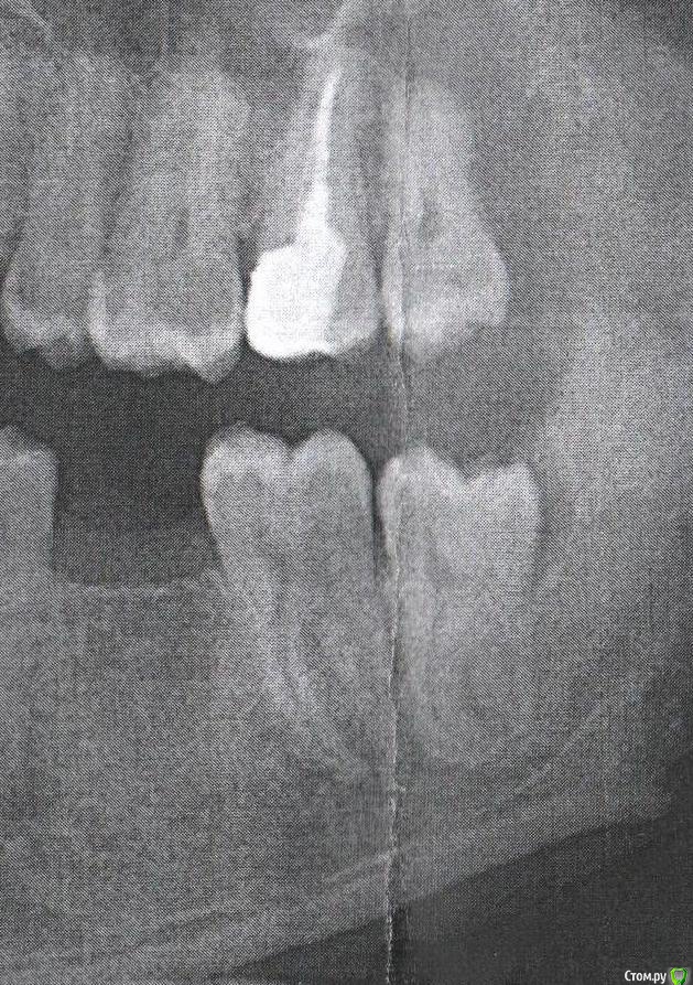
Wise Опубликовано 24 июля, 2015 Поделиться Опубликовано 24 июля, 2015 Здравствуйте, Что делать с зубом мудрости? Левый нижний. Под ним и/или рядом с ним уже третий раз, за последние 2 месяца, что то восполяется, щека опухает, изнутри ничего не видно, ощутимый бугорок, пью ципролет, хирург надрезал капюшон. Кто-что говорит, конечно хотелось бы оставить. Поделитесь мнениями из практики, если снимка достаточно? Заранее благодарен! Ссылка на комментарий
AlexanderGudkov Опубликовано 24 июля, 2015 Поделиться Опубликовано 24 июля, 2015 Удалить верхний и нижний. 6ой протезировать 2 Ссылка на комментарий
Yana guapa Опубликовано 24 июля, 2015 Поделиться Опубликовано 24 июля, 2015 если восьмерка все время воспаляется, ей мало места, очень трудно вычистить хорошо такие восьмые зубы... в итоге со временем они начнут портиться и удаление станет более сложным и болезненным. И еще много других причин по которым рекомендуют удалять 8-е зубы. 3 Ссылка на комментарий
red_butler Опубликовано 24 июля, 2015 Поделиться Опубликовано 24 июля, 2015 + 1 к удалению 3 Ссылка на комментарий
Доктор Хаус Опубликовано 25 июля, 2015 Поделиться Опубликовано 25 июля, 2015 Удаляйте +1 1 Ссылка на комментарий
Yana guapa Опубликовано 25 июля, 2015 Поделиться Опубликовано 25 июля, 2015 Здравствуйте, Что делать с зубом мудрости? Левый нижний. Под ним и/или рядом с ним уже третий раз, за последние 2 месяца, что то восполяется, щека опухает, изнутри ничего не видно, ощутимый бугорок, пью ципролет, хирург надрезал капюшон. Кто-что говорит, конечно хотелось бы оставить. Поделитесь мнениями из практики, если снимка достаточно? Заранее благодарен! причем удалять надо и нижний и верхний (над ним). так как когда нижнего не станет , верхний начнет опускаться вниз и пойдут проблемы с суставом. - "природа не терпит пустоты" Ссылка на комментарий
Wise Опубликовано 26 июля, 2015 Автор Поделиться Опубликовано 26 июля, 2015 (изменено) Спасибо всем за советы!!! А теперь паника... Зуб этот восполнился (3-й раз) во вторник, само воспаление вроде спало, рот открывается без проблем (воспалялись мышцы и прилегающие территории снаружи вниз до 6-ки), но где то с субботы начала расти шишка под 7-8м на щеке, твердая 1.5 x 1см, боли нет. Сходил в неотложку сказали не знают что это. Паника, подскажите если не трудно? Поправка, шишка расти не начала, там и так было твердо при воспалении, оно как бы локализовалась там, поднялось и отвердело. Изменено 26 июля, 2015 пользователем Wise Ссылка на комментарий
red_butler Опубликовано 26 июля, 2015 Поделиться Опубликовано 26 июля, 2015 нужен очный осмотр Ссылка на комментарий
Рекомендуемые сообщения
Для публикации сообщений создайте учётную запись или авторизуйтесь
Вы должны быть пользователем, чтобы оставить комментарий
Создать аккаунт
Зарегистрируйте новый аккаунт в нашем сообществе. Это очень просто!
Регистрация нового пользователяВойти
Уже есть аккаунт? Войти в систему.
Войти