовано 15 августа, 2015 Автор Поделиться Опубликовано 15 августа, 2015 (изменено) Вот еще кт левого и правого внчс, и фото улыбки Изменено 15 августа, 2015 пользователем ol"ga Ссылка на комментарий
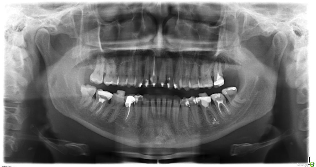
Yana guapa Опубликовано 15 августа, 2015 Поделиться Опубликовано 15 августа, 2015 я не вижу у ВАс асимметрии лица, асимметрии верхней челюсти. А вот нижняя челюсть смещена влево, (это видно по ОПТГ и фото), вследствие чего произошло смещение дискав таких случаях обычно1. выравнивают зубные ряды ( с удалением восьмерок) 2. ставят нижнюю челюсть в правильное положение (различными способами, специальные пружины, эластики, форсус, твин форс и т.д.) каждый врач сам для себя выберает, что ему удобнее п.с. похоже что вверху слева ВАм удаляли восьмерку, нго оставили 1 корень. Ссылка на комментарий
ol"ga Опубликовано 15 августа, 2015 Автор Поделиться Опубликовано 15 августа, 2015 (изменено) Спасибо за ответ, за корень я знаю, его не смогли сразу достать, сказали позже удалить. По поводу асимметриии: левая щека худощавая, на ней появилась ямочка (на фото ее не видно, а правая щечка наоборот пухленькая. На последнем фото с улыбкой видно, что мой квадратный подбородок стал сглажен с правой стороны. Дело в том что все изменения видны не только мне, но и родным и близким, которые меня знают. Изменено 15 августа, 2015 пользователем ol"ga Ссылка на комментарий
ol"ga Опубликовано 15 августа, 2015 Автор Поделиться Опубликовано 15 августа, 2015 (изменено) Ой, забыла сказать, оптг делала еще с лингвальными брекетами, там на каждом снимке есть дата, это снимок до возникшей проблемы с внчс и асимметрии лица. И фото все подписаны до ортодонтического лечения и после, извиняюсь, что не совсем внятно изложила информацию. Изменено 15 августа, 2015 пользователем ol"ga Ссылка на комментарий
Yana guapa Опубликовано 15 августа, 2015 Поделиться Опубликовано 15 августа, 2015 по снимкам - все итак понятно, без подписей.по "щечкам" - Вам скуловые кости никто не двигал, мягкие ткани ортодонт тоже не перемещал, так что это не в юрисдикции ортодонта. вот поворот нижней челюсти - это да, это видно и этим можно заниматься Ссылка на комментарий
Yana guapa Опубликовано 15 августа, 2015 Поделиться Опубликовано 15 августа, 2015 за корень я знаю, его не смогли сразу достать, сказали позже удалить.интересный подход. а сразу никак нельзя?)) чего ждать то??? Ссылка на комментарий
Yana guapa Опубликовано 15 августа, 2015 Поделиться Опубликовано 15 августа, 2015 это снимок до возникшей проблемы с внчс и асимметрии лица.поверьте, что с таким прикусом, как у Вас был изначально - проблемы с ВНЧС у Вас были очень давно, вот только проявились сейчас. Ссылка на комментарий
ol"ga Опубликовано 16 августа, 2015 Автор Поделиться Опубликовано 16 августа, 2015 Спасибо большое за ответ, а каким способом разворачивают, ставят челюсть на место и к кому обращаться Ссылка на комментарий
ol"ga Опубликовано 16 августа, 2015 Автор Поделиться Опубликовано 16 августа, 2015 интересный подход. а сразу никак нельзя?)) чего ждать то???. Не смогли, сказали что могут повредить гайморову пазуху, удалят потом, когда корень капсулируетя и можно будет за него схватиться. Ссылка на комментарий
Yana guapa Опубликовано 16 августа, 2015 Поделиться Опубликовано 16 августа, 2015 . Не смогли, сказали что могут повредить гайморову пазуху, удалят потом, когда корень капсулируетя и можно будет за него схватиться.по мне- самый обычный корень, далеко от пазухи. удаляйтк его и остальные восьмерки.а затем ставьте НЧ в правильное положение в таких случаях обычно1. выравнивают зубные ряды ( с удалением восьмерок) 2. ставят нижнюю челюсть в правильное положение (различными способами, специальные пружины, эластики, форсус, твин форс и т.д.) каждый ОРТОДОНТ сам для себя выберает, что ему удобнее Ссылка на комментарий
ol"ga Опубликовано 17 августа, 2015 Автор Поделиться Опубликовано 17 августа, 2015 Спасибо большое за ответ. Но проблема в том, что мой ортодонт не может поставить нч в правильное положение, он с нч и суставами не работает. Консультировалась еще у двух специалистов, один посоветовал ставить шину, чтоб разгрузить сустав, говорит что симметрия лица должна вернуться, только надо снять брекеты с нч, или второй вариант закончить лечение брекетами, есле оно не долгое и тогда ставить шину, сказал чем быстрее, тем лучше. Второй специалист для облегчения состояния посоветовал випросал наружно на область сустава, и постоянно контролировать свою челюсть (губы сомкнути, нч раслаблена и не сомкнута), так хожу 2 дня, чувствую как тянуться мышцы. Больше склоняюсь снять брекеты с нч и носить шину, а потом опять поставить для продолжения лечения. Уважаемые доктора, нужен совет, на сколько эффективна шина, симметрия лица вернется? Ссылка на комментарий
