Endorphin Опубликовано 11 августа, 2015 Поделиться Опубликовано 11 августа, 2015 Добрый день, Коллеги!Хочу с Вашей помощью принять оптимальное решение по выходу из сложившейся ситуации.23.06.2015 пациентке проведена аугментация в 4 сегменте. Biooss L+ауто 50:50. Графт перекрыт мембраной biotec с титановым усилением, мембрана перекрыта отжатыми сгустками prp. Ушивание без натяжения (турбомобилизировал по Mane), матрацный и обвивной шов. 27.06 - швы состоятельны, без особенностей04.07 - снятие швов08.07 - при осмотре обратил внимание на незначительный участок оголения мембраны язычно(на фото)решил наблюдать, в надежде что затянется.Пациентка пропала на месяц.11.8.15 - Жалоб нет. Признаков воспаления нет. Обширное оголение мембраны (примерно 1 см2).Принял решение мембрану завтра удалить. Из своих косяков могу выделить слишком дистальное расположение мембраны.Причины неприятности думаю кроются в мембране - у коллеги она очень нередко ведет себя так же. На ощупь она как полиэтилен и, в отличие от cytoplast и goretex (если не ошибаюсь) не имеет пор и полностью изолирует слизистую от кости. Вопрос - как быть с дефектом мягких тканей? Из вариантов - попытаться ушить наглухо или сделать каппу (или защитную пластинку, как в кейсе Большого Зеленого) с пространством для роста грануляций. Склоняюсь ко второму варианту. Буду признателен за любые комментарии. 1 Ссылка на комментарий
АнтонТЛТ Опубликовано 11 августа, 2015 Поделиться Опубликовано 11 августа, 2015 Я бы еще подождал, если нет отделяемого. Хоть что-то образуется. 2 Ссылка на комментарий
carloss Опубликовано 11 августа, 2015 Поделиться Опубликовано 11 августа, 2015 Ну вот.. Иллюстрация на тему рисков. Теперь вас будут учитывать ещё и язычно делать турбомобилизацию)).. А там осложения могут принять другой оборот. По теме, если отделяемого из под мембраны нет или очень скудное, то хоть пару мес после операции стоит подождать.. Может хоть какой прирост будет. Хотя вряд ли, если сразу оголилось, то скорей всего под ней все уже скисло. Защит пластинк не стоит.. Тут другая история. 2 Ссылка на комментарий
molchanoff Опубликовано 11 августа, 2015 Поделиться Опубликовано 11 августа, 2015 турбомобилизацию)) а что это такое? Ссылка на комментарий
Endorphin Опубликовано 11 августа, 2015 Автор Поделиться Опубликовано 11 августа, 2015 Благодарю. Понял, подожду до конца месяца. Хотя, вероятно, дефект вырастет еще больше, и в процессе ожидания "ситуация" может воспалиться. Сейчас у меня большой вопрос, как создать хорошую десну на месте атрофии после удаления мембраны? Если не пластинкой, то как? 1 Ссылка на комментарий
Endorphin Опубликовано 11 августа, 2015 Автор Поделиться Опубликовано 11 августа, 2015 а что это такое? В закрытом разделе Mane выкладывал видео на тему мобилизации вестибулярного лоскута. Ссылка на комментарий
Endorphin Опубликовано 11 августа, 2015 Автор Поделиться Опубликовано 11 августа, 2015 Только что на осмотре был похожий пациент от коллеги. 2 Ссылка на комментарий
Чертков Александр Опубликовано 11 августа, 2015 Поделиться Опубликовано 11 августа, 2015 Я бы еще подождал, если нет отделяемого. Хоть что-то образуется.+1 ...у Сато в монографии есть очень похожий кейс. Главное аккуратная гигиена области обнажения мембраны (мягкая з.щетка + антисептик)...возможно еще не все "потеряно". 1 Ссылка на комментарий
Чертков Александр Опубликовано 11 августа, 2015 Поделиться Опубликовано 11 августа, 2015 Только что на осмотре был похожий пациент от коллеги. onemore.JPGНу тут явная "недомобилизация" и неадекватное ушивание. 1 Ссылка на комментарий
Endorphin Опубликовано 11 августа, 2015 Автор Поделиться Опубликовано 11 августа, 2015 +1 ...у Сато в монографии есть очень похожий кейс. Главное аккуратная гигиена области обнажения мембраны (мягкая з.щетка + антисептик)...возможно еще не все "потеряно".Kак раз Сато в такой ситуации (Periodontal Surgery Clinical Atlas 2000) рекомендует удалять мембрану в пределах 4-8 недель в случае если не обнажены ее края. У нас с пациенткой как раз 8 неделя. Ссылка на комментарий
