Перейти к содержанию
Стоматология для всех

Возможно ли ситуацию скорректировать брекетами


holodova.viktori

Рекомендуемые сообщения

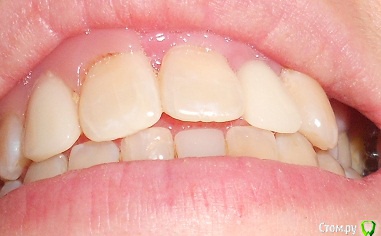
Добрый день, прошу проконсультировать, как поступить в моей ситуации.Прикус как могла сфоткала, сейчас проблема в отсутствии 2х верхних резцов, на их место поставила импланты-но они не прижились-в качестве наиболее вероятной причины выдвигают-недостаточность места, близость к корням соседних зубов.Возможно ли в моем случае ситуацию исправить брекетами.Прикус по-моему неправильный, ВЧ узкая, перекрытие НЧ есть в р-не передних зубов и задних, в середине картина не очень.Возможно ли немного расширить ВЧ. И беспокоит не будут ли смещаться зубы на место отсутствующих?Сейчас на месте одной из двоек съемная бабочка на месте другой имплант который нужно удалять.

post-44059-0-43173000-1437815052_thumb.jpg

post-44059-0-08451700-1437815060_thumb.jpg

post-44059-0-28046500-1437815069_thumb.jpg

post-44059-0-31435400-1437815074_thumb.jpg

post-44059-0-38611900-1437815079_thumb.jpg

Ссылка на комментарий

У Вас было уже лечение с применением брекетов, правильно? Ситуация непростая , судя по снимку ОПТГ места и правда маловато для боковых резцов, но снимок не очень четкий. А насчет исправления прикуса -этих снимков недостаточно , чтобы уверенно говорить о плане лечения. Можно с помощью брекетов и миниимплантатов создать больше места для боковых резцов, НО ЭТО ДОЛГО ( очень долго, хорошо , если за 2 года ). Быстрый вариант -мостовидный протез .

Нужны трг снимки для а честной диагностики.

  • Поддерживаю 1
Ссылка на комментарий

сейчас проблема в отсутствии 2х верхних резцов, на их место поставила импланты-но они не прижились-в качестве наиболее вероятной причины выдвигают-недостаточность места, близость к корням соседних зубов.Возможно ли в моем случае ситуацию исправить брекетами.Прикус по-моему неправильный, ВЧ узкая, перекрытие НЧ есть в р-не передних зубов и задних, в середине картина не очень.Возможно ли немного расширить ВЧ. И беспокоит не будут ли смещаться зубы на место отсутствующих?

 

Вы правильно обрисовали картину. У вас дефицит места для  "двоек" ,  также перекрестный прикус слева  (справа Вы не показали) (обратное перекрытие зубов, что чревато для сустава.) Также отсутствие верхнего бокового зуба ("пятерка"),  также ретенированные восьмерки (их надо удалять), ну и качество пролеченных зубов оставляет желать лучшего. 

Если хотите  все сделать не только эстетично, но и функционально, то потребуется поставить брекеты и создать место под недостающие зубы. 

Компьютерная томограмма и хороший ортодонт Вам в помощь. 

  • Поддерживаю 2
Ссылка на комментарий

КТ постараюсь сделать и выложить на следующей неделе. А почему нужно удалять 8-ки? Мне ортодонт на предварительной консультации предлагал в моем случае их оставлять (что меня немного смутило,ведь обычно всем удаляют),чтобы не произошло доп.деформации, а главное сужения ВЧ.Ну вообще есть ли смысл в длительном ортодонтическом лечении, в том плане принесет ли оно желаемый результат (расширение ВЧ,раздвижение корней зубов для установки имплантов резцов). И что с качеством пролеченных зубов,есть проблемы?Ходила на проф.осмотр к стоматологу-ничего не предложили пролечить/переделать.Смущает непропорциональность ВЧ и при решении ставить мосты/или адгезивные протезы-необходимость испортить 4!!!!зуба(единственные здоровые/нелеченные во рту..).Но и  лучший результат+возможность установки имплантов-тоже призрачна.В сомненьях..И еще вопрос.После предыдущего ортодонт.лечения стоят ретейнеры,из-за отсутствующих зубов капу не делали,почти год прошел,мб сейчас,чтобы предотвратить движение возможное зубов изготовить капу?А что делать в пустотами.Сложно_сложно все.Мб есть еще кто варианты?

Ссылка на комментарий

Вы видите больше проблем и пути решения , чем врачи, которые Вас консультируют. Задумайтсь. И поищите хорошего врача с полноценным планом лечения.

Ссылка на комментарий

Для публикации сообщений создайте учётную запись или авторизуйтесь

Вы должны быть пользователем, чтобы оставить комментарий

Создать аккаунт

Зарегистрируйте новый аккаунт в нашем сообществе. Это очень просто!

Регистрация нового пользователя

Войти

Уже есть аккаунт? Войти в систему.

Войти
×
×
  • Создать...
Вверх