Белочка19 Опубликовано 6 августа, 2015 Поделиться Опубликовано 6 августа, 2015 Здравствуйте! Читаю вас и вот решилась. Беда подкралась незаметно- сломался мост и вот я, еще хороша собой, но уже без зубов.В хорошие клинике( г. Москва) рекомендовали все под удаление( верх) и установить балку на четырех имплантах. Сумма для меня нереальная. Насчитали с учетом скидки 630 тысяч. Я многодетная мамочка, одна воспитываю деток. Само собой надо бы работать, но без зубов как? Балка для меня депрессивна еще и тем, что это по сути съемный протез, только прикрепленный, с искусственной десной, неэстетично. Хочу красиво говорить, улыбаться, смеяться и есть. Помогите пожалуйста советом, можно ли по другому, дешевле и хотелось бы впереди зубы оставить 4, а по бокам 2-3 импланта и все под мосты и коронки. По 20 тысяч на имплант в Москве- это возможно? И вообще, в моей жуткой ситуации, это реально? Спасибо, очень жду ответа!)) Ссылка на комментарий
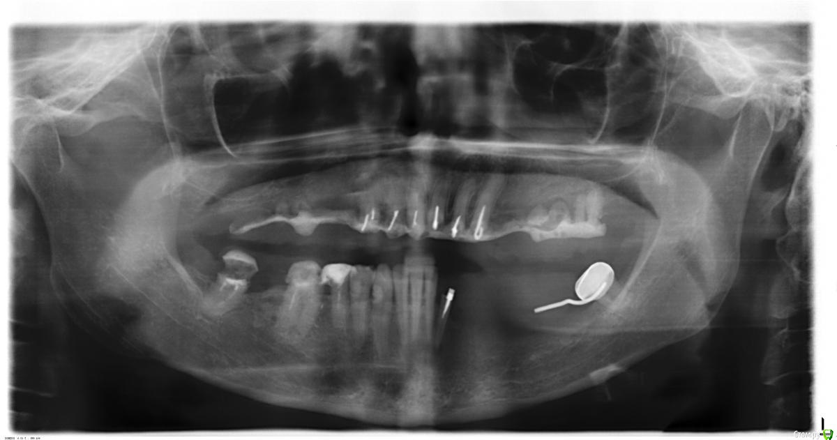
Белочка19 Опубликовано 6 августа, 2015 Автор Поделиться Опубликовано 6 августа, 2015 Вот снимок из этой клиники. Все что у меня есть. Ссылка на комментарий
Korel Опубликовано 6 августа, 2015 Поделиться Опубликовано 6 августа, 2015 А почему не рассматриваете вариант съёмного протезирования? Ведь на н/ч у Вас стоит частичный съёмный. Выйдет намноооого дешевле, можно сделать отличную эстетику и т. д. и будете: красиво говорить, улыбаться, смеяться и есть. Ссылка на комментарий
Белочка19 Опубликовано 6 августа, 2015 Автор Поделиться Опубликовано 6 августа, 2015 Нижний съемный -от невозможности нормального протезирования, мне при удалении удалили большой кусок кости, зацепив при этом соседние здоровые, пришлось удалить и их. Этот съемный сплошная мука, кореги съела тонну уже. Хочу быть человеком.Устала. Моя мама стоматолог, у сожаленью возраст у нее не тот, чтобы помочь мне, она как могла помогала все время. А сейчас, все вот рухнуло. 1 Ссылка на комментарий
Bier Опубликовано 6 августа, 2015 Поделиться Опубликовано 6 августа, 2015 верхний на балке будет держаться без корреги и эстетически будет очень красиво смотреться. Ссылка на комментарий
Белочка19 Опубликовано 6 августа, 2015 Автор Поделиться Опубликовано 6 августа, 2015 Спасибо, Вier, скажите это отчего Вы так думаете, потому что у меня такие финансовые возможности, или потому что физически только так? Ссылка на комментарий
Белочка19 Опубликовано 6 августа, 2015 Автор Поделиться Опубликовано 6 августа, 2015 А передние свои сохранить нельзя? Ссылка на комментарий
Mailze Опубликовано 7 августа, 2015 Поделиться Опубликовано 7 августа, 2015 Здравствуйте! Читаю вас и вот решилась. Беда подкралась незаметно- сломался мост и вот я, еще хороша собой, но уже без зубов.