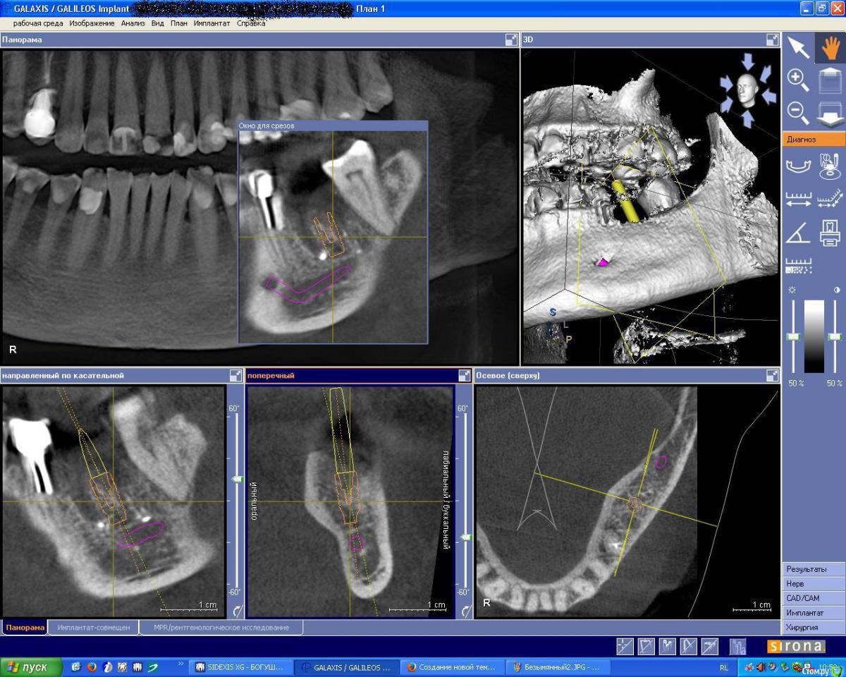
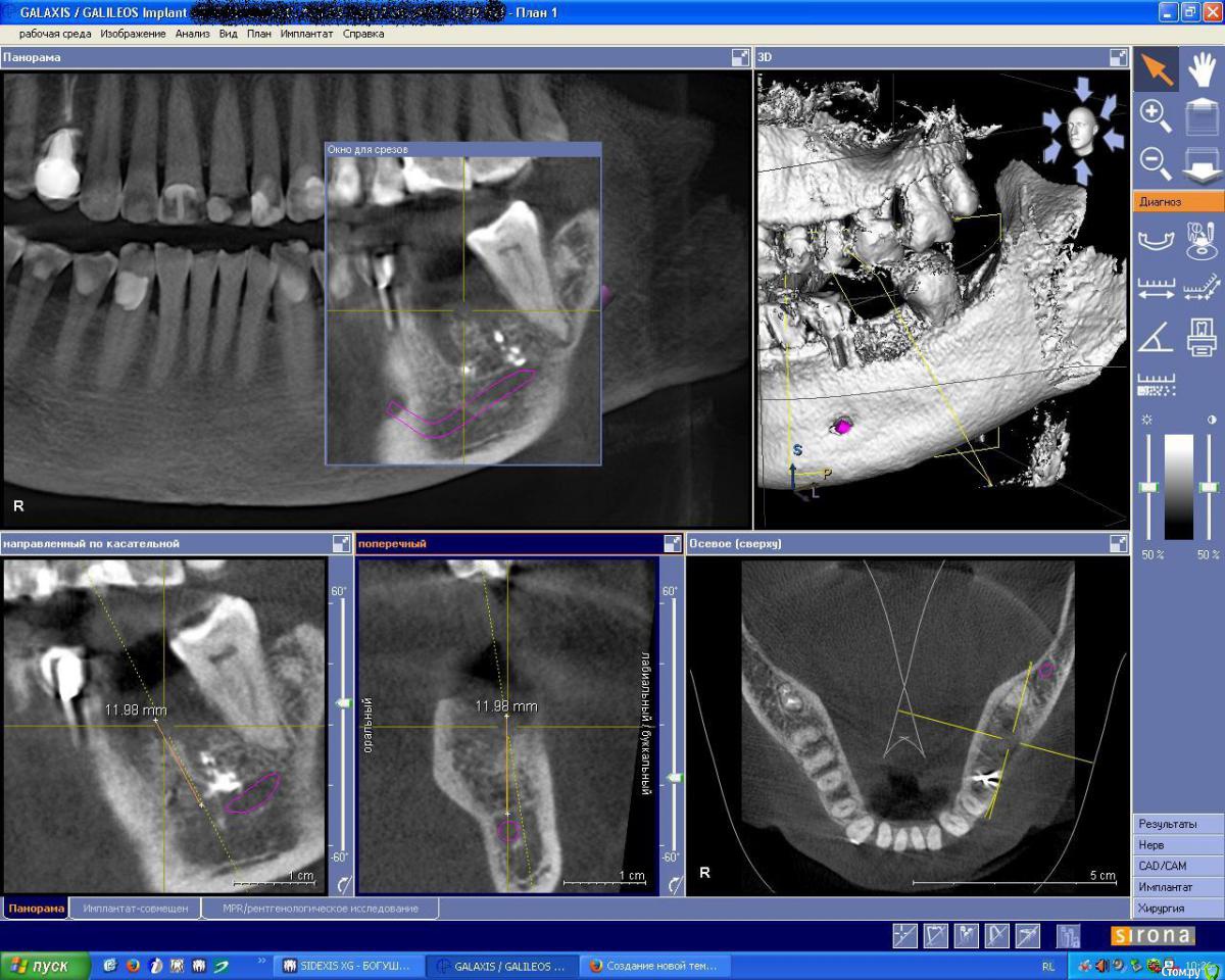
IshIm0 Опубликовано 12 августа, 2015 Поделиться Опубликовано 12 августа, 2015 (изменено) Добрый день коллеги, помогите определиться с тактикой лечения пациента на имплантацию. 18.04.15 Пациентке удалён зуб 36 с выпиливанием корней и полуторачасовым мучением - зуб буд-то анкилозировался с костью. Заживало всё не айс, сгусток вымылся, пища забивалась. Прошло 4 месяца - в полости рта как ни странно все хорошо, лунка под плотной бледно-розовой слизистой, кость при пальпации плотная, широкая. Жалоб не предъявляет - говорит давай имплантат, настроена позитивно. Далее на КТ определяется оставшийся пломбировочный материал, в лунке дистального корня зуба 36 пломбировочный материал лежит фактически на ничнежелюстном нерве. Планирую поставить ICX Ø 4,1 x 10mm, в межкорневую перегороду, уйти немного язычнее, но опасаюсь не даст ли мне этот пломбировочный материал воспалительную реакцию в последствии.Интересуют ваши мнения по поводу данной клинической картины!Позиционирование имплантата на КТ верно? (на КТ Astra 4.5 х 9 mm) Изменено 12 августа, 2015 пользователем IshIm0 Ссылка на комментарий
krokomot Опубликовано 12 августа, 2015 Поделиться Опубликовано 12 августа, 2015 надо удалять фамилии из скринов! Ссылка на комментарий
