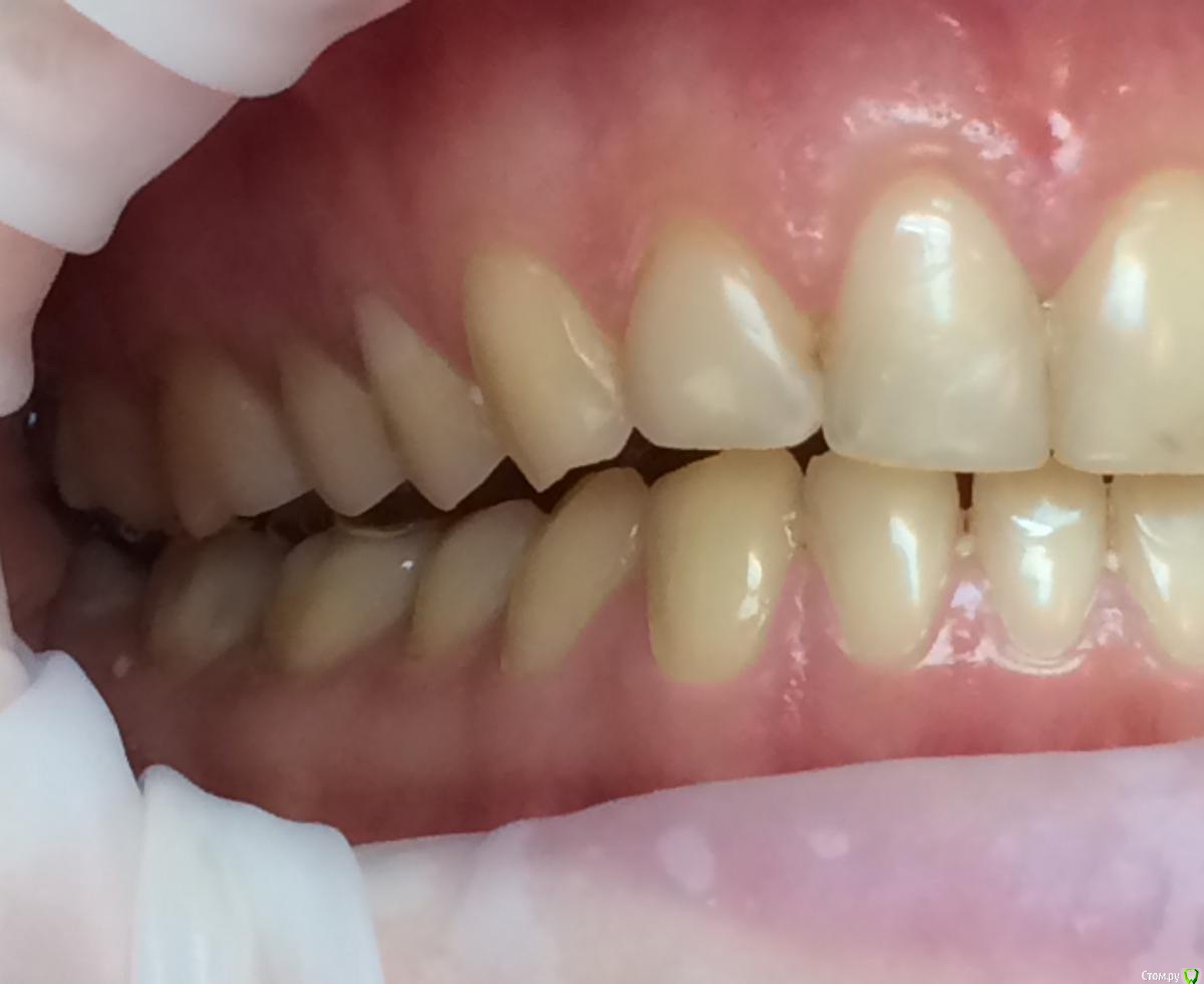
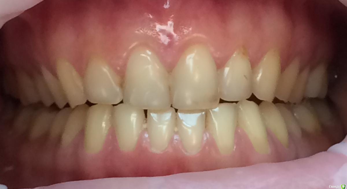
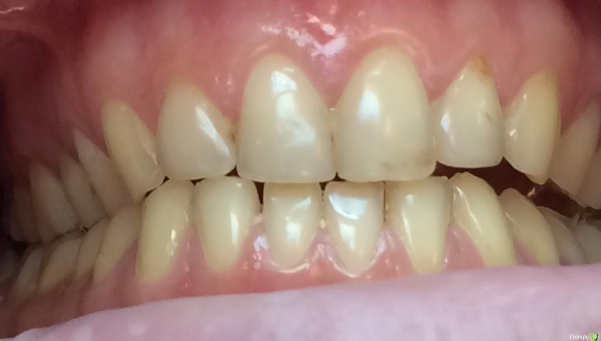
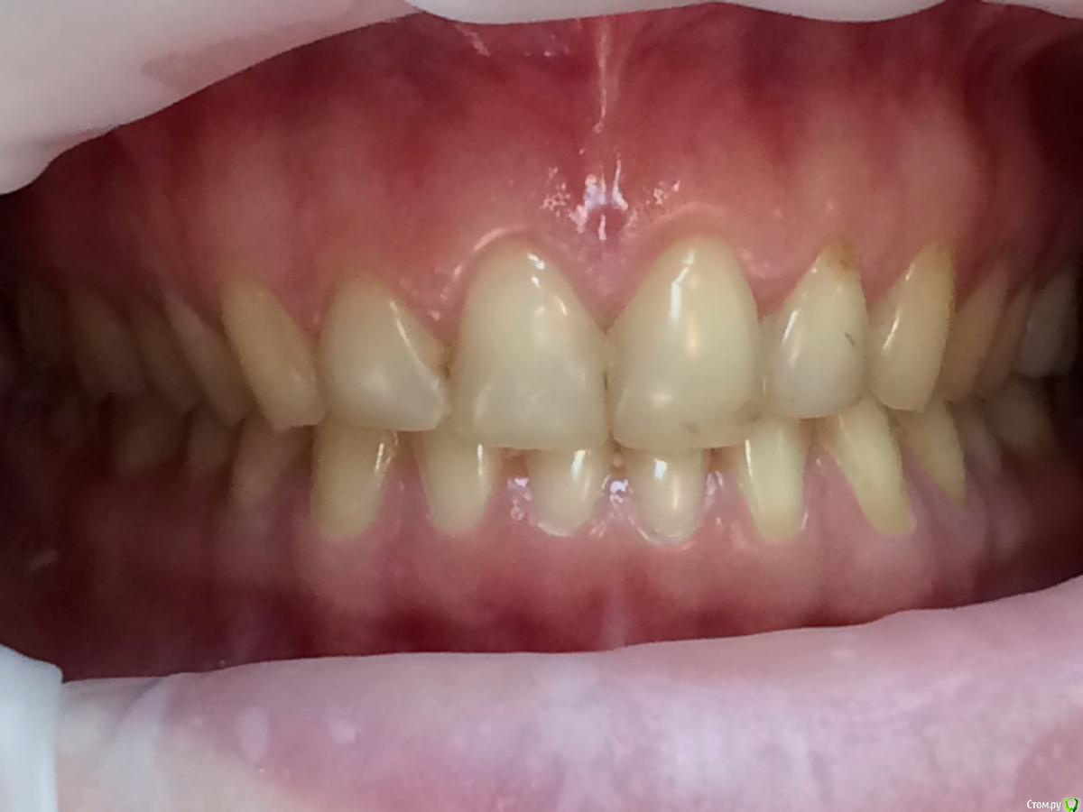
Larnary Опубликовано 28 июля, 2015 Поделиться Опубликовано 28 июля, 2015 (изменено) Добрый день!Ко мне обратилась пациент 1988 гр с жалобой на стираемость зубов и постоянные сколы пломб.Объективно небная поверхность верхних резцов стерта до дентина. Окклюзионная стираемость жевательной группы зубов.Прошу помочь с выявлением причины такой стираемости зубов и оптимальноно метода лечения Изменено 28 июля, 2015 пользователем Larnary Ссылка на комментарий
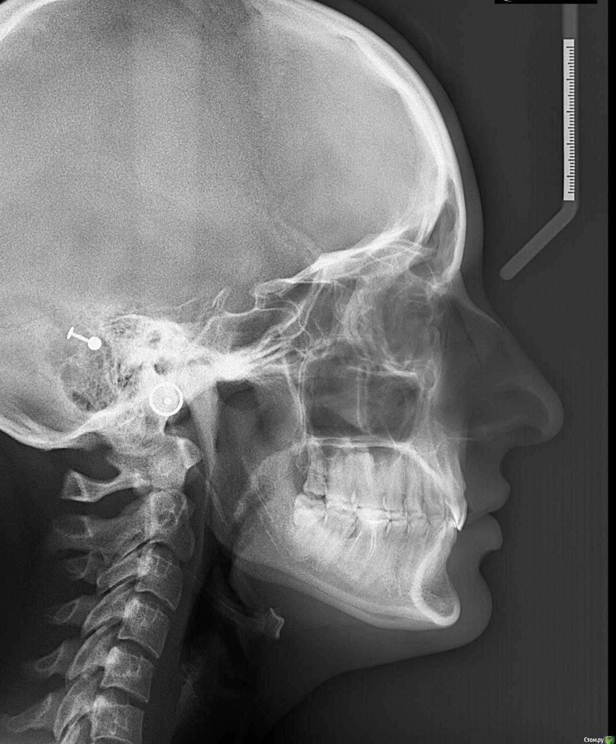
Larnary Опубликовано 28 июля, 2015 Автор Поделиться Опубликовано 28 июля, 2015 (изменено) Видно окклюзионнык интерференции в области 37 и 47.На днях удален 38 и дальше будут удалены остальные восьмерки. На ТРГ мне видится небольшая ретрузия верхних резцов,дистальный прикус. Так же левпя окклюзионная кривая более выраженная,чем правая Изменено 28 июля, 2015 пользователем Larnary 1 Ссылка на комментарий
PLAY Опубликовано 28 июля, 2015 Поделиться Опубликовано 28 июля, 2015 Загипсовано в центральном соотношении? Ссылка на комментарий
Larnary Опубликовано 28 июля, 2015 Автор Поделиться Опубликовано 28 июля, 2015 (изменено) в центральной окклюзии Изменено 28 июля, 2015 пользователем Larnary Ссылка на комментарий
Skip Опубликовано 29 июля, 2015 Поделиться Опубликовано 29 июля, 2015 На ТРГ мне видится небольшая ретрузия верхних резцов,дистальный прикус. Так же левпя окклюзионная кривая более выраженная,чем правая Доброе утро! Если отталкиваться от анализа ТРГ, то там нет выраженного дистального прикуса, хотя какие-то 0,2 мм. присутствуют, но это ерунда. Скелетное соотношение челюстей Класс I, но есть другая проблема, которая на скриншоте ниже обведена красным: http://i10.pixs.ru/storage/5/2/2/65456789jp_9935083_18202522.jpg Skeletal Deep bite или Скелетный глубокий прикус. Заметьте, не Зубной глубокий прикус, а именно Скелетный и это будет работать в Вашу пользу при планировании лечения. Если встречается комбинация глубокого Зубного и Скелетного, то эти случаи сложнее открыть. http://i11.pixs.ru/storage/5/3/1/0987645678_6395482_18202531.jpg В отношении верхних резцов, то всё правильно Вы отметили, они действительно в ретрузии (-4 мм.) и угол их инклинации уменьшен, как собственно и угол инклинации нижних резцов, а другими словами, мы имеем соотношение