В хорошие клинике( г. Москва) рекомендовали все под удаление( верх) и установить балку на четырех имплантах. Сумма для меня нереальная. Насчитали с учетом скидки 630 тысяч. Я многодетная мамочка, одна воспитываю деток. Само собой надо бы работать, но без зубов как? Балка для меня депрессивна еще и тем, что это по сути съемный протез, только прикрепленный, с искусственной десной, неэстетично. Хочу красиво говорить, улыбаться, смеяться и есть. Помогите пожалуйста советом, можно ли по другому, дешевле и хотелось бы впереди зубы оставить 4, а по бокам 2-3 импланта и все под мосты и коронки. По 20 тысяч на имплант в Москве- это возможно? И вообще, в моей жуткой ситуации, это реально? Спасибо, очень жду ответа!)) План лечения:1. верхние удалить;2. нижние перелечить, если какие нет возможности перелечить - удалить;3. изготовить в приличном месте новый съемный протез на нижнюю челюсть и полный съемный на верхнюю челюсть (так чтобы не пришлось есть тонны корреги);4. начать откладывать деньги на имплантацию;5. предложившего план лечения не закидывать тапками. Ссылка на комментарий
Larnary Опубликовано 7 августа, 2015 Поделиться Опубликовано 7 августа, 2015 А за что в Вас тапками кидать. Довольно разумный план в данной ситуации.P.S. Про вопрос ТС о 20тр за имплантат-именно в Москве это будет эконом имплантат в эконом сегменте в клинике эконом уровня.С учетом нынешнего курса рубля эта сумма очень подозрительная.И тут я бы вас предостерег гоняться за дешевизной.может боком выйти. Лучше качественный съемный протез,чем непойми какие импланты понаставить. 1 Ссылка на комментарий
Белочка19 Опубликовано 7 августа, 2015 Автор Поделиться Опубликовано 7 августа, 2015 Спасибо, но уж больно грустный план выходит. За мнение- спасибо!)) Ссылка на комментарий
Белочка19 Опубликовано 7 августа, 2015 Автор Поделиться Опубликовано 7 августа, 2015 Larnary, а как же акции? Вот увидела, Альфа Био- 7500, Нобель - 17000, не доверять? Пытаюсь понять, бывают ли левые подделки имплантатов, можно ли на такое нарваться? Спасибо Вам за мнение! Ссылка на комментарий
Bier Опубликовано 7 августа, 2015 Поделиться Опубликовано 7 августа, 2015 подделок под импланты почти не бывает, бывают подделки под врачей 4 Ссылка на комментарий
Mailze Опубликовано 7 августа, 2015 Поделиться Опубликовано 7 августа, 2015 (изменено) подделок под импланты почти не бывает, бывают подделки под врачей Требовать сертификат качества? :D Изменено 7 августа, 2015 пользователем Mailze Ссылка на комментарий
Larnary Опубликовано 7 августа, 2015 Поделиться Опубликовано 7 августа, 2015 Larnary, а как же акции? Вот увидела, Альфа Био- 7500, Нобель - 17000, не доверять? Пытаюсь понять, бывают ли левые подделки имплантатов, можно ли на такое нарваться? Спасибо Вам за мнение!Акции я и сам люблю)) но те цены,что вы назвали-это закупочная цена имплантатов у официальных поставщиков. Но эти имплантаты нужно еще и поставить))))не будет же клиника вам их ставить бесплантно. Поэтому вы четко узнайте,что входит в эту стоимость,а за что придется доплатить.С нобелем я знаком хорошо и работаю регулярно с ним... Поверьте,это очень дорогая система премиум класса! И установка нобеля+сам имплант не могут столько стоить. 1 Ссылка на комментарий
Белочка19 Опубликовано 7 августа, 2015 Автор Поделиться Опубликовано 7 августа, 2015 Bier, Larnary, Mailze, большое спасибо за советы, уважаемые доктора! Единственный вопрос, т. е., чисто гипотетически, в моей ситуации возможна установка одиночных имплантов, впоследствии под коронки и мосты? Не хочу съемный)) Спасибо!) Ссылка на комментарий
