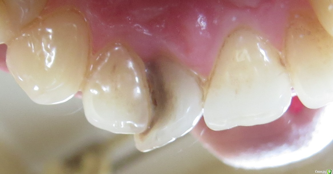
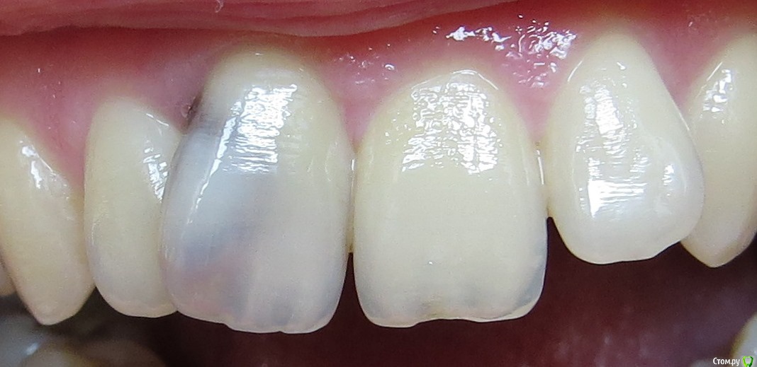
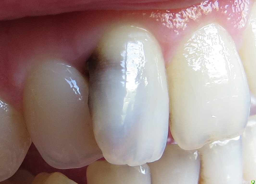
Chew-Nezh Опубликовано 27 июля, 2015 Поделиться Опубликовано 27 июля, 2015 Доброго времени суток, уважаемые специалисты! Пишу с надеждой на не помершую надежду. Заранее прошу прощения за многословие - к сожалению, у меня это не лечится 10-11 лет назад стоматолог сказал о кариозной полости у верхней правой единички. Сколько она там была до этого - неизвестно. Не промбировали.Сейчас выглядит такЗазор между единичкой и двойкой со стороны кариеса есть, то есть "дырка" уже проелась, но соседняя двойка кариесом не затронута.По личным ощущениям моего чувствительного организма - нормальный в единичке нерв, живой и счастливый. В последние пару-тройку лет изредка, раз в полгода или реже даже, бывает, приходит (без видимых причин) некоторое ноющее ощущение на денёк-другой, скорее просто беспокоящее и "неудобное", чем болевое. Потом проходит и всё.В скрытом тексте содержится немного скучных подробностей из будничной жизни моих зубов. Недавно чуть не сломала (показалось мне так) этот зуб об очень твёрдую корку свежего хлеба, даже на пару дней перестала ощущать зуб "своим" (было ощущение некоторой ненадёжности его бытия), но потом прошло. В принципе, этот зуб особо в кусательных операциях у меня и не участвует практически никогда ввиду сильно выраженной кривизны прикуса. Косяк с погрызушками наступает только с яблоками, которые в последнее время ем редко и аккуратно, а чаще в нарезку, а орехи и семечки и подавно никак не попадают на рассматриваемый резец. Чай горячий пью, в принципе, нормально, но и по зубам его не таскаю. Мороженое ем, но реакция на холод, по всей видимости, выражена практически у каждого зуба и в разных местах из-за того, что скорее всего во всех или как минимум во многих зубах у меня трещины в эмали (мне их видно при определённых условиях). Трещины - вероятно, результат экстремального детства с исполнением наказа мамы после мороженого обязательно выпить чаю, а чай, как уже написала, пью горячий х.хПасты для чувствительных зубов и "Гель для укрепления зубов" (не знаю, можно ли здесь написать конкретного производителя) мне никаким образом не помогают ни на какие зубы и совершенно ничего не облегчают - подозреваю, тоже благодаря имеющимся трещинам, а не из-за какой-то гиперчувствительности эмали.Это всё написано для объяснения того, что я не испытываю этим зубом какие-либо ощущения, отличные от ощущений других зубов (без кариозных полостей и вообще здоровых) на холод/горячесть либо набивание оскомин, а если и испытываю - это "обычные" кариозные ощущения из-за проеденной эмали, но никак не ощущающиеся как пульповые. Что в итоге имеем - стоматолог сказал, что "разрушения очень большие", и дал 90% "гарантии" на то, что нерв этого зуба придётся удалять. Я, естественно, против. Ещё стоматолог сказал, что снимок не даст особой информации, поскольку он всё увидит, когда начнёт свирлить. Но ведь и свирлить, пардон, можно по-разному, и у разных стоматологов изначально мировоззрение в сторону возможности сохранения жизни зубам различное - кто-то старается продержать каждый собственный зуб пациента живым и обнадёженным, а кто-то сверлит и удаляет всё, не глядя.Обязательно ли в гипотетическом случае удалять пульпу, если кариозная область контактирует с пульпой или же просто "в опасной близости" от неё располагается, или же можно досвирлить до неё и пломбировать по ней, по живой пульпе? Дальнейшие варианты развития события - эстетическая реставрация или коронка. Как сказал стоматолог, "я всем рекомендую коронки". В этом вопросе я тоже против =) Хотелось бы знать, что существуют ещё варианты с этим зубом - или те же, что дал стоматолог, или иные. Но главный вопрос - возможность сохранения жизни зубу, то есть оставить пульпу, поскольку я, ладно что не вижу, но и не чувствую для этого совершенно никаких оснований на текущий момент.Прикладываю ещё пару не особо информативных фоток на тему того, что кариозные поражения должны быть видны под подсветкой, пусть даже это фонарик обычный =) Всё, что мне удаётся разглядеть - видимую и без фонарика кариозную область, пусть даже несколько уходящую под десну с обратной стороны, но ведь и зуб с обратной стороны намного "короче", чем спереди, и, возможно, не особо видимую по фото "прозрачную" для света область, поскольку поражённые кариесом участки "перегораживают" свет фонарика сверху в совокупности с десной, и может показаться, что кариес всё-таки уходит глубже, но я, как ни пыталась вертеть зеркалом и фонарём в пасти, не увидела ухода кариеса вглубь дальше того, что видно и без подсветки. Помогите, пожалуйста, информацией - кто сколько сможет 1 Ссылка на комментарий
