Orthodont03 Опубликовано 6 августа, 2015 Поделиться Опубликовано 6 августа, 2015 (изменено) Всем привет. Клиника закупила "Сафорайд" для серебрения и прокладки для глубокого кариеса. Кто-нибудь активно пользуется им? Ваши отзывы. И как им пользоваться, инструкции почему то нет(( Спасибо. Изменено 6 августа, 2015 пользователем Orthodont03 Ссылка на комментарий
CRAZYDUCK Опубликовано 6 августа, 2015 Поделиться Опубликовано 6 августа, 2015 Вообще не использую сафорайд и подобные материалы , помочь не могу с инструкцией . А что за прокладки для глубоко кариеса? Но многие доктора на форуме не используют эти прокладки тоже,сразу пломба . Ссылка на комментарий
Orthodont03 Опубликовано 7 августа, 2015 Автор Поделиться Опубликовано 7 августа, 2015 Вообще не использую сафорайд и подобные материалы , помочь не могу с инструкцией . А что за прокладки для глубоко кариеса? Но многие доктора на форуме не используют эти прокладки тоже,сразу пломба .Сафорайд используют и как прокладку при глубоком. Я тоже не использую и не люблю серебрение, началсьвто закупило, требует. вот решила отзывы почитать Ссылка на комментарий
Екатерина Геранина Опубликовано 7 августа, 2015 Поделиться Опубликовано 7 августа, 2015 А зачем покупать то, что не работает и давно не актуально? Зубы резорцинить тоже будете, если начальство потребует? Начальству нужно заняться закупкой реальных профилактических средств , а кариес лечить как полагается, не используя подобных 3 Ссылка на комментарий
Orthodont03 Опубликовано 9 августа, 2015 Автор Поделиться Опубликовано 9 августа, 2015 (изменено) А зачем покупать то, что не работает и давно не актуально? Зубы резорцинить тоже будете, если начальство потребует? Начальству нужно заняться закупкой реальных профилактических средств , а кариес лечить как полагается, не используя подобныхЯ же не один врач на всю клинику, другие врачи работают. Причем тут резорцин! Судя по рекламе говорят хорошее средство, но у меня опыта использования не было. И вообще не использую серебрение. Изменено 9 августа, 2015 пользователем Orthodont03 Ссылка на комментарий
CRAZYDUCK Опубликовано 9 августа, 2015 Поделиться Опубликовано 9 августа, 2015 (изменено) Не используйте лучше его , вот честно ,не надо . Пусть другие врачи , кто привык серебрить и их это устраивает работают Сафорайд. Польза может и есть какая-то , но опять же в пределах эмали , а в пределах эмали и ремтерапия работает , только зубы не становятся страшными . Вы же понимаете , что в ситуациях , когда нужно восстановить эмаль и дентин серебро действует , как плацебо , из серии ну хоть " что-то сделали ",а зубы продолжают разрушаться . Если ребенок не сидит ( часто это и является основным доводом для выбора серебрения ), ему нужна седация или общий анестезия (наркоз ), чтобы действительно полечить эти зубы .Можете на приказ минздрава ссылаться .по моему опыту лет с 3,5 можно уже договориться с ребенком ( ну в большинстве случаев) и полечить как положено ,и канал если надо запломбировать и пломбу нормальную композитную поставить .А тех кто меньше или не идет на контакт отправляю в другую клинику , где есть закись и наркоз .Полечить "как - нибудь "не бывает это или нормально( как выше написала ) или никак в моих условиях . Изменено 9 августа, 2015 пользователем CRAZYDUCK 3 Ссылка на комментарий
Екатерина Геранина Опубликовано 9 августа, 2015 Поделиться Опубликовано 9 августа, 2015 Я же не один врач на всю клинику, другие врачи работают. Причем тут резорцин! Судя по рекламе говорят хорошее средство, но у меня опыта использования не было. И вообще не использую серебрение. если у вас есть выбор , то лучше серебро не применять -согласна с Оксаной. Вы говорите-другие врачи работают. Вы хоть раз видели абсолютно положительный результат? Я за всю свою практику не видела положительного результата от серебра ни одного раза)) 1 Ссылка на комментарий
CRAZYDUCK Опубликовано 9 августа, 2015 Поделиться Опубликовано 9 августа, 2015 (изменено) Всем привет. Клиника закупила "Сафорайд" для серебрения и прокладки для глубокого кариеса. Кто-нибудь активно пользуется им? Ваши отзывы. И как им пользоваться, инструкции почему то нет(( Спасибо.Я как-то читала старые темы этого форума (ну очень старые ), один доктор эмигрировал в Израиль и посеребрил там ребенку передние зубы , так родители на него в суд подали , типа психологическая травма у ребенка полутора годовалого после серебрения , Это я к тому , что прогрессивное человечество старается придумывает что-то новое и более эффективное. Дерзайте , все в Ваших руках ☺!!!! Изменено 9 августа, 2015 пользователем CRAZYDUCK 1 Ссылка на комментарий
Екатерина Геранина Опубликовано 9 августа, 2015 Поделиться Опубликовано 9 августа, 2015 Я как-то читала старые темы этого форума (ну очень старые ), один доктор эмигрировал в Израиль и посеребрил там ребенку передние зубы , так родители на него в суд подали , типа психологическая травма у ребенка полутора годовалого после серебрения , Это я к тому , что прогрессивное человечество старается придумывает что-то новое и более эффективное. Дерзайте , все в Ваших руках ☺!!!! Ух ты! Интересный факт. Я бы тоже так сделала на их месте! Ссылка на комментарий
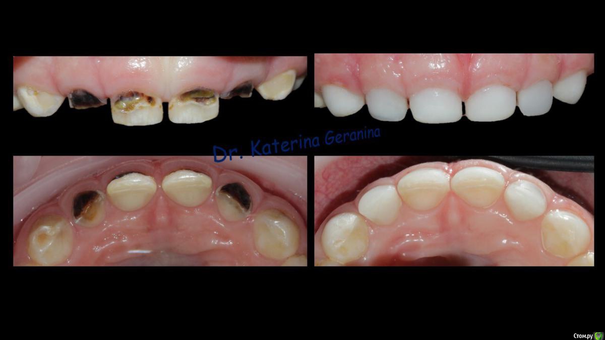
Екатерина Геранина Опубликовано 10 августа, 2015 Поделиться Опубликовано 10 августа, 2015 Это о том, к чему приводит серебрение... 5 Ссылка на комментарий
Рекомендуемые сообщения
Для публикации сообщений создайте учётную запись или авторизуйтесь
Вы должны быть пользователем, чтобы оставить комментарий
Создать аккаунт
Зарегистрируйте новый аккаунт в нашем сообществе. Это очень просто!
Регистрация нового пользователяВойти
Уже есть аккаунт? Войти в систему.
Войти