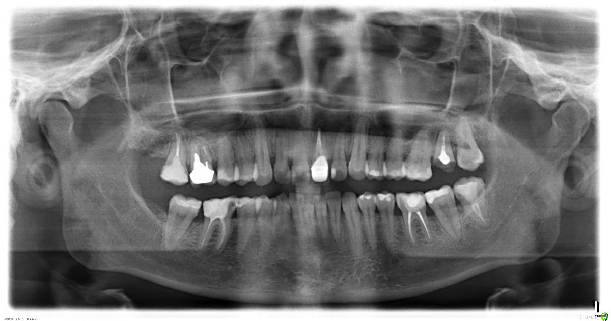
l_yulia Опубликовано 21 июля, 2015 Поделиться Опубликовано 21 июля, 2015 С этим зубом долгая история. 7 лет назад у меня там была киста и одновременно беременность, а когда беременность закончилась, а киста была вылечена, то в оставшийся корень вставили стекловолоконный штифт и на него коронку. Коронка металлокерамическая, врач мне сказала тогда, что поставить безметалловую керамику нельзя (видимо им просто почему-то так было удобнее). Коронка была толще чем мой собственный зуб и именно это стало причиной того что в конце-концов коронка вместе со штифтом вывалилась (я ее как бы все время толкала нижними зубами).Так как финансовой возможности в момент выпадения коронки никакой не было от слова совсем, то я решила приклеивать его каждый день на корегу, и регуляно полоскать антисептиками. Но на прошлой неделе, когда я ела персик, коронка внезапно отклеилась, а я не сразу заметала и продолжила кусать персик, потом услышала хруст и поняла, что придется уже решать как-то проблему. Скорее всего я все таки сломала корень, так как потом 2 дня были не очень приятные ощущения в области зуба.В прошлую пятницу и субботу я записалась в 3 стоматологических клиники на консультацию на счет имплантации. Я хотела одномоментную с удалением корня имплантацию, и желательно чтоб можно было сразу установить временную коронку, так как зуб передний.И вот что мне сказали в разных местах:1) Сказали, что да, можно поставить сразу. В той клинике используют только 2 системы имплантов ("Implantium" и "SuperLine"). И они мне посчитали "SuperLine". Правда сказали, что о том возможно ли будет нагружать имплант сразу станет понятно только после удаления, глядя на состояние кости, плотная она или рыхлая. И еще сказали, что обязательно потребуется пересадка кусочка кожи с неба на десну. 2) Здесь ставят разные системы ( "Miss", "Alpha bio", "AstraTech", "Implantium" и "SuperLine"). Я сказала, что думала про alpha bio и мне посчитали его, но потом врач мне аргументированно объяснил, что чтоб имплант можно было сразу нагружать он должен быть длинее собственного корня зуба, а этому требованию соответствует только "SuperLine" и что потребуется подсыпка костной ткани. И он не возражал против временной коронки и был категорически против протеза бабочки, мол он все сосочки примнет.3) Здесь ставят разные системы ( AlphaBio и MIS, Xive и Impro, Straumann, Nobel Biocare и Biohorizons, Astra Tech) Врач сказал мне, что нет никакой разницы какой длины сам имплант и посчитал мне MIS. Напугал меня тем, что при удалении оставшегося корня зуба у меня не останется передней стенки (если поставить имплант одномоментно, то он будет просвечивать) и лучше будет, если сначала удалить зуб, а имплант поставить через 2 недели, когда кровяной сгусток видоизменится в костную ткань. Он был категорически против сразу ставить временную коронку и был за протез бабочку, когда я спросила про сосочки, то он сказал, что мы так сделаем протез, что ничего не примнем.А теперь мне хочется здесь на форуме получить независимую консультацию и понять, какой имплант лучше, действительно ли он должен быть длинее собственного корня или это не имеет никакого значения?Правда ли что у меня после удаления не останется переднней стенки кости?Кто из врачей, которые меня консультировали , более компетентный? КТ у меня есть. Прикрепляю 2 снимка, может на втором что-то лучше видно. один 17.07.2015, а второй примерно полугодовой давности. И фото.17.07.2015 конец 2014фото Ссылка на комментарий
Aquarius Опубликовано 21 июля, 2015 Поделиться Опубликовано 21 июля, 2015 Здравствуйте! Наличие или отсутствие передней стенки особой роли не играет, да и по Вашим снимкам нельзя сказать есть она у Вас или нет. Обязательно наличие временной коронки и пластики десны, никаких бабочек!! Длина импланта выбирается врачом с целью закрепить имплант при установке в собственной кости. 2 Ссылка на комментарий
AlexanderGudkov Опубликовано 21 июля, 2015 Поделиться Опубликовано 21 июля, 2015 Однозначно лучший вариант удалить, сразу поставить имплантат, досыпать кости, добавить десны и сразу временную коронку. Если не станет передней стенки - не беда, есть методы работы и в таких случаях. Если не получится установить имплантат с достаточным усилием, то сделать адгезивный протез, но не бабочку Ссылка на комментарий
l_yulia Опубликовано 21 июля, 2015 Автор Поделиться Опубликовано 21 июля, 2015 а можно с десной разбираться позже??? она в обязательном порядке поднимется? или может да, а может нет? Ссылка на комментарий
AlexanderGudkov Опубликовано 21 июля, 2015 Поделиться Опубликовано 21 июля, 2015 а можно с десной разбираться позже??? она в обязательном порядке поднимется? или может да, а может нет?если хотите результат, надо делать десну. А что вас так пугает? Трансплантация десны - рутина, дело 7 минут. 2 Ссылка на комментарий
diesel87 Опубликовано 21 июля, 2015 Поделиться Опубликовано 21 июля, 2015 Перед имплантацией проведите санацию рта и профгигиену Ссылка на комментарий
l_yulia Опубликовано 22 июля, 2015 Автор Поделиться Опубликовано 22 июля, 2015 Я сделала профгигиену в пятницу и теперь у меня стоматит на деснах. При том что я пользуюсь и гексоралом и листерином.мне больно чистить зубы сейчас даже щеткой суперсофт. Ссылка на комментарий
Mane Опубликовано 24 июля, 2015 Поделиться Опубликовано 24 июля, 2015 УдалениеИмплант сразуСразу десна и костьСразу временная коронка Это деликатная процедура требующая навыка. Будьте внимательнее с выбором доктора! Ссылка на комментарий
Доктор Хаус Опубликовано 25 июля, 2015 Поделиться Опубликовано 25 июля, 2015 Я бы ставил только имплантат с конусным соединением. Ссылка на комментарий
Рекомендуемые сообщения
Для публикации сообщений создайте учётную запись или авторизуйтесь
Вы должны быть пользователем, чтобы оставить комментарий
Создать аккаунт
Зарегистрируйте новый аккаунт в нашем сообществе. Это очень просто!
Регистрация нового пользователяВойти
Уже есть аккаунт? Войти в систему.
Войти