red_butler Опубликовано 27 июля, 2015 Поделиться Опубликовано 27 июля, 2015 депульпировать и протезировать, если еще подождете – потеряете зуб 4 Ссылка на комментарий
molchanoff Опубликовано 27 июля, 2015 Поделиться Опубликовано 27 июля, 2015 по любому удалятьнервесли не зуб 1 Ссылка на комментарий
St. Опубликовано 27 июля, 2015 Поделиться Опубликовано 27 июля, 2015 Если не доверяете этому врачу, ищите другого.А зуб нужно лечить. Ещё 10 лет ожидания он не выдержит. Ссылка на комментарий
Vladimirov Опубликовано 27 июля, 2015 Поделиться Опубликовано 27 июля, 2015 и у разных стоматологов изначально мировоззрение в сторону возможности сохранения жизни зубам различное - кто-то старается продержать каждый собственный зуб пациента живым и обнадёженным, а кто-то сверлит и удаляет всё, не глядя. Дело в том что у Вас мировозрение не способствует поддержанию собственных зубов живыми о обнадёженными,как Вы выразились. 10 лет кариес уничтожает резец,который вы каждый день видите в зеркале 3 Ссылка на комментарий
Chew-Nezh Опубликовано 27 июля, 2015 Автор Поделиться Опубликовано 27 июля, 2015 (изменено) Благодарю за ответы. Если не доверяете этому врачу, ищите другого.А если я "не доверяю" медикам в целом - остановите планету, я сойду?))) Вопрос не в доверии к конкретному специалисту, вопрос в возможности (или невозможности) существования разных мнений, за чем, собственно, и пришла на этот форум. Если буду искать того стоматолога, кому доверяю сразу и безоговорочно - пожалуй, лучше записаться на вставную челюсть.Оке, вопрос не в том, лечить или не лечить. Вопрос в том, что именно делать с этим зубом буквально на этой неделе. Оке, два высказывания в теме и одно в личку в поддержку депульпирования данного зуба я увидела.Могу ли рассчитывать на обоснование этого вердикта: что именно чётко указывает на то, что пульпа в зубе не жилец ни при каком раскладе "внутри"? Вариант "Казнить, потому что в слове "помиловать" больше букв надо писать" - не симпатичен Вряд ли любой из вас, обратившись к любому мед. специалисту, согласился бы пойти на варианты формата "удалить орган" или "оставить орган, но самую малость умертвить его" просто потому, что надо доверять специалисту и ни в коем случае не хотеть получить доступное объяснение, почему не рассматриваются более жизнеутверждающие варианты будущего данного органа. Я всё прекрасно понимаю - всем надо заниматься вовремя. Но, увы, сейчас что есть - то уже есть, и наказывать меня за запущенность - не гуманно. Я не первая пациентка с запущенным случаем, а последнего такого пациента вообще не будет. Судя по отсутствию иных вариантов по данному вопросу, любой стоматолог меня и так уже "накажет" На других зубах "умнее буду")) Чессслово! Изменено 27 июля, 2015 пользователем Chew-Nezh Ссылка на комментарий
red_butler Опубликовано 28 июля, 2015 Поделиться Опубликовано 28 июля, 2015 http://forum.stom.ru/topic/20613-sovety-patcientam-obiazatelno-k-prochteniiu/ Ссылка на комментарий
Гарриевич Опубликовано 28 июля, 2015 Поделиться Опубликовано 28 июля, 2015 Депульпировать потому, что как показывает исследования и опыт, в зубах с таким объемом кариеса уже есть обсеменение нерва бактериями. Зуб при этом может и не болеть.И мой Вам совет, хотите получать больше мнений и ответов на вопросы, пишите кратко. 4 Ссылка на комментарий
Рекомендуемые сообщения
Для публикации сообщений создайте учётную запись или авторизуйтесь
Вы должны быть пользователем, чтобы оставить комментарий
Создать аккаунт
Зарегистрируйте новый аккаунт в нашем сообществе. Это очень просто!
Регистрация нового пользователяВойти
Уже есть аккаунт? Войти в систему.
Войти