scarifikator Опубликовано 31 июля, 2015 Поделиться Опубликовано 31 июля, 2015 Бюджетная имакс рутина. 2,5 часа преп, слепки и времянки. 4 часа фиксация. На фото увидел, что левая единичка чуть длиннее. Косяк?http://i1283.photobucket.com/albums/a554/Scarifikator/Mazul/01q_zps4p1f2hsa.jpghttp://i1283.photobucket.com/albums/a554/Scarifikator/Mazul/02q_zps68v2zsjr.jpghttp://i1283.photobucket.com/albums/a554/Scarifikator/Mazul/03q_zpsrguw5flh.jpghttp://i1283.photobucket.com/albums/a554/Scarifikator/Mazul/04q_zpsoyj0z8hz.jpghttp://i1283.photobucket.com/albums/a554/Scarifikator/Mazul/05q_zpsuxf9b3rt.jpghttp://i1283.photobucket.com/albums/a554/Scarifikator/Mazul/06q_zpszdy70tdo.jpghttp://i1283.photobucket.com/albums/a554/Scarifikator/Mazul/07q_zpsfg0pzupk.jpghttp://i1283.photobucket.com/albums/a554/Scarifikator/Mazul/08q_zpspxg5roy1.jpghttp://i1283.photobucket.com/albums/a554/Scarifikator/Mazul/09q_zpsf1skh7eb.jpghttp://i1283.photobucket.com/albums/a554/Scarifikator/Mazul/010q_zpsg0pk1puu.jpghttp://i1283.photobucket.com/albums/a554/Scarifikator/Mazul/011q_zpsb0veetxn.jpghttp://i1283.photobucket.com/albums/a554/Scarifikator/Mazul/012q_zpsycq4hk0c.jpg 16 Ссылка на комментарий
anvladd Опубликовано 31 июля, 2015 Поделиться Опубликовано 31 июля, 2015 Немного шлифануть материал позволяет? Никогда не работал с емаx. Ссылка на комментарий
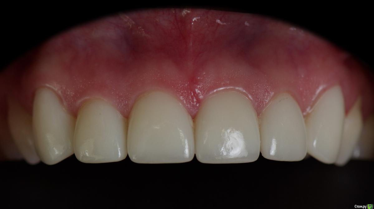
Bratok Опубликовано 1 августа, 2015 Поделиться Опубликовано 1 августа, 2015 На мой взгляд преп хороший, а вод технику нехватило креативности..текстуры эмали нет. Где мамелоны? Где рельеф? Где глубина? Ссылка на комментарий
Bobby Опубликовано 1 августа, 2015 Поделиться Опубликовано 1 августа, 2015 Доктор большой молодец и фотографа нанял профессионального, а на технике сэкономил. Ссылка на комментарий
Aquarius Опубликовано 1 августа, 2015 Поделиться Опубликовано 1 августа, 2015 Красиво! И модный нынче недосвет присутствует)) 1 Ссылка на комментарий
scarifikator Опубликовано 1 августа, 2015 Автор Поделиться Опубликовано 1 августа, 2015 На мой взгляд преп хороший, а вод технику нехватило креативности..текстуры эмали нет. Где мамелоны? Где рельеф? Где глубина?Не креативный нынче техник пошел, хоть самому креативь, но боюсь еще хуже получится ) Ссылка на комментарий
scarifikator Опубликовано 1 августа, 2015 Автор Поделиться Опубликовано 1 августа, 2015 Доктор большой молодец и фотографа нанял профессионального, а на технике сэкономил.Нет денег ни на фотографа ни на техника, работаю бюджетно, но свою работу стараюсь делать максимально, протоколы работы от креативности техника не зависят. Техник вмонтирован в контору где я работаю и размонтировать его не реально ) Ну вот любит он чтоб все было гладенько без понтов, такой техник-примитивист. 2 Ссылка на комментарий
scarifikator Опубликовано 1 августа, 2015 Автор Поделиться Опубликовано 1 августа, 2015 Красиво! И модный нынче недосвет присутствует))Спасибо Ссылка на комментарий
carloss Опубликовано 1 августа, 2015 Поделиться Опубликовано 1 августа, 2015 реж край(да и не только) я часто сам дорабатываю.. спокойно можно пилить -шлифовать во рту 1 Ссылка на комментарий
scarifikator Опубликовано 1 августа, 2015 Автор Поделиться Опубликовано 1 августа, 2015 реж край(да и не только) я часто сам дорабатываю.. спокойно можно пилить -шлифовать во ртуЧем потом полируете? Ссылка на комментарий