резцов 2-го подкласса. Это обстоятельство служит достаточно высоким риском развития внутрикапсулярных проблем ВНЧС. В вашем случае, интуиция мне как-то подсказывает, что там вероятно существует гипермобильность, но могу и ошибаться. Резцы 2-го подкласса могут объяснить и стриаемость этих зубов, учитывая, как Вы наверное знаете, дисгармонию между углом суставного пути и угла инклинации резцов Но вот ещё одно обстоятельство, на которое хотелось бы обратить внимание и которое нужно отметить в Вашем проблемном списке. Опять же, исходя из анализа ТРГ. Из этого анализа следует, что верхняя челюсть длинная и расположена в ретропозиции. Вы это никак уже не измените, но как при этом будет вести себя нижняя челюсть? Из собственной практики, я заметил, что нижняя челюсть, при этих обстоятельствах, частенько позиционируется кпереди в центральной окклюзии, обеспечивая, тем самым, нормализацию такой жизненно важной функции, как дыхание. И если Вы проведёте, к примеру, нейромышечную регистрацию физиологического положения нижней челюсти, а иными словами регистрацию прикуса, то вполне сможете обнаружить, что нижняя челюсть окажется в ретроположении. И получаем, в итоге, такой недоделанный природой Класс II, так ведь..? Это как раз то, когда повышая прикус, мы, впоследствии, сталкиваемся с проблемой т.н. двойного прикуса. Может нижняя челюсть и сметала всё мешающее ей на своём пути, когда постоянно стремилась находиться кпереди..? Кстати, при 2-ом классе нижняя челюсть практически всегда любит находится чуть кпереди, но это так, для кругозора... Есть ещё одно обстоятельство, которое может наносить сокрушительный удар по твёрдым структурам зубов. Оговорюсь сразу, что я не сторонник разных там теорий, так или иначе связанных с психикой, стрессом и так далее. В связи с этим у меня к Вам вопрос. Вы проводили монтаж моделей в артикуляторе с лицевой дугой или по средним значениям? Если с лицевой дугой, то хотелось бы взглянуть, как там модель верхней челюсти расположена в пространстве артикулятора. Нет ли там бокового смещения модели от центра верхней рамы..? То, что с левой стороны окклюзионная кривая глубже, то это носит адаптационной характер, связанный с левым суставом, поэтому нужно провести мониторинг ВНЧС, на предмет внутрикапсулярных расстройств этого сочленения (объём вертикальных и горизонтальных движений ROM). На ТРГ, кстати, можно заметить, как раздваивается нижний край тела нижней челюсти и это неспроста. 3 Ссылка на комментарий
