Перейти к содержанию
Стоматология для всех

Реставрация скола на МК


Ebimot

Рекомендуемые сообщения

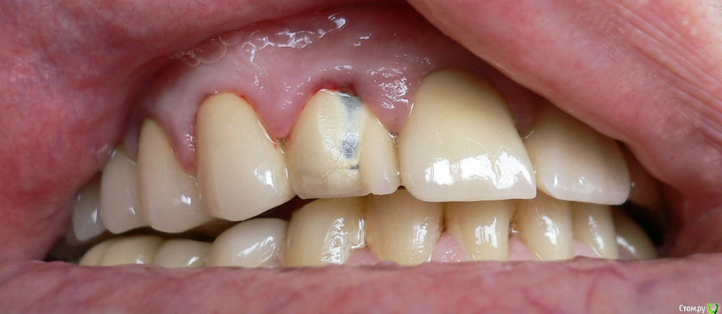
Недавно на верхней передней МК коронке (крайняя в мосту на 6 или 7 единиц) произошел скол передней поверхности (см. фото). Возраст конструкции - 1,5 г. Скол произошел случайно, коронка находится вне прикуса.

 

Ищу специалиста, который устранит проблему с помощью композитных материалов, и даст гарантию на работу.

 

Как вариант рассматриваю выпил коронки из моста с заменой на новую.

 

 

post-44028-0-10473000-1437402832_thumb.jpg

Ссылка на комментарий

добрый день,вряд ли кто-то будет заниматься починкой такого скола, да еще и давать гарантии.

а начнут выпиливать оголится металл в области соседних зубов и его потом будет оооочень трудно закрыть(а Вы же хотите чтобы все выглядело как прежде :) ),еще  при выпиливании  может сколоться керамика ,  в общем глупая эта затея.

скорее всего придется все снимать и переделывать.

пс а десна Вас не беспокоит?

  • Поддерживаю 5
Ссылка на комментарий

Для публикации сообщений создайте учётную запись или авторизуйтесь

Вы должны быть пользователем, чтобы оставить комментарий

Создать аккаунт

Зарегистрируйте новый аккаунт в нашем сообществе. Это очень просто!

Регистрация нового пользователя

Войти

Уже есть аккаунт? Войти в систему.

Войти
×
×
  • Создать...
Вверх