dsfksdkf Опубликовано 12 августа, 2015 Поделиться Опубликовано 12 августа, 2015 (изменено) Был у хирурга, терапевта - проблему видят - говорят "расширена перидонтальная щель с одной стороны" - в этом месте как раз и болит (еще там немного оголен зуб и круговые связки в этом месте возможно разорваны манипуляциями ранее и не восстанавливаются)но предложить ничего не могут Изменено 12 августа, 2015 пользователем dsfksdkf Ссылка на комментарий
red_butler Опубликовано 12 августа, 2015 Поделиться Опубликовано 12 августа, 2015 как болит? Ссылка на комментарий
dsfksdkf Опубликовано 12 августа, 2015 Автор Поделиться Опубликовано 12 августа, 2015 (изменено) То сильно десна в этом месте приступами, то жгет, то чешется. Оч неприятно Изменено 12 августа, 2015 пользователем dsfksdkf Ссылка на комментарий
dsfksdkf Опубликовано 12 августа, 2015 Автор Поделиться Опубликовано 12 августа, 2015 (изменено) а что означает "расширена перидонтальная щель" ? это перидонтит? Изменено 12 августа, 2015 пользователем dsfksdkf Ссылка на комментарий
red_butler Опубликовано 12 августа, 2015 Поделиться Опубликовано 12 августа, 2015 а что означает "расширена перидонтальная щель" ? это перидонтит? в вашем случае расширена скорее всего от перегрузки, протезироваться нужно. 1 Ссылка на комментарий
Stomart Опубликовано 12 августа, 2015 Поделиться Опубликовано 12 августа, 2015 Надо проверить "живой" зуб или нет. Судя по снимку возможен пульпит/периодонтит. Ссылка на комментарий
dsfksdkf Опубликовано 12 августа, 2015 Автор Поделиться Опубликовано 12 августа, 2015 Проверяли аппаратом. Живой. Ссылка на комментарий
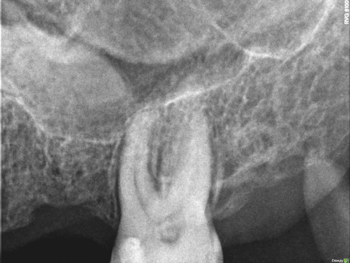
dsfksdkf Опубликовано 12 августа, 2015 Автор Поделиться Опубликовано 12 августа, 2015 (изменено) Вот в этом месте болит - черное в кости это что? С другой стороны по другому Изменено 12 августа, 2015 пользователем dsfksdkf Ссылка на комментарий
dsfksdkf Опубликовано 12 августа, 2015 Автор Поделиться Опубликовано 12 августа, 2015 Рассматривая фото я вдруг понял - связок в этом месте (белого) почти нет - хотя с другой стороны есть Ссылка на комментарий
dsfksdkf Опубликовано 12 августа, 2015 Автор Поделиться Опубликовано 12 августа, 2015 объясните пожалуйста! Ссылка на комментарий
St. Опубликовано 12 августа, 2015 Поделиться Опубликовано 12 августа, 2015 Связки вокруг зуба на таком снимке в принципе не видны. То что Вы имеете ввиду скорее всего структура кости. Ссылка на комментарий
dsfksdkf Опубликовано 13 августа, 2015 Автор Поделиться Опубликовано 13 августа, 2015 Связки вокруг зуба на таком снимке в принципе не видны. То что Вы имеете ввиду скорее всего структура кости.может ли кость в этом месте колоть десну? Ссылка на комментарий
red_butler Опубликовано 13 августа, 2015 Поделиться Опубликовано 13 августа, 2015 сделайте опг и если получится фото зуба и десны 1 Ссылка на комментарий
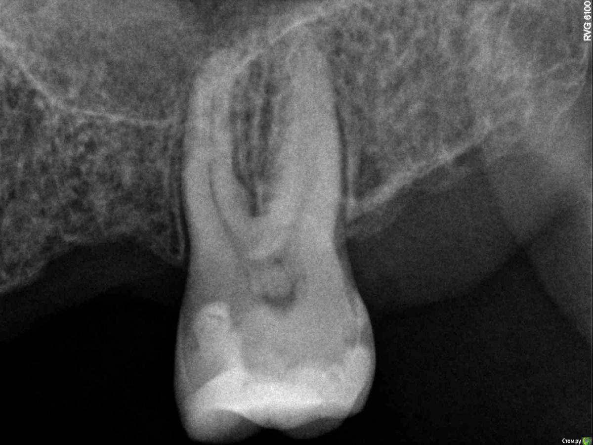
Гарриевич Опубликовано 13 августа, 2015 Поделиться Опубликовано 13 августа, 2015 То, что Вы обвели в кружок выглядит устрашающе только изза большой контрастности. Сколько это зуб стоит так одиноко? Ссылка на комментарий
dsfksdkf Опубликовано 15 августа, 2015 Автор Поделиться Опубликовано 15 августа, 2015 (изменено) То, что Вы обвели в кружок выглядит устрашающе только изза большой контрастности. Сколько это зуб стоит так одиноко?в этом месте десна красная, тонкая красная полоса на месте стыка десны и зуба.временами проходит, а сейчас опять разболелось ааааааааааа очень болит, плохо ночью спала из-за этого, просыпалась 2 раза от боли такая тупая боль как будто жмет в этом месте. я готова пойти удалить(((( Что делать? Изменено 15 августа, 2015 пользователем dsfksdkf Ссылка на комментарий
St. Опубликовано 15 августа, 2015 Поделиться Опубликовано 15 августа, 2015 На холодное,горячее болит? Если да, то как долго?Удалять не нужно. Возможно в зубе воспалился нерв. Ссылка на комментарий
Рекомендуемые сообщения
Для публикации сообщений создайте учётную запись или авторизуйтесь
Вы должны быть пользователем, чтобы оставить комментарий
Создать аккаунт
Зарегистрируйте новый аккаунт в нашем сообществе. Это очень просто!
Регистрация нового пользователяВойти
Уже есть аккаунт? Войти в систему.
Войти