Larnary Опубликовано 7 августа, 2015 Поделиться Опубликовано 7 августа, 2015 (изменено) Да.ставите несколько имплантатов и на них мостик))) тот же озвученный вами Nobel будет отличным вариантом Изменено 7 августа, 2015 пользователем Larnary Ссылка на комментарий
Bier Опубликовано 7 августа, 2015 Поделиться Опубликовано 7 августа, 2015 Bier, Larnary, Mailze, большое спасибо за советы, уважаемые доктора! Единственный вопрос, т. е., чисто гипотетически, в моей ситуации возможна установка одиночных имплантов, впоследствии под коронки и мосты? Не хочу съемный)) Спасибо!)при вашем бюджете - зря.под несъмный понадобится минимум 6-8 имплантатов + сами коронки с абатментами еще столько же будут стоить. При этом эстетический вид может оказаться значительно хуже. (на дорогого врача денег у Вас не хватает, а сделать эстетично несъемную конструкцию на имплантатах значительно сложнее) Тогда как условно-съемный на балке фиксируется очень жестко и сделать его красивым значительно проще 1 Ссылка на комментарий
Белочка19 Опубликовано 7 августа, 2015 Автор Поделиться Опубликовано 7 августа, 2015 Bier, Larnary, огромное вам спасибо! Буду думать! Ссылка на комментарий
MGE Опубликовано 16 августа, 2015 Поделиться Опубликовано 16 августа, 2015 Добрый день уважаемые господа доктора. Я впервые на вашем форуме и прошу простить меня если что не так. История моя ужасна, мне всего 45 но я очень больной человек и уже почти беззубый. На верхней челюсти удалены все, на нижней остались 6 передних но тоже скорее всего потребуется удаление.Мой вопрос о съемных недорогих полных протезах, в какую реальную сумму мне они обойдутся? О эстетике я не смею мечтать( финансовое положение нестабильное), было бы хоть чем жевать(И еще вопрос, присутствуют ли на форуме доктора из Ногинска или Электростали? боюсь в другие города по ряду причин мне уже не выбраться.Спасибо! Ссылка на комментарий
Bier Опубликовано 16 августа, 2015 Поделиться Опубликовано 16 августа, 2015 Добрый день уважаемые господа доктора. Я впервые на вашем форуме и прошу простить меня если что не так. История моя ужасна, мне всего 45 но я очень больной человек и уже почти беззубый. На верхней челюсти удалены все, на нижней остались 6 передних но тоже скорее всего потребуется удаление.Мой вопрос о съемных недорогих полных протезах, в какую реальную сумму мне они обойдутся? О эстетике я не смею мечтать( финансовое положение нестабильное), было бы хоть чем жевать(И еще вопрос, присутствуют ли на форуме доктора из Ногинска или Электростали? боюсь в другие города по ряду причин мне уже не выбраться.Спасибо! создайте свою тему, не пишите в чужих! + читайте правила форума!! Ссылка на комментарий
Рекомендуемые сообщения
Для публикации сообщений создайте учётную запись или авторизуйтесь
Вы должны быть пользователем, чтобы оставить комментарий
Создать аккаунт
Зарегистрируйте новый аккаунт в нашем сообществе. Это очень просто!
Регистрация нового пользователяВойти
Уже есть аккаунт? Войти в систему.
Войти