Larnary Опубликовано 29 июля, 2015 Автор Поделиться Опубликовано 29 июля, 2015 (изменено) Спасибо огромное за ответ! Модели регистрировал по средним значениям для первичногр анализа. В следуюший прием на следующей неделе буду уже с лицевой дугой регистрировать.А в какой программе Вы делали расчет ТРГ? Изменено 29 июля, 2015 пользователем Larnary Ссылка на комментарий
Bobby Опубликовано 29 июля, 2015 Поделиться Опубликовано 29 июля, 2015 Фасетки стираемости на нёбных поверхностях верхних резцов и вестибулярных поверхностях нижних резцов обусловлены малым оверджетом - недостаточная щель по саггитали, поэтому и будут колоться реставрации, а ткани зубов истираться. Фрадеани про это на своём курсе рассказывал и показывал видео как это диагносцировать и что с этим делать. Что вообще хочет пациентка и на что готова? Эти вопросы лучше сразу решать на первичной консультации, а то делаете диагностики, всё рассчитываете, распинаетесь, а они потом: "ой, я пока не готов/а к такому плану лечения" и всё заканчивается композитной мазнёй в другой клинике. 5 Ссылка на комментарий
zzkz Опубликовано 29 июля, 2015 Поделиться Опубликовано 29 июля, 2015 Фасетки стираемости на нёбных поверхностях верхних резцов и вестибулярных поверхностях нижних резцов обусловлены малым оверджетом - недостаточная щель по саггитали, поэтому и будут колоться реставрации, а ткани зубов истираться. Фрадеани про это на своём курсе рассказывал и показывал видео как это диагносцировать и что с этим делать. Что вообще хочет пациентка и на что готова? Эти вопросы лучше сразу решать на первичной консультации, а то делаете диагностики, всё рассчитываете, распинаетесь, а они потом: "ой, я пока не готов/а к такому плану лечения" и всё заканчивается композитной мазнёй в другой клинике. Коис об этом тоже говорил Ссылка на комментарий
Skip Опубликовано 29 июля, 2015 Поделиться Опубликовано 29 июля, 2015 А в какой программе Вы делали расчет ТРГ? AudaxCeph. Сам анализ называется Sassouni Plus. 1 Ссылка на комментарий
Bobby Опубликовано 29 июля, 2015 Поделиться Опубликовано 29 июля, 2015 Коис об этом тоже говорил Да да и Коис. Фрадеани в том же концепте работает. Ссылка на комментарий
zzkz Опубликовано 29 июля, 2015 Поделиться Опубликовано 29 июля, 2015 Со слов Коиса понял, что в данном случае было бы достаточно создать достаточное функциональное пространство для резцов нижней челюсти, путем брекетов например, вывести передние резцы в/ч в протрузию Ссылка на комментарий
