egorio Опубликовано 14 августа, 2015 Поделиться Опубликовано 14 августа, 2015 Уважаемые коллеги. Возникла следующая проблема с вкладками: смоделировал прямым методом вкладку из паттерна,добился свободной пассивной посадки,отдал в техническую на сканирование и фрезеровку, получил вкладку которая даже на глаз показалась толще оригинала из паттерна и естественно не села. Попробовал досадить,в итоге задолбался и плюнул на это дело.Говорю технику что надо переделать.Говорит первый раз такое всегда все садилось и т.д и т.п.,может глюк программы или печки поэтому синтеризация не доконца прошла. В общем переделал. Беру в руки и понимаю, что будет тоже самое. Чтобы не быть голословным сделал разрезной индекс из силикона чтобы померять диаметр штифта у вкладки, в итоге у циркониевой диаметр как минимум на 0,15 мм больше чем у оригинала, техник говорит что сканировал и пилил в другом месте и незнает в чем дело, предложил снять оттиск чтобы он сам смоделировал и посадил вкладку на модели, я конечно сделал как он просил , но меня берут сомнения , что будет толк. Хочется понять изза чего такая проблема и как ее избежать. Техника поменять не могу. Ссылка на комментарий
PaulSky Опубликовано 14 августа, 2015 Поделиться Опубликовано 14 августа, 2015 Промерить разницу в диаметре штифта в 0.15 проблематично- можно замерить не совсем одинаковые участки на моделировке и вкладке.Штифт же беззольный использовался при моделировке? При прямой моделировке технику можно в любом случае отснять оттиск для контроля посадки вкладки. 1 Ссылка на комментарий
egorio Опубликовано 15 августа, 2015 Автор Поделиться Опубликовано 15 августа, 2015 Специально сделал шаблон чтобы мерять в одной точке, и 0,15 это как минимум , со скидкой на кривой глаз и все возможные погрешности. Просто не понятно откуда берется эта погрешность причем именно в большую сторону Ссылка на комментарий
Bobby Опубликовано 15 августа, 2015 Поделиться Опубликовано 15 августа, 2015 Срочно откажитесь от ДЦ вкладок. Золотых и кобальтхромовых достаточно. 4 Ссылка на комментарий
egorio Опубликовано 15 августа, 2015 Автор Поделиться Опубликовано 15 августа, 2015 Срочно откажитесь от ДЦ вкладок. Золотых и кобальтхромовых достаточно.К сожалению официально отлить из золота очень геморно, а как замаскировать КХС особенно на переднем зубе если потом планируется пресс Ссылка на комментарий
Кит Опубликовано 15 августа, 2015 Поделиться Опубликовано 15 августа, 2015 А если опачить КХС или золото? Разве не вариант? Ссылка на комментарий
brg Опубликовано 15 августа, 2015 Поделиться Опубликовано 15 августа, 2015 (изменено) как замаскировать КХС особенно на переднем зубе если потом планируется прессТоже интересно,если есть можно ссылку Изменено 15 августа, 2015 пользователем brg Ссылка на комментарий
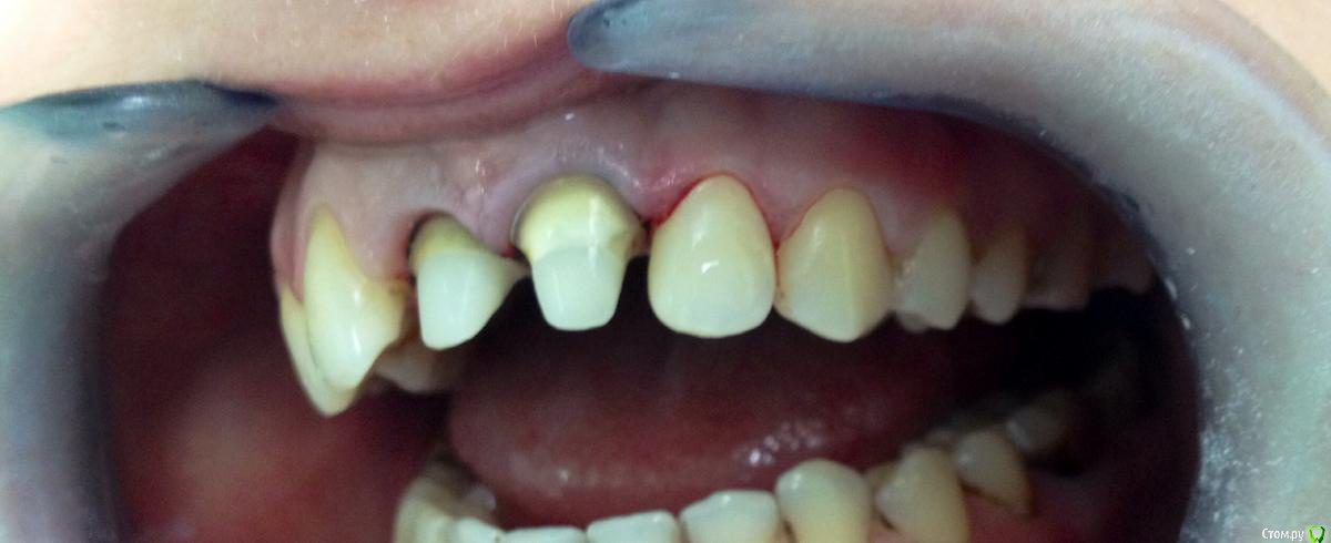
DoctorT Опубликовано 15 августа, 2015 Поделиться Опубликовано 15 августа, 2015 Вот вкладка из кхс с напресованной керамикой. 2 Ссылка на комментарий
Doc.IQ Опубликовано 15 августа, 2015 Поделиться Опубликовано 15 августа, 2015 Плюсую..делаю так же..работает отлично.. Ссылка на комментарий
Magomed Опубликовано 16 августа, 2015 Поделиться Опубликовано 16 августа, 2015 Срочно откажитесь от ДЦ вкладок. Золотых и кобальтхромовых достаточно.вроде как вы говорили что ДЦ.вкладки норма и стоят всё хорошо. Что щя случилось в чём такое противоречие Ссылка на комментарий
Magomed Опубликовано 16 августа, 2015 Поделиться Опубликовано 16 августа, 2015 золотую вкладку вроде как опачит не нужно Ссылка на комментарий
PLAY Опубликовано 16 августа, 2015 Поделиться Опубликовано 16 августа, 2015 делайте стекло-композитные вкладки. и не дорого. не геморно, надежно Ссылка на комментарий
