DagArs Опубликовано 28 июля, 2015 Поделиться Опубликовано 28 июля, 2015 Фото к сожалению только с телефона первая примерка такой получился окончательный результат. Он меня не устраивает переделал бы с удовольствием не могу понять в чем проблемаФиксировал на maxcem Ссылка на комментарий
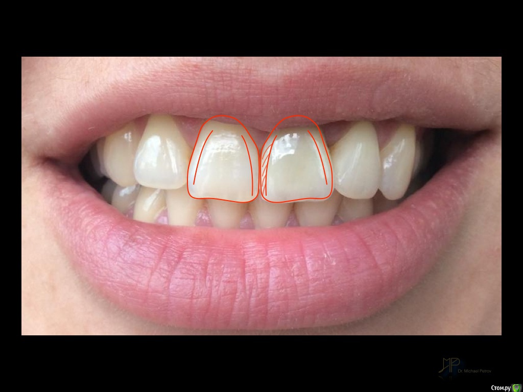
DR.P Опубликовано 28 июля, 2015 Поделиться Опубликовано 28 июля, 2015 (изменено) Мне кажется здесь причина в форме 2.1, а именно больше всего бросается в глаза медиальный валик, зуб кажется что в протрузии из-за этого. Когда делается 1 реставрация, нужно максимально продублировать симметричный зуб, даже с имеющейся неидиальной анотомией. С цветом и яркостью тут порядокВопрос по препарированию: здесь был ретритмент с заменой старой коронки?Спасибо за кейс! Изменено 28 июля, 2015 пользователем DR.P Ссылка на комментарий
DagArs Опубликовано 28 июля, 2015 Автор Поделиться Опубликовано 28 июля, 2015 Эту Форму тоже долго добивались. Но мне больше не нравится цвет... Как будто просвечивает культя в середине. Зуб был более половины восстановлен пломбой и имел цвет ближе а4 Ссылка на комментарий
bugel Опубликовано 28 июля, 2015 Поделиться Опубликовано 28 июля, 2015 Как то замаскировать просится Ссылка на комментарий
bugel Опубликовано 28 июля, 2015 Поделиться Опубликовано 28 июля, 2015 Заматировать Ссылка на комментарий
DR.P Опубликовано 28 июля, 2015 Поделиться Опубликовано 28 июля, 2015 Вот то, о чем я говорю Ссылка на комментарий
StomV Опубликовано 29 июля, 2015 Поделиться Опубликовано 29 июля, 2015 (изменено) Про форму я согласен, из за валика кажется зуб выдвинут из дуги, а по цвету, во всяком случае по фото я думаю вполне не плохо)Ну и посмотрите на сосочек, думаю станет все ясно... Изменено 29 июля, 2015 пользователем StomV Ссылка на комментарий
Bobby Опубликовано 29 июля, 2015 Поделиться Опубликовано 29 июля, 2015 Работу врача я бы оценил на 4, зуботехническая часть на тройку. В целом, работа проходная. Ссылка на комментарий
DagArs Опубликовано 29 июля, 2015 Автор Поделиться Опубликовано 29 июля, 2015 (изменено) Работу врача я бы оценил на 4, зуботехническая часть на тройку. В целом, работа проходная. главное что бы шкала была не 10 бальная )) Изменено 29 июля, 2015 пользователем DagArs Ссылка на комментарий
Рекомендуемые сообщения
Для публикации сообщений создайте учётную запись или авторизуйтесь
Вы должны быть пользователем, чтобы оставить комментарий
Создать аккаунт
Зарегистрируйте новый аккаунт в нашем сообществе. Это очень просто!
Регистрация нового пользователяВойти
Уже есть аккаунт? Войти в систему.
Войти