Larnary Опубликовано 29 июля, 2015 Автор Поделиться Опубликовано 29 июля, 2015 Спасибо всем огромное! Ссылка на комментарий
Bobby Опубликовано 29 июля, 2015 Поделиться Опубликовано 29 июля, 2015 Со слов Коиса понял, что в данном случае было бы достаточно создать достаточное функциональное пространство для резцов нижней челюсти, путем брекетов например, вывести передние резцы в/ч в протрузиюИменно! А иногда это пространство можно создать за счёт легкого изменения угла коронковой части зубов (за счёт керамических рестарваций - если к ним есть показания, а в данном случае они как раз есть). Ссылка на комментарий
Skip Опубликовано 3 августа, 2015 Поделиться Опубликовано 3 августа, 2015 Со слов Коиса понял, что в данном случае было бы достаточно создать достаточное функциональное пространство для резцов нижней челюсти, путем брекетов например, вывести передние резцы в/ч в протрузию Не самое лучшее решение при глубоком прикусе. Довольно часто приходится видеть, как попытки решения проблем глубокого прикуса терпят неудачу из-за непонимания принципов передней направляющей. Первое, с чем Вы здесь сразу можете столкнуться, когда будете "выводить резцы в/ч в протрузию", показано на рисунке ниже: http://i11.pixs.ru/storage/4/5/6/09765ukeng_6235790_18261456.jpg Верхние резцы будут наталкиваться на нижнюю губу, из-за чего могут возникнуть проблемы с фонетикой, да и эстетически ничего хорошего. Мало того, полученный результат будет крайне нестабилен вследствие нарушенного нейромышечного равновесия нейтральной зоны, об этом можно почитать у Доусона. Поэтому грамотные ортодонты, зная об этом, проводят не вестибулярный наклон, а интрузию верхних и нижних резцов. Да и говоря в общем, проблема стираемости, при глубоком прикусе, обусловлена не "малым оверджетом", как выразился Александр. Основная проблема состоит в том, что при отсутствии устойчивых удерживающих контактов нижних резцов с верхними в ЦС, происходит их зубоальвеолярная экструзия. Глубокие прикусы, если там решена проблема этих удерживающих контактов на нёбной поверхности коронок верхних резцов , будет среди самых устойчивых видов окклюзии, т.к. с disclusion в боковых отделах здесь почти не бывает проблем. С интерференциями в задних отделах нужно тоже разобраться и делать это нужно в ЦС, перенеся модели в артикулятор с лицевой дугой. На видео можно проследить, к эти интерференции могут стать причиной стираемости передних резцов. http://www.youtube.com/watch?v=2wRffJl82dc http://www.youtube.com/watch?v=My3K-B78iLg 1 Ссылка на комментарий
