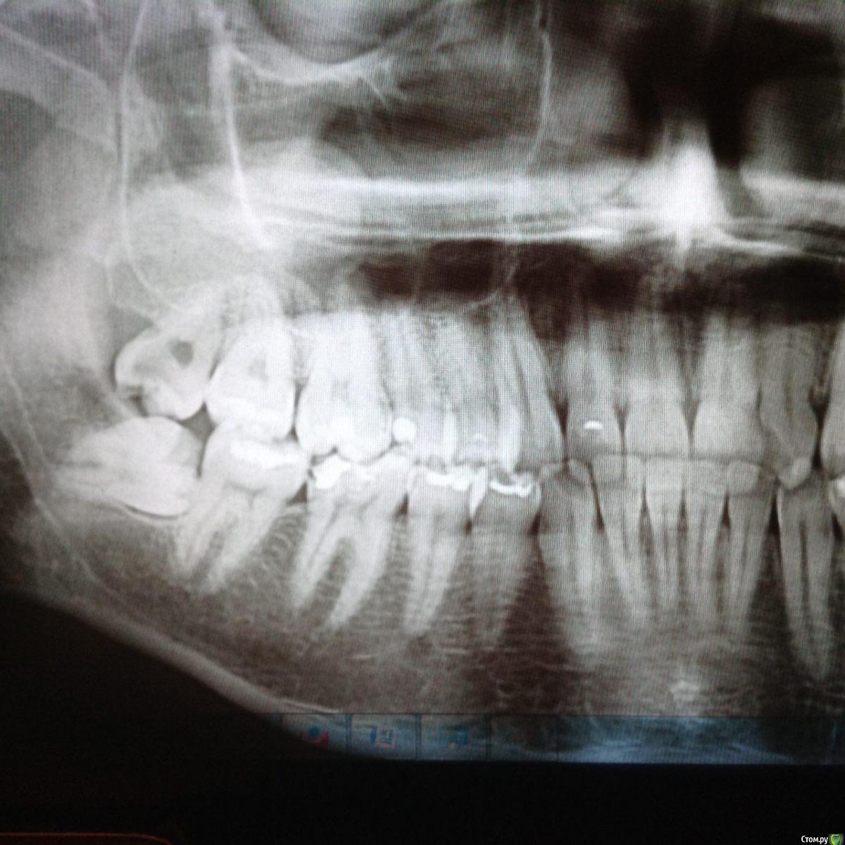
Света88888 Опубликовано 12 августа, 2015 Поделиться Опубликовано 12 августа, 2015 Добрый день, уважаемые Гуру! Пожалуйста, подтвердите, или опровергните, заключение, что все 3 зуба мудрости являются ретинированными.Очень интересует ваше мнение насчет правой восьмерки. Зуб полностью прорезался. Спасибо! Ссылка на комментарий
red_butler Опубликовано 12 августа, 2015 Поделиться Опубликовано 12 августа, 2015 низ - ретинированные, дистопированные, если их частично видно, то полу ретинированные. Верх, скорее всего дистопированный. Все удалять 3 Ссылка на комментарий
Света88888 Опубликовано 12 августа, 2015 Автор Поделиться Опубликовано 12 августа, 2015 низ - ретинированные, дистопированные, если их частично видно, то полу ретинированные. Верх, скорее всего дистопированный. Все удалятьБольшое спасибо за ответ! Ссылка на комментарий
red_butler Опубликовано 12 августа, 2015 Поделиться Опубликовано 12 августа, 2015 Большое спасибо за ответ!да пожалуйста, чем вызваны Ваши вопросы? Ссылка на комментарий
IvanK Опубликовано 13 августа, 2015 Поделиться Опубликовано 13 августа, 2015 да пожалуйста, чем вызваны Ваши вопросы?Видимо прайс на удаление разный) Ссылка на комментарий
Рекомендуемые сообщения
Для публикации сообщений создайте учётную запись или авторизуйтесь
Вы должны быть пользователем, чтобы оставить комментарий
Создать аккаунт
Зарегистрируйте новый аккаунт в нашем сообществе. Это очень просто!
Регистрация нового пользователяВойти
Уже есть аккаунт? Войти в систему.
Войти