Kostoprav Опубликовано 11 августа, 2015 Поделиться Опубликовано 11 августа, 2015 раз уж такая коварная мембрана может стоит ее заменить на что нибудь другое, например ламина от остеобиола ?) я бы тоже подождал 1 Ссылка на комментарий
Mane Опубликовано 11 августа, 2015 Поделиться Опубликовано 11 августа, 2015 Ну вот.. Иллюстрация на тему рисков.Теперь вас будут учитывать ещё и язычно делать турбомобилизацию)).. А там осложения могут принять другой оборот. По теме, если отделяемого из под мембраны нет или очень скудное, то хоть пару мес после операции стоит подождать.. Может хоть какой прирост будет. Хотя вряд ли, если сразу оголилось, то скорей всего под ней все уже скисло. Защит пластинк не стоит.. Тут другая история. Ну Карэн, ну что ж ты молодежь то трогаешь и по ушам им....Ну причем тут турбомобилизация. Без нее развалилось бы через неделю. Вопрос то не в ней в данном кейсе, а в тонком биотипе, Ты увидел чтоб доктор написал в протоколе операции - "ССТ под ШВЫ". Я нет. Вот в этом и причина. Не всегда же будут такие кейсы что можно болт поглубже и десну сразу и все. Иногда (а точнее половину) нужно наращивать и прилично. Как им ушивать? Ды я благодарен, когда меня познакомили с этим методом мобилизации. Кстати и Зуккели и Хюрцелер плотно на нем сидят ой как давно. Да все, я думаю. И мобилизация язычного лоскута. Очень полезная штука. Ну да ладно. В данном кейсе отсутствие опыта наказало:- во первых здесь именно тот самый случай когда можно поглубже и с десной сразу. без костной пластики- во вторых коль уже решил наращивать, не подложил сст под швы (для утолщения биотипа) По кейсуСогласен с докторами - если нет отделяемого - ротовые ванны с хоргексом и тянем на этом рецепте сколько протянем. Пациентку смотрим часто. Если же будите вынимать - то линейный разрез по гребню, выниаете, все отмываете перекись/хлоргекс, мобилизация, сст под швы. Без капп Ссылка на комментарий
carloss Опубликовано 11 августа, 2015 Поделиться Опубликовано 11 августа, 2015 Эд, в данном случае был кем, когда спокойной прокатил бы метод, о котором мы спорим.. остальное вода.. мне пофиг на имена твоих авторитетов.. я не делаю турбо, как ты называешь.. это отдельная тема 1 Ссылка на комментарий
carloss Опубликовано 11 августа, 2015 Поделиться Опубликовано 11 августа, 2015 (изменено) кстати, скорей всего именно турбомобилизация и была причиной провала.. нечего его остончать там где не надо, нарушая и питание там где надо.. можно все прекрасно мобилизовать и поглубже.. всегда если уж взялся меня учить как с кем себя вести доброй ночи!)) Изменено 11 августа, 2015 пользователем carloss Ссылка на комментарий
Mane Опубликовано 11 августа, 2015 Поделиться Опубликовано 11 августа, 2015 Эд, в данном случае был кем, когда спокойной прокатил бы метод, о котором мы спорим.. остальное вода.. мне пофиг на имена твоих авторитетов.. я не делаю турбо, как ты называешь.. это отдельная темаДа и у меня нет кумиров. Я лишь следую общепризнанным методикам и делюсь результатами. Ссылка на комментарий
Mane Опубликовано 11 августа, 2015 Поделиться Опубликовано 11 августа, 2015 кстати, скорей всего именно турбомобилизация и была причиной провала.. нечего его остончать там где не надо, нарушая и питание там где надо.. можно все прекрасно мобилизовать и поглубже.. всегда если уж взялся меня учить как с кем себя вести доброй ночи!))Согласен. Там где не надо - не стоит. Поэтому тут вариант В. Доброй! Ссылка на комментарий
Endorphin Опубликовано 12 августа, 2015 Автор Поделиться Опубликовано 12 августа, 2015 Благодарю за ответы. Последние полтора года в таких ситуациях делаю аугментацию по методу Урбана (17 операций) и использую Biogide (3 раза мембрана HRT). В остальном все примерно так же - микс, пины, мобилизация (турбо - около половины кейсов). Мягкие ткани почти всегда или до или на втором этапе. Из особенностей - дважды прорезались пины язычно, других подобных осложнений пока не было (сплюнул, постучал). Так что мне с трудом верится, что мобилизация стала первопричиной. Ни в коем случае не отрицаю свою непричастность, но кроме мембраны все было по привычной схеме. Ссылка на комментарий
