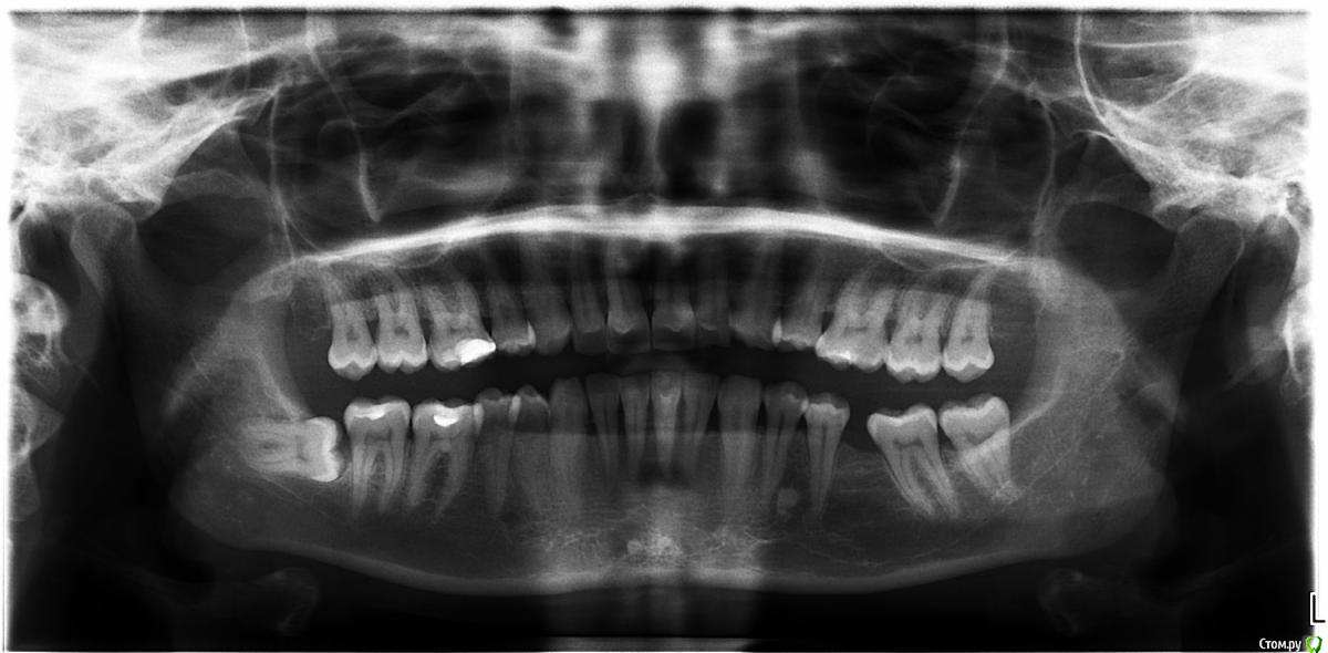
kurnosaya Опубликовано 13 августа, 2015 Поделиться Опубликовано 13 августа, 2015 Уважаемые доктора, доброго времени суток, у меня следующая проблема: рецессия десны в области нижних резцов, два месяца назад покраснела и начала гноится.Сделали депульпирование левой единички, положили лекарство. Была на приеме у многих врачей, советы расходятся. Кто-то предлагает вырвать всю группу нижних резцов, поставить два импланта и четыре коронки, кто-то предлагает депульпировать все остальные резцы, положить лекарство, пролечить таким образом десну, сделать открытый кюретаж впоследствии, затем гингивопластику. А также варианты: пластика уздечки и вестибулопластика, после чего также гингивопластика. Прикрепляю фотографии десны и ОПТГ. Прошу подсказать, какое лечение в моем случае будет самым верным? Ссылка на комментарий
faity Опубликовано 13 августа, 2015 Поделиться Опубликовано 13 августа, 2015 убираем восьмерки, ставим брекеты, ставим имплант, снимаем брекеты, ставим коронку, делаем тонельную пластику по необходимости, живём дальше простой спокойной жизнью до следующей проблемы.это по этапам 3 Ссылка на комментарий
zzkz Опубликовано 17 августа, 2015 Поделиться Опубликовано 17 августа, 2015 До брекетов рекомендовал бы закрыть рецессию. При необходимости после ортодонтии повторить. 1 Ссылка на комментарий
faity Опубликовано 17 августа, 2015 Поделиться Опубликовано 17 августа, 2015 согласен Ссылка на комментарий
Рекомендуемые сообщения
Для публикации сообщений создайте учётную запись или авторизуйтесь
Вы должны быть пользователем, чтобы оставить комментарий
Создать аккаунт
Зарегистрируйте новый аккаунт в нашем сообществе. Это очень просто!
Регистрация нового пользователяВойти
Уже есть аккаунт? Войти в систему.
Войти