Yana guapa Опубликовано 17 августа, 2015 Поделиться Опубликовано 17 августа, 2015 попробуйте найти просто хорошего ортоднта, который умеет не просто делать зубы ровными, но и сопоставлять челюсти в правильном положении. Как только поставите НЧ в нужное положении, и симптоматика и асимметрия уйдет. 1 Ссылка на комментарий
ol"ga Опубликовано 17 августа, 2015 Автор Поделиться Опубликовано 17 августа, 2015 Спасибо, пойду сниму брекеты с нижней челюсти и буду носить шину. Это единственный специалист (ортопед), который предложил хоть какое то лечение по моей проблеме, найти просто хорошего ортодонта не так легко в нашем городе Ссылка на комментарий
Yana guapa Опубликовано 18 августа, 2015 Поделиться Опубликовано 18 августа, 2015 Спасибо, пойду сниму брекеты с нижней челюсти и буду носить шину. Это единственный специалист (ортопед), который предложил хоть какое то лечение по моей проблеме, найти просто хорошего ортодонта не так легко в нашем городе после того как вы ее снимете, надо опять ставить брекеты. а если ваш ортодонт опять вым все сместит? и неправильно сделает конечный результат?выбор Ваш, но так не делают обычно. такими проблемами должен заниматься ортодонт , а не ортопед Ссылка на комментарий
ol"ga Опубликовано 18 августа, 2015 Автор Поделиться Опубликовано 18 августа, 2015 Спасибо большое, что объяснили, буду продалжать поиск ортодонта Ссылка на комментарий
ol"ga Опубликовано 22 августа, 2015 Автор Поделиться Опубликовано 22 августа, 2015 Помогите советом, пожалуйста, у меня стало заподать глазное яблоко справа, со стороны больного сустава. Заметила вчера вечером, когда умывалась, по ощущениям оно впавшее, не такое вывуклое как левое, на вид тоже видно, чуть меньше левого кажется, очень волнуюсь, помимо перекошенной челюсти иметь еще разные глаза приводит меня в ужас. Мышцы и сустав с правой стороны поднывают немного, чувствую что мышцы напряжены, мой ортодонт в понедельник ведет меня к другому специалисту на консультацию, сказал что возможно с ним они будут работать в паре с моей проблемой. Но как это может быть взаимосвязанно вывих челюсти и глаза, и главное, это исправимо? Ссылка на комментарий
Кнопочка Опубликовано 23 августа, 2015 Поделиться Опубликовано 23 августа, 2015 Всё как у меня,только у меня помимо перекошенного: лица/глаз/челюсти ещё и щёки вниз свалились и брыли теперь и узкое лицо(((Вообще тоже не понимаю,тягами челюсть повёрнутую на место ставят? Тяги смогут это сделать?Так ещё я чувствую у менячто челюсть не только повёрнута,а одна сторона ближе,другая в глубине..и глаза то глаза тоже один маленький,другой большой стал! Ссылка на комментарий
ol"ga Опубликовано 23 августа, 2015 Автор Поделиться Опубликовано 23 августа, 2015 Может брекеты вообще снять, хочу чтобы все вернулось на место, врачи, не молчите, пожалуйста, подскажите, это исправимо? Ссылка на комментарий
Skip Опубликовано 23 августа, 2015 Поделиться Опубликовано 23 августа, 2015 Вопрос по ТРГ в боковой проекции. Эти два исследования в какой промежуток времени проводились? Ссылка на комментарий
ol"ga Опубликовано 23 августа, 2015 Автор Поделиться Опубликовано 23 августа, 2015 Ровно 4 мес., там каждое фото с датой внизу, первое трг еще с лингвальными брекетами, его сделали перед переустановкой на вестибулярную брекет-систему Ссылка на комментарий
Skip Опубликовано 23 августа, 2015 Поделиться Опубликовано 23 августа, 2015 Мне нужен оригинальный не сжатый файл картинки ТРГ. Закачайте куда-нибудь и скиньте ссылку. Ссылка на комментарий
ol"ga Опубликовано 23 августа, 2015 Автор Поделиться Опубликовано 23 августа, 2015 http://ifolder.su/44113629http://ifolder.su/44113627http://ifolder.su/44113626http://ifolder.su/44113625http://ifolder.su/44113624 Ссылка на комментарий
ol"ga Опубликовано 24 августа, 2015 Автор Поделиться Опубликовано 24 августа, 2015 http://rusfolder.com/44117751Вот ссылка для скачивания одним файлом Ссылка на комментарий
Skip Опубликовано 24 августа, 2015 Поделиться Опубликовано 24 августа, 2015 Зубной ряд верхней челюсти СПРАВА выше, чем слева? Ссылка на комментарий
Рекомендуемые сообщения
Для публикации сообщений создайте учётную запись или авторизуйтесь
Вы должны быть пользователем, чтобы оставить комментарий
Создать аккаунт
Зарегистрируйте новый аккаунт в нашем сообществе. Это очень просто!
Регистрация нового пользователяВойти
Уже есть аккаунт? Войти в систему.
Войти