Endorphin Опубликовано 9 сентября, 2015 Автор Поделиться Опубликовано 9 сентября, 2015 (изменено) Продолжение истории.По Вашим советам мембрану оставил, наблюдал пациентку раз в неделю. Отмечалась тенденция к росту области прорезывания, в связи с чем было решено мембрану удалить ( не хотелось дожидаться оголения края мембраны). На момент удаления мембране исполнилось 3 месяца. Анестезия, разрез по гребню примерно на 3/4 длины мембраны. Мембрана и пины ушли без боя, в области прорезывания обнаружился желеобразнный фибрин. Там, где над мембраной сохранилась слизистая, на месте графта образовалась твердая ткань, надо полагать, выросла кость. Иммобилизировать, ушивать наглухо, подкладывать сст не стал. Наложил сближающие швы, швы на разрез. Прошла неделя. Через 1.5 - 2 месяца планирую КТ и если это действительно была кость, то имплантацию с сст. Спасибо всем, кто отговаривал меня удалять мембрану . Изменено 9 сентября, 2015 пользователем Endorphin 13 Ссылка на комментарий
Kovalov Igor Опубликовано 10 сентября, 2015 Поделиться Опубликовано 10 сентября, 2015 Антибиотики после изъятия мембраны назначали ? Ссылка на комментарий
Endorphin Опубликовано 11 сентября, 2015 Автор Поделиться Опубликовано 11 сентября, 2015 (изменено) Антибиотики после изъятия мембраны назначали ?Нет. Создавалось впечатление, что рана заживает "открыто", соответственно анаэробы не пройдут и пациентка очень тяжело перенесла антибиотикотерапию после установки мембраны. Изменено 11 сентября, 2015 пользователем Endorphin Ссылка на комментарий
andrey_1965 Опубликовано 29 ноября, 2015 Поделиться Опубликовано 29 ноября, 2015 Продолжение истории.По Вашим советам мембрану оставил, наблюдал пациентку раз в неделю. Отмечалась тенденция к росту области прорезывания, в связи с чем было решено мембрану удалить ( не хотелось дожидаться оголения края мембраны). На момент удаления мембране исполнилось 3 месяца. Анестезия, разрез по гребню примерно на 3/4 длины мембраны. Мембрана и пины ушли без боя, в области прорезывания обнаружился желеобразнный фибрин. Там, где над мембраной сохранилась слизистая, на месте графта образовалась твердая ткань, надо полагать, выросла кость. 3month.JPG 3month2.JPG Иммобилизировать, ушивать наглухо, подкладывать сст не стал. Наложил сближающие швы, швы на разрез. Прошла неделя. epithelium1.JPG epithelium2.JPG Через 1.5 - 2 месяца планирую КТ и если это действительно была кость, то имплантацию с сст. Спасибо всем, кто отговаривал меня удалять мембрану .Пора КТ показать. Ссылка на комментарий
Endorphin Опубликовано 8 декабря, 2015 Автор Поделиться Опубликовано 8 декабря, 2015 Пора КТ показать. Завтра у пациентки запланирован синус, как раз сделаю контрольную кт. Ссылка на комментарий
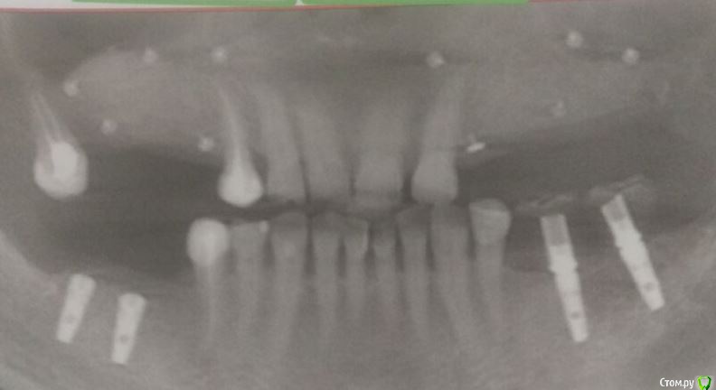
Endorphin Опубликовано 21 декабря, 2015 Автор Поделиться Опубликовано 21 декабря, 2015 Пора КТ показать. Изначально рассчитывал на большее, но на фоне осложнений, думаю, и это хороший результат. Имплантата в позиции 46 так дистально расположен именно из-за недостатка кости. В январе-феврале установка. Ссылка на комментарий
Kovalov Igor Опубликовано 21 декабря, 2015 Поделиться Опубликовано 21 декабря, 2015 Сделайте фото когда ставить будете, очень интересно 1 Ссылка на комментарий
Endorphin Опубликовано 30 января, 2016 Автор Поделиться Опубликовано 30 января, 2016 Сделайте фото когда ставить будете, очень интересноСделал.Результат превзошел ожидания. Из-за изначально неправильного расположения мембраны и графта, "ширина" начинается лишь отступя 6.5 мм от шейки 45, так что центр платформы дистализирован для моляра (8.5мм когда хочется 6мм). Качество фото так себе, но суть, думаю, ясна - кость наросла в достаточном объеме и качестве, торк > 45. Обязательно ССТ под швы. Еще раз всем спасибо! 1 Ссылка на комментарий
Рекомендуемые сообщения
Для публикации сообщений создайте учётную запись или авторизуйтесь
Вы должны быть пользователем, чтобы оставить комментарий
Создать аккаунт
Зарегистрируйте новый аккаунт в нашем сообществе. Это очень просто!
Регистрация нового пользователяВойти
Уже есть аккаунт? Войти в систему.
Войти