Evikrol Опубликовано 17 августа, 2015 Поделиться Опубликовано 17 августа, 2015 На сколько я понял 1. Отсутствие адгезии к ДЦ2. Так же как и с др материалом возможен перелом3. Извлечь гораздо сложнее для перелечивания. Ссылка на комментарий
Bobby Опубликовано 17 августа, 2015 Поделиться Опубликовано 17 августа, 2015 вроде как вы говорили что ДЦ.вкладки норма и стоят всё хорошо. Что щя случилось в чём такое противоречие Было дело.Но они достаточно жёсткие и увеличивают риск фрактур и как выше написал коллеги, они очень сложно извлекаются при ретритменте. Ссылка на комментарий
Доктор Андрей Опубликовано 19 августа, 2015 Поделиться Опубликовано 19 августа, 2015 (изменено) К сожалению официально отлить из золота очень геморно, а как замаскировать КХС особенно на переднем зубе если потом планируется пресс Не планируйте пресс на штифтовую вкладку тогда, да и все. Я бы и на золотую побоялся бы пресс планировать. Обходитесь культями на СВШ либо прямо скажите пациенту, что данный зуб для пресса не подходит, и сделайте одну единицу на ДЦ, подогнав ее по цвету к остальным уже после их установки. Либо, как сказали выше, ставьте заранее облицованные вкладки, у которых внутриканальная часть из КХС. Изменено 19 августа, 2015 пользователем Доктор Андрей Ссылка на комментарий
egorio Опубликовано 19 августа, 2015 Автор Поделиться Опубликовано 19 августа, 2015 Спасибо за коментарии по вкладкам из ДЦ. Также остался открытым вопрос с чем может быть связана такая погрешность в их изготовлении, на каком этапе происходит косяк. Предстоит еще фрезеровка каркасов из ДЦ и не хотелось бы наступать на одни и теже грабли. Если можно то хотелось бы поподробнее узнать о методике(желательно по пунктам) изготовления заопаченых вкладок из КХС, их же после цементировки уже не подпилишь.Если уже где-то описывалось киньте пожалуйста ссылку. Ссылка на комментарий
DoctorT Опубликовано 19 августа, 2015 Поделиться Опубликовано 19 августа, 2015 Спасибо за коментарии по вкладкам из ДЦ. Также остался открытым вопрос с чем может быть связана такая погрешность в их изготовлении, на каком этапе происходит косяк. Предстоит еще фрезеровка каркасов из ДЦ и не хотелось бы наступать на одни и теже грабли. Если можно то хотелось бы поподробнее узнать о методике(желательно по пунктам) изготовления заопаченых вкладок из КХС, их же после цементировки уже не подпилишь.Если уже где-то описывалось киньте пожалуйста ссылку. обратись с этими вопросами лучше в раздел к техникам, они точнее по полочкам разложат. Ссылка на комментарий
egorio Опубликовано 22 сентября, 2015 Автор Поделиться Опубликовано 22 сентября, 2015 Вопрос закрылся. Техническая признала проблему на своей стороне. После консультаций с техподдержкой в германии,та прислала какой-то тестовый образец для фрезеровки и синтеризации. Оказалось печка недопекает на сколько-там процентов. После проведенной калибровки все стало нормально. Узнал об этом после того как заставил перепиливать каркас на одиночку 3!!! раза (только с третьей попытки колпак сел практически без коррекции,до этого колпаки болтались и не садились толком по уступу так как были широкими). На вопрос,как это у них получилось, была озвучена вышеописанная история. Забавно что до этого никто из врачей претензий не предъявлял,со слов техника у всех все садилось хорошо( хотя это совсем печально). Всем спасибо. 1 Ссылка на комментарий
Рекомендуемые сообщения
Для публикации сообщений создайте учётную запись или авторизуйтесь
Вы должны быть пользователем, чтобы оставить комментарий
Создать аккаунт
Зарегистрируйте новый аккаунт в нашем сообществе. Это очень просто!
Регистрация нового пользователяВойти
Уже есть аккаунт? Войти в систему.
Войти