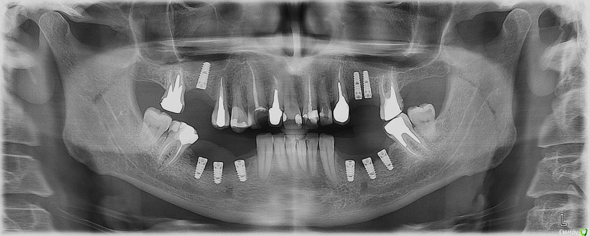
rezo47 Опубликовано 28 июля, 2015 Поделиться Опубликовано 28 июля, 2015 Добрый день коллеги! Обратился пациент на этап протезирования, имплантаты поставлены год назад в нашей клинике. Врач пациенту сказал появиться через 6 мес. но пациент не пришел, сам врач этот уже не работает. Мукозит появился около 3 мес. назад, боли нет. Отправил на ОПГ, кости нет, причем слева тоже невсе ок, но об этом позже. А пока демаю что с этим всем делать. План мой таков:- иссечь в пределах здоровых тканей;- удалить имплантаты 46;45;- контроль через 2 мес. Выслушаю любые предложения Ссылка на комментарий
Доктор Добрых Дел Опубликовано 28 июля, 2015 Поделиться Опубликовано 28 июля, 2015 (изменено) Если вести речь об удалении имплантатов, то тогда всех трёх, так как не вижу особой разницы по состоянию костной ткани между, например, 44 и 45. К тому же позиции имплантатов далеки от идеальных. На счёт иссечения согласен, на счёт удаления - может быть есть смысл сначала сделать КТ .На ОТПГ вроде язычная стенка прослеживается, может быть удастся сохранить Изменено 28 июля, 2015 пользователем Доктор Добрых Дел Ссылка на комментарий
kriokov Опубликовано 28 июля, 2015 Поделиться Опубликовано 28 июля, 2015 Справа 3 убирать надо. Как рану потом вести подумать надо. Может раскрыться линейно,выкрутить болты, убрать только грануляции с кости, потом иссечь мягкие до живых и под тампоном вести? Пац повторную имплант планирует? Представляет что за дефект будет? Язычная останется только у 44 Ссылка на комментарий
АнтонТЛТ Опубликовано 28 июля, 2015 Поделиться Опубликовано 28 июля, 2015 Слева тоже бы убрал. Справа мягкие ткани бы нее иссекал, само всё должно восстановиться после удаления имплантатов Ссылка на комментарий
Acidrocker Опубликовано 29 июля, 2015 Поделиться Опубликовано 29 июля, 2015 В чем может быть причина? Ссылка на комментарий
faity Опубликовано 29 июля, 2015 Поделиться Опубликовано 29 июля, 2015 В чем может быть причина?кандидоз полости рта, слюна под швы попала, может травма была, а может он наркоман и в дёсна долбится. гистологию делать надо для определения причины 1 Ссылка на комментарий
Рекомендуемые сообщения
Для публикации сообщений создайте учётную запись или авторизуйтесь
Вы должны быть пользователем, чтобы оставить комментарий
Создать аккаунт
Зарегистрируйте новый аккаунт в нашем сообществе. Это очень просто!
Регистрация нового пользователяВойти
Уже есть аккаунт? Войти в систему.
Войти