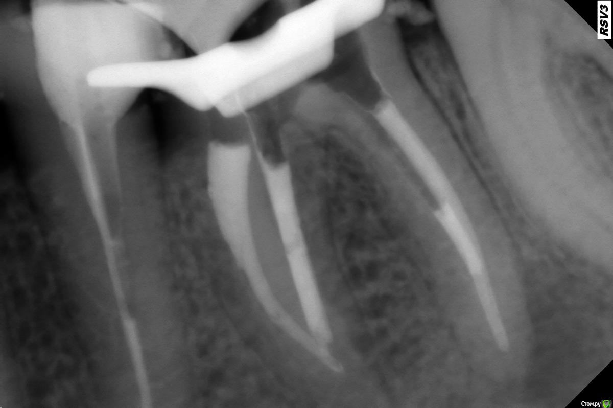
ceti Опубликовано 23 июля, 2015 Поделиться Опубликовано 23 июля, 2015 Здравствуйте, уважаемые специалисты Проконсультируйте пожалуйста. Зуб 36 был депульпирован лет 20 назад, установлены металлические штифты. Примерно 7-8 лет назад металлические штифты заменили на стекловолоконные. Полгода назад на КТ был обнаружен воспалительный процесс у верхушки дистального корня. Фрагмент томограммы: Доктор предложил перечить каналы еще раз, под микроскопом и более качественно. Каналы перелечили, но, как я понимаю, до конца их пройти не удалось: Прошу совета, что дальше делать. Можно ли рассчитывать на положительный эффект по результатам перепломбировки, или стоит попробовать перелечить каналы еще раз? В зубе (дно пульповой камеры, если не ошибаюсь) есть небольшая трещинка, но по словам доктора она не уходит в корень. Не знаю видно ли ее здесь, на всякий случай фотография: https://drive.google.com/open?id=0BwAD98i97KuPUEtHSDhBNWJ5TnR5M25ZdGd3d05HWnRmQWVj Также, в процессе лечения возникли болевые ощущения, пришлось сделать анастезию. Позже доктор сообщил, что в одном из каналов сохранились остатки пульпы, но потемневшие, без крови. Это действительно могло быть причиной, из-за которой возникла боль? Заранее благодарю за помощь. Ссылка на комментарий
Гарриевич Опубликовано 23 июля, 2015 Поделиться Опубликовано 23 июля, 2015 повторное лечение проведено адекватноеда, боль могла возникнуть изза остатков нервной ткани Ссылка на комментарий
St. Опубликовано 24 июля, 2015 Поделиться Опубликовано 24 июля, 2015 Снимок после перелечивания выглядит прилично. Ещё раз лезть в каналы - надобности не вижу.Однако нужно будет сделать контрольные снимки через 6 и 12 мес. 1 Ссылка на комментарий
red_butler Опубликовано 25 июля, 2015 Поделиться Опубликовано 25 июля, 2015 Обязательно протезируйте, этот и соседний зубы, иначе вся работа терапевта, насмарку 1 Ссылка на комментарий
ceti Опубликовано 27 июля, 2015 Автор Поделиться Опубликовано 27 июля, 2015 Обязательно протезируйте, этот и соседний зубы, иначе вся работа терапевта, насмарку Спасибо большое за ответы. Обязательно накрыть коронками оба соседа -- 37 и 35? Или достаточно только 35? Снимки сделаю. Ссылка на комментарий
red_butler Опубликовано 28 июля, 2015 Поделиться Опубликовано 28 июля, 2015 Спасибо большое за ответы. Обязательно накрыть коронками оба соседа -- 37 и 35? Или достаточно только 35? Снимки сделаю.3.5 и 3.6, и займитесь 2.6 2.7 Ссылка на комментарий
ceti Опубликовано 28 июля, 2015 Автор Поделиться Опубликовано 28 июля, 2015 3.5 и 3.6, и займитесь 2.6 2.7Понятно. Спасибо! Ссылка на комментарий
red_butler Опубликовано 28 июля, 2015 Поделиться Опубликовано 28 июля, 2015 Понятно. Спасибо!Пожалуйста, будем ждать продолжения Ссылка на комментарий
Рекомендуемые сообщения
Для публикации сообщений создайте учётную запись или авторизуйтесь
Вы должны быть пользователем, чтобы оставить комментарий
Создать аккаунт
Зарегистрируйте новый аккаунт в нашем сообществе. Это очень просто!
Регистрация нового пользователяВойти
Уже есть аккаунт? Войти в систему.
Войти