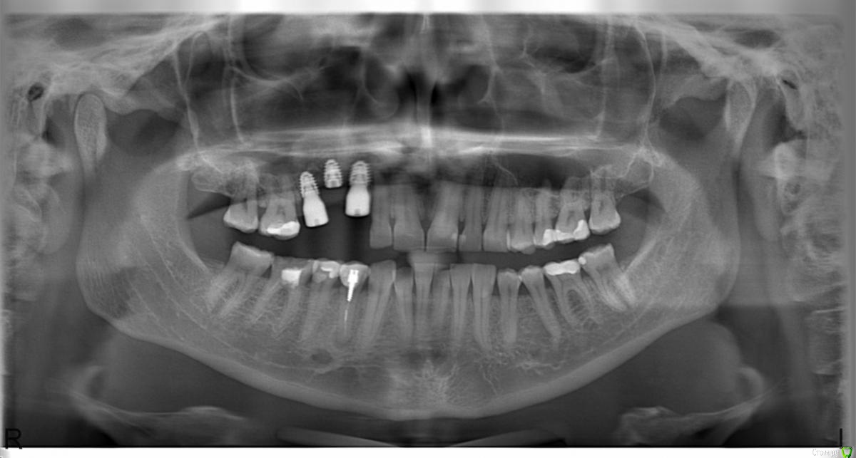
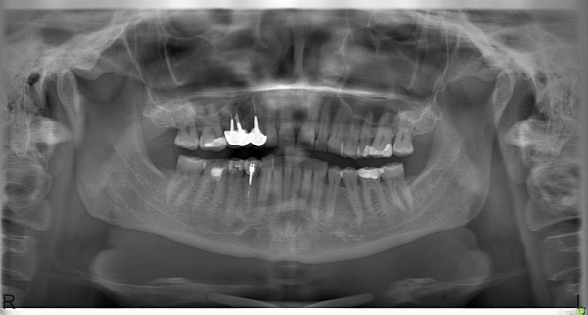
Lollipop Опубликовано 2 августа, 2015 Поделиться Опубликовано 2 августа, 2015 Уважаемые господа-хирурги!Большая просьба оценить результаты имплантации. По словам хирурга - все отлично, расстояние между коронками хорошее, с десневыми сосочками проблем быть не должно, по словам ортопеда - розовая керамика и отсутствие эстетики в связи с недостаточным горизонтальным расстоянием. В настоящий момент сосочки между формирователями абсолютно отсутствуют, десна имеет выгнутую кверху дугообразную форму. Кто прав - хирург или ортопед? Можно ли исправить ситуацию с десной подсадкой ССТ и какие перспективы у дальнейшего протезирования? Смущает так же близость верхушки имплантата и корня зуба 1.2.Заранее огромное спасибо!!!! Ссылка на комментарий
Aquarius Опубликовано 2 августа, 2015 Поделиться Опубликовано 2 августа, 2015 (изменено) Средний имплант, мягко говоря, здесь совсем не нужен) До корня двойки далеко, не волнуйтесь. Изменено 2 августа, 2015 пользователем Aquarius 2 Ссылка на комментарий
AlexanderGudkov Опубликовано 2 августа, 2015 Поделиться Опубликовано 2 августа, 2015 Перспективы протезирования - розовая керамика Ссылка на комментарий
Lollipop Опубликовано 2 августа, 2015 Автор Поделиться Опубликовано 2 августа, 2015 Очень не хочется розовую керамику, есть ли какие нибудь пути выхода из создавшейся ситуации? Ссылка на комментарий
Aquarius Опубликовано 2 августа, 2015 Поделиться Опубликовано 2 августа, 2015 Глушить имплант ( зашивать после выкручивания формирователя) и работать с мягкими тканями плюс временные коронки Ссылка на комментарий
Lollipop Опубликовано 2 августа, 2015 Автор Поделиться Опубликовано 2 августа, 2015 А почему так получилось? Перед имплантацией у меня не было провала в лесок, был нормальный контур и свои корни с коронками? Ссылка на комментарий
Lollipop Опубликовано 2 августа, 2015 Автор Поделиться Опубликовано 2 августа, 2015 В десне, извините Ссылка на комментарий
Aquarius Опубликовано 2 августа, 2015 Поделиться Опубликовано 2 августа, 2015 Трудно сказать Ссылка на комментарий
Lollipop Опубликовано 2 августа, 2015 Автор Поделиться Опубликовано 2 августа, 2015 У меня недостаточный объем костной ткани в области 4.1 и работать с мягкими тканями бесполезно? Ссылка на комментарий
Aquarius Опубликовано 2 августа, 2015 Поделиться Опубликовано 2 августа, 2015 Ситуация непроста,я если не сложно,опишите,что предшествовало имплантации. как давно эта область без зубов и т.д. Ссылка на комментарий
Aquarius Опубликовано 2 августа, 2015 Поделиться Опубликовано 2 августа, 2015 Если быть совсе прямолинейным,то ситуация очень и очень не простая Ссылка на комментарий