IshIm0 Опубликовано 12 августа, 2015 Автор Поделиться Опубликовано 12 августа, 2015 надо удалять фамилии из скринов!сделано Ссылка на комментарий
krokomot Опубликовано 12 августа, 2015 Поделиться Опубликовано 12 августа, 2015 В случае неудачной имплантации будут грешить на то что вы не убрали материал из области установки импланта. Это риск. Можно попробовать прецизионно убрать этот материал, сделав шаблон с ориентирами вплоть до миллиметра. Ссылка на комментарий
Тимур86 Опубликовано 12 августа, 2015 Поделиться Опубликовано 12 августа, 2015 Ставил и не раз... 4 Ссылка на комментарий
red_butler Опубликовано 12 августа, 2015 Поделиться Опубликовано 12 августа, 2015 по снимку кость не зрелая, может получится выскоблить. А так тоже ставил и ничего.Почему сразу не убрали? Ссылка на комментарий
IshIm0 Опубликовано 12 августа, 2015 Автор Поделиться Опубликовано 12 августа, 2015 по снимку кость не зрелая, может получится выскоблить. А так тоже ставил и ничего.Почему сразу не убрали?Согласен, стоило сразу вычистить всё и не жалеть межкорневую перегородку...но имеем, что имеем. Ссылка на комментарий
Рекомендуемые сообщения
Для публикации сообщений создайте учётную запись или авторизуйтесь
Вы должны быть пользователем, чтобы оставить комментарий
Создать аккаунт
Зарегистрируйте новый аккаунт в нашем сообществе. Это очень просто!
Регистрация нового пользователяВойти
Уже есть аккаунт? Войти в систему.
Войти