Larnary Опубликовано 3 августа, 2015 Автор Поделиться Опубликовано 3 августа, 2015 (изменено) Skip, восхищаюсь Вашими знаниями! Обязательно к Вам приеду на следующий семинар!По теме,нашел по рекомендации хорошего гнатолога. Сейчас утверждаем совместный план лечения. Планируются сплинты+ Брекеты. Протезирование тотал wax up,mock up. Пластмассовые Cad/Cam времянки. Заключительный этам Emax.Какой в данной ситуации межрезцовый угол возможно создать для устранения дисгармонии с углом суставного пути? Изменено 3 августа, 2015 пользователем Larnary 1 Ссылка на комментарий
Maverick Опубликовано 9 августа, 2015 Поделиться Опубликовано 9 августа, 2015 (изменено) Думаю в данном кейсе интрузия резцов будет нежелательна, десневые контуры фронтальной группы зубов выглядят хорошо, ровно, нет разницы в высоте(если конечно не были внесены изменения в контур десны, типа пластик) . И тут не дентальный глубокий прикус, а скелетный, как было отмечено выше. Еще один негативный момент в интрузии, который играет важную роль , так это искусственное состаривание пациента, верхняя губа имеет свойство опускаться со временем, что только ухудшит картину эстетики улыбки. Экспозиция резцов очень важный критерий в планировании лечения, тут надо отталкиваться от возраста пациента. Думаю у данного пациента, учитывая возраст, позицию фронтальных зубов , уровень десны идеально будет завысить прикус в боковом отделе и вывести в небольшой вестибулярный наклон фронт на брекетах, либо как упоминалось выше за счет изменение наклона коронковой части, путем керамических реставраций, что удобнее для пациента в плане финансовых и временных затрат. P.S. Такое ощущение , что есть определенные проблемы с клыковым ведением, поэтому и интерфреннции возникают в боковом отделе. Поэтому хорошо было бы увидеть все в артикуляторе, чтобы уже точно знать причину Угол межрезцовый идеальный 132 градуса плюс минус 10 град. Изменено 9 августа, 2015 пользователем Maverick 2 Ссылка на комментарий
Рекомендуемые сообщения
Для публикации сообщений создайте учётную запись или авторизуйтесь
Вы должны быть пользователем, чтобы оставить комментарий
Создать аккаунт
Зарегистрируйте новый аккаунт в нашем сообществе. Это очень просто!
Регистрация нового пользователяВойти
Уже есть аккаунт? Войти в систему.
Войти