Lollipop Опубликовано 2 августа, 2015 Автор Поделиться Опубликовано 2 августа, 2015 Большое спасибо Вам за ответы. Ситуации предшествовало следующее - у меня был МК мост на 3 единицы, были свои корни. Мне захотелось отдельные коронки на ДЦ, ситуация с корнями правда тоже была непростая, было решено все удалить и имплантировать. Ссылка на комментарий
Aquarius Опубликовано 2 августа, 2015 Поделиться Опубликовано 2 августа, 2015 Справа был синус-лифтинг? вроде еще корешок пятерки виднеется?? Ссылка на комментарий
Aquarius Опубликовано 2 августа, 2015 Поделиться Опубликовано 2 августа, 2015 Как к Вам можно обращаться? Ссылка на комментарий
Lollipop Опубликовано 2 августа, 2015 Автор Поделиться Опубликовано 2 августа, 2015 Был закрытый синус-лифтинг, изначально были корни зубов 1.3 1.4 и 1.5. Меня зовут Елена. Ссылка на комментарий
Aquarius Опубликовано 2 августа, 2015 Поделиться Опубликовано 2 августа, 2015 Елена,в первую очередь-сделайте прицельные рентген-снимкм этих трех имплантов. можно и в нейтральной клинике. Во вторых,если есь возможность,сделайте томограмму . Простите за орфографию. Пишу с телефона. Ссылка на комментарий
Lollipop Опубликовано 2 августа, 2015 Автор Поделиться Опубликовано 2 августа, 2015 Сделать и то, и другое? КТ какого размера, какие у Вас предположения? Я очень волнуюсь Ссылка на комментарий
Aquarius Опубликовано 2 августа, 2015 Поделиться Опубликовано 2 августа, 2015 Не волнуйтесь. Глобально Вашему здоровью ничего не угрожает.Сделайте хотя бы прицельные снимки. Многое встанет на свои места. Поверьте Ссылка на комментарий
Lollipop Опубликовано 2 августа, 2015 Автор Поделиться Опубликовано 2 августа, 2015 у меня было 2 костные пластики (одна неудачная) и отторжение имплантата в позиции 1.4 Ссылка на комментарий
Lollipop Опубликовано 2 августа, 2015 Автор Поделиться Опубликовано 2 августа, 2015 Хорошо, завтра обязательно сделаю. Еще раз спасибо! Ссылка на комментарий
Mane Опубликовано 2 августа, 2015 Поделиться Опубликовано 2 августа, 2015 Ситуация из простой перешла в очень сложную. Вам нужно заглушить или удалить средний имплантат. На оставшихся других провести пластику десны. Так как провал просто огромен, скорее всего 2 раза. Так же нужно восполнить убыль десны на зубе 1.2 (боковой резец). Иных вариантов нет. 2 Ссылка на комментарий
Lollipop Опубликовано 2 августа, 2015 Автор Поделиться Опубликовано 2 августа, 2015 Я в шоке... Из-за чего провал? Я просто морально не смогу сесть в кресло к своему имплантологу, что мне делать????!!!! Ссылка на комментарий
Рекомендуемые сообщения
Для публикации сообщений создайте учётную запись или авторизуйтесь
Вы должны быть пользователем, чтобы оставить комментарий
Создать аккаунт
Зарегистрируйте новый аккаунт в нашем сообществе. Это очень просто!
Регистрация нового пользователяВойти
Уже есть аккаунт? Войти в систему.
Войти