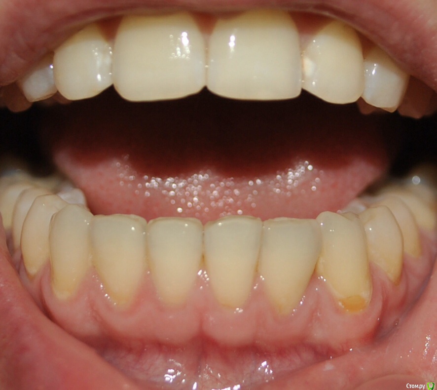
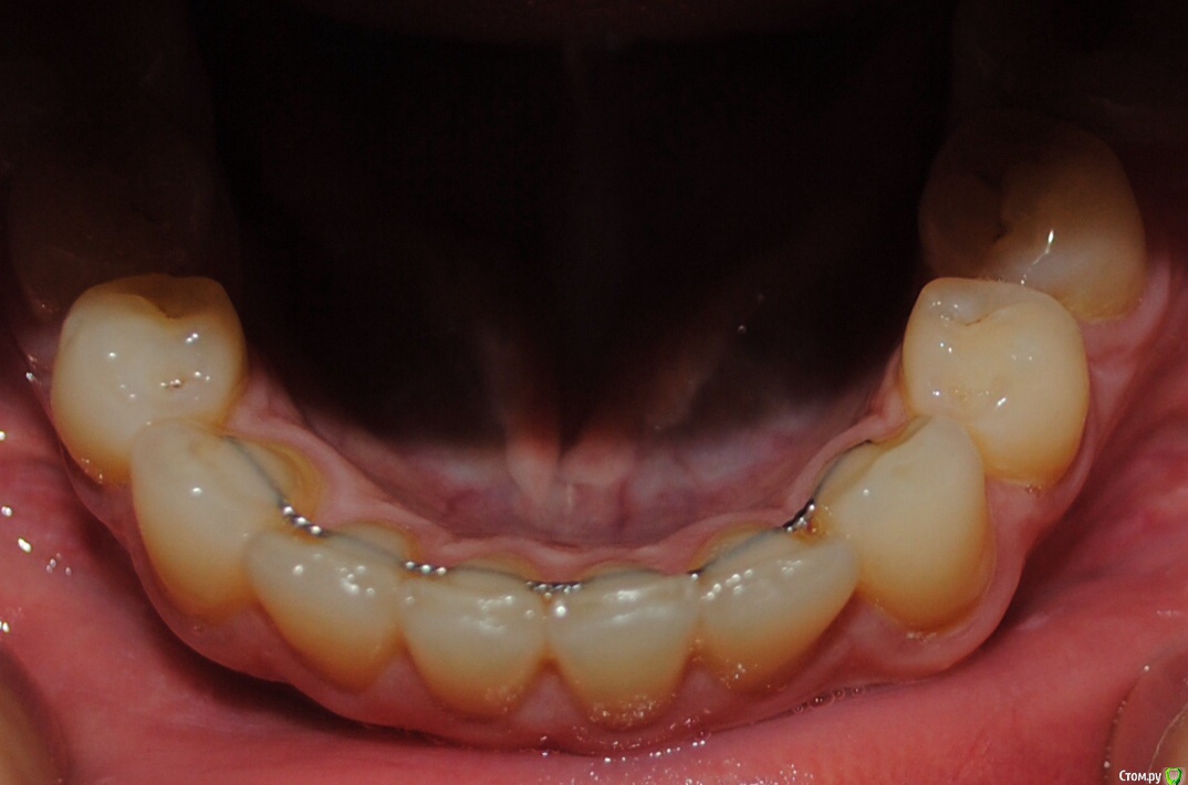
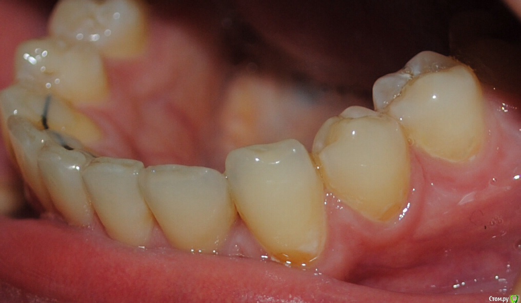
Алина-малина Опубликовано 4 августа, 2015 Поделиться Опубликовано 4 августа, 2015 Здравствуйте, уважаемые специалисты! Подскажите пожалуйста, как можно исправить эту ситуацию? Можно ли обойтись без брекетов? После ношения брекетов стал наклоняться клык вовнутрь. Стоит несемный ретейнер. Ортодонт утверждает что все в порядке и надо делать лоскутную операцию(( Ссылка на комментарий
Алина-малина Опубликовано 4 августа, 2015 Автор Поделиться Опубликовано 4 августа, 2015 Буду очень благодарна всем за ответы! Заранее спасибо Ссылка на комментарий
Yana guapa Опубликовано 4 августа, 2015 Поделиться Опубликовано 4 августа, 2015 Подскажите пожалуйста, как можно исправить эту ситуацию? Можно ли обойтись без брекетов? После ношения брекетов стал наклоняться клык вовнутрь. если клык стал уходить во внутрь - значит что то его туда толкает. как правило, верхний клык (его позиция и наклон). За какой срок произошло изменение после снятие брекетов? Если реально беспокоит - то повторное ношение брекетов с правильным конечным взаимоотношением зубов (если это возможно сделать в силу различных факторов ). Ссылка на комментарий
Алина-малина Опубликовано 15 августа, 2015 Автор Поделиться Опубликовано 15 августа, 2015 Спасибо что ответили. Клык стал уходить через пол года после снятия. Брекеты носила 8 месяцев. Неужели теперь снова брекеты??? Возможно ли хотя бы на одну челюсть? Ссылка на комментарий
Yana guapa Опубликовано 15 августа, 2015 Поделиться Опубликовано 15 августа, 2015 Спасибо что ответили. Клык стал уходить через пол года после снятия. Брекеты носила 8 месяцев. Неужели теперь снова брекеты??? Возможно ли хотя бы на одну челюсть?если на одну челюсть - то и исправится на одной. логично же. а если у Вас на двух челюстях неровно стоят клыки - то на две и ставить надо. чудес не бывает. Вначале выровнять верхнюю, и тогда появится возможность выровнять нижнюю челюсть Ссылка на комментарий
Рекомендуемые сообщения
Для публикации сообщений создайте учётную запись или авторизуйтесь
Вы должны быть пользователем, чтобы оставить комментарий
Создать аккаунт
Зарегистрируйте новый аккаунт в нашем сообществе. Это очень просто!
Регистрация нового пользователяВойти
Уже есть аккаунт? Войти в систему.
Войти