DR.P Опубликовано 1 августа, 2015 Поделиться Опубликовано 1 августа, 2015 Отличная работа! Аккуратное препарирование, все по фэн шую. Вопрос: два последних фото с пост обработкой? Ссылка на комментарий
an_ver Опубликовано 1 августа, 2015 Поделиться Опубликовано 1 августа, 2015 (изменено) Хорошо все,не парься.На свой фотик? В конце августа заскочу на мастер класс к тебе. Культи песочил? На что фиксировал? Времяхи Люксатемп? Сколько во рту жили? Изменено 1 августа, 2015 пользователем an_ver Ссылка на комментарий
carloss Опубликовано 1 августа, 2015 Поделиться Опубликовано 1 августа, 2015 реж край(да и не только) я часто сам дорабатываю.. спокойно можно пилить -шлифовать во рту резинки на прямом.. серые .. с крошкой.. потом без.. пробуйте разные, я не сразу нашел Ссылка на комментарий
scarifikator Опубликовано 1 августа, 2015 Автор Поделиться Опубликовано 1 августа, 2015 Отличная работа! Аккуратное препарирование, все по фэн шую. Вопрос: два последних фото с пост обработкой?Спасибо. Немного контраста подкрутил. Ссылка на комментарий
scarifikator Опубликовано 1 августа, 2015 Автор Поделиться Опубликовано 1 августа, 2015 Хорошо все,не парься.На свой фотик? В конце августа заскочу на мастер класс к тебе. Культи песочил? На что фиксировал? Времяхи Люксатемп? Сколько во рту жили?На рабочий. К своему еще стекло не прикупил. Песочил 27мк, оптибонд фл+ вариолинк2. Времяхи структур, срок 2е недели. Ссылка на комментарий
scarifikator Опубликовано 1 августа, 2015 Автор Поделиться Опубликовано 1 августа, 2015 резинки на прямом.. серые .. с крошкой.. потом без.. пробуйте разные, я не сразу нашелОк. Спасибо. Ссылка на комментарий
Doc.IQ Опубликовано 1 августа, 2015 Поделиться Опубликовано 1 августа, 2015 Врачебная часть очень хороша,чего нельзя сказать о технической части...преп с увеличением?я бы в данном случае ничего не корректировал..если бы это сильно бросалось в глаза,то да,а так не вижу смысла..после корректировки реставрации в п/рта,сначало полирую резинкой,а после пуховой щеткой и пастой,которую используют техники для полировки керамики.. Ссылка на комментарий
Евгений Ходыкин Опубликовано 1 августа, 2015 Поделиться Опубликовано 1 августа, 2015 Док, в какое увеличение препарировали? Ссылка на комментарий
scarifikator Опубликовано 1 августа, 2015 Автор Поделиться Опубликовано 1 августа, 2015 Бинокуляры 3х кратные Ссылка на комментарий
Евгений Ходыкин Опубликовано 1 августа, 2015 Поделиться Опубликовано 1 августа, 2015 Бинокуляры 3х кратныеДля бино оч круто. Решил сперва, что скоп) Ссылка на комментарий
scarifikator Опубликовано 6 августа, 2015 Автор Поделиться Опубликовано 6 августа, 2015 Неделя после фиксации. Пациентку все устраивает, просила ни чего не трогать. 6 Ссылка на комментарий
conrem Опубликовано 8 августа, 2015 Поделиться Опубликовано 8 августа, 2015 Тут только техник бюджетный!Супер Ссылка на комментарий
M@estro Опубликовано 9 августа, 2015 Поделиться Опубликовано 9 августа, 2015 Очень! Ссылка на комментарий
scarifikator Опубликовано 9 августа, 2015 Автор Поделиться Опубликовано 9 августа, 2015 Спасибо Ссылка на комментарий
Рекомендуемые сообщения
Для публикации сообщений создайте учётную запись или авторизуйтесь
Вы должны быть пользователем, чтобы оставить комментарий
Создать аккаунт
Зарегистрируйте новый аккаунт в нашем сообществе. Это очень просто!
Регистрация нового пользователяВойти
Уже есть аккаунт? Войти в систему.
Войти