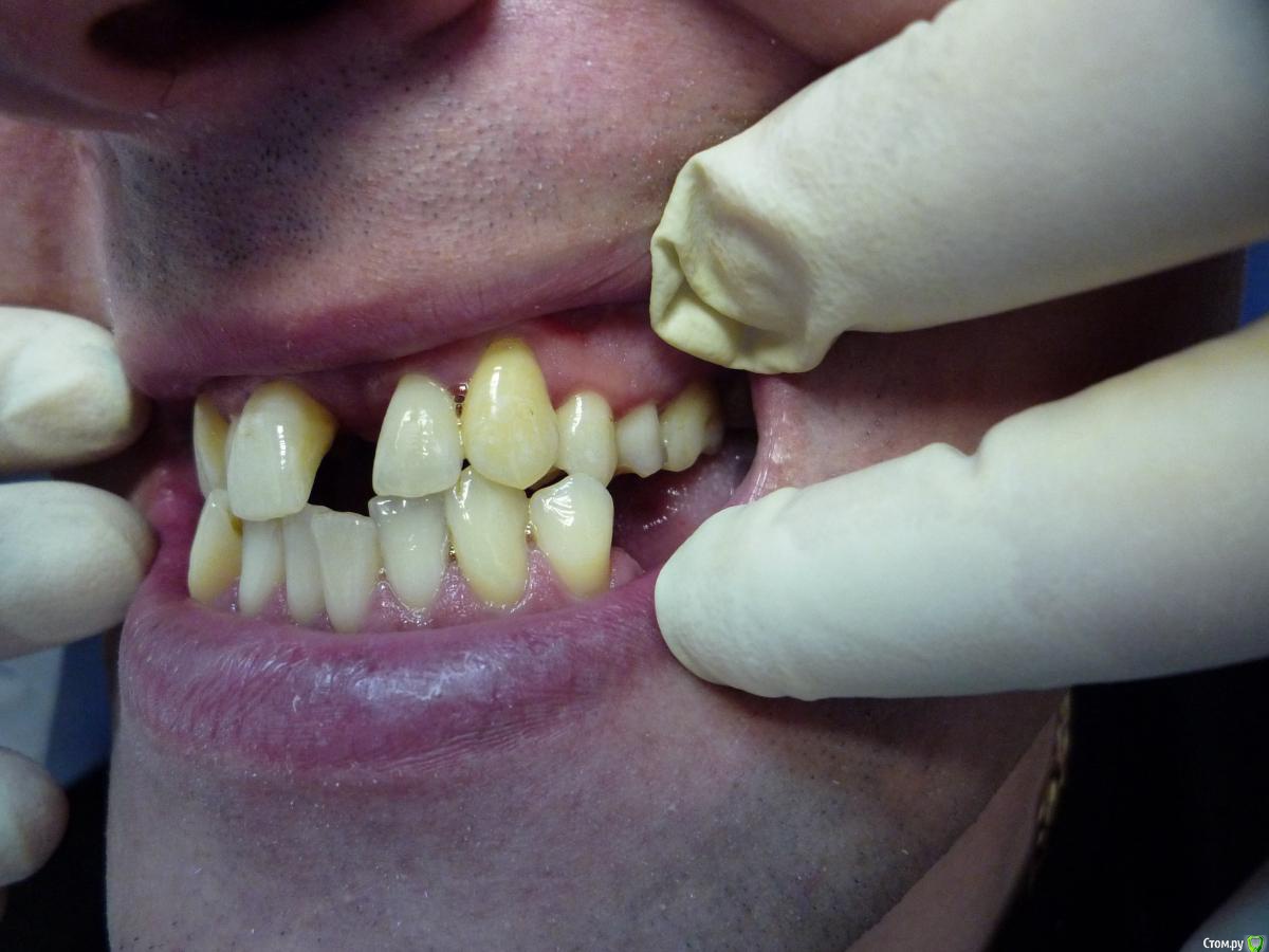
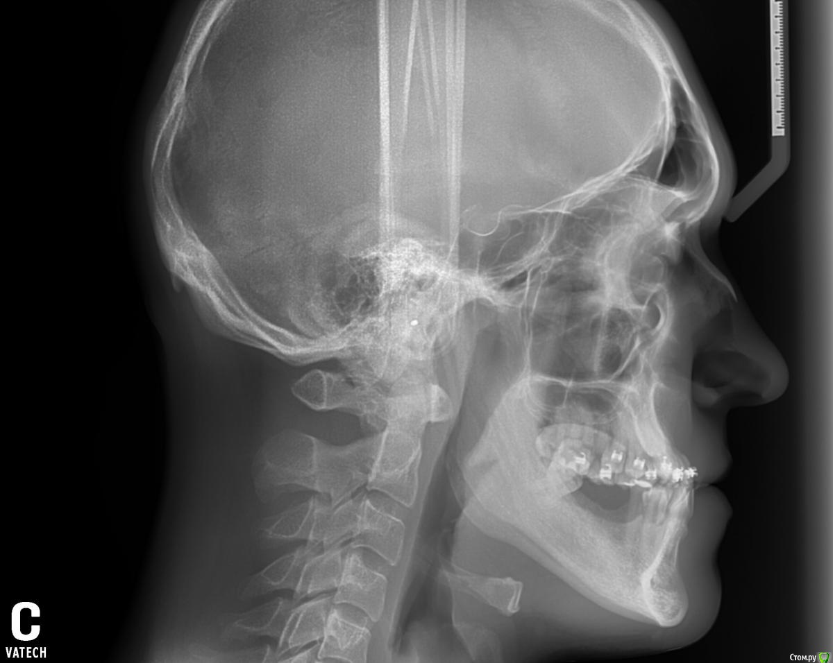
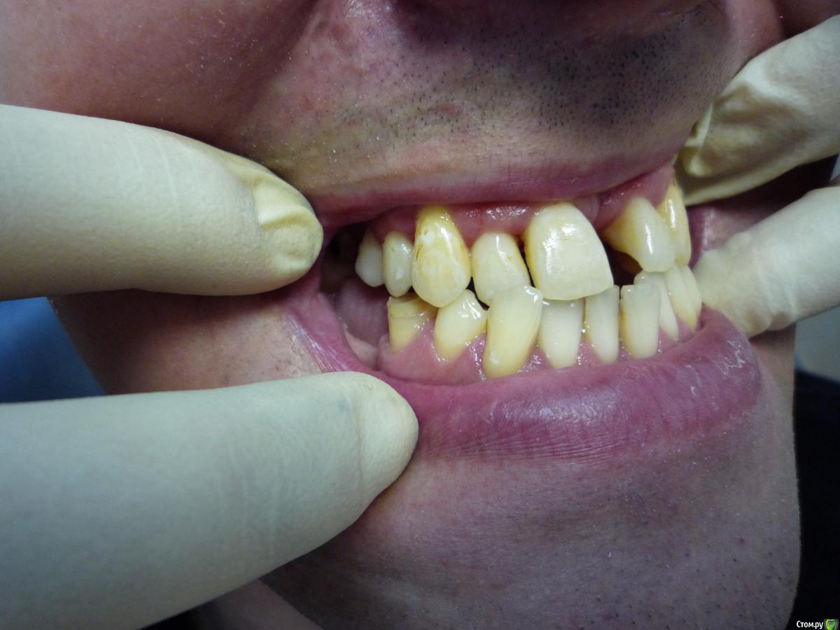
Jeniaspb Опубликовано 20 июля, 2015 Поделиться Опубликовано 20 июля, 2015 Пациент 32 года. Фото к сожалению только те, что есть. По ТРГ верхняя микрогн и нижняя прогнатия, протруз резцов в/ч 132^ и ретрузия резцов н/ч 68^, а так же переднее положение головки н/ч. Идеально сделать гнатич хирургию, но пациент идет в полный отказ, в связи с чем имеются следующие мысли:1) провести ТЭНС терапию с определением положения н/ч, в надежде на то, что она сместится хоть чуточку назад.2) если н/ч сместится каппа на н/ч с последующ окклюз накладками3) б/с на нижн зубн ряд и попыткой смещения дистально премоляров для освобожд места резцам4) б/с на в/ч и попытки камуфляжа этого всего...5) имплантация и затем протезирование.Вопрос самый главный:на сколько велики мои шансы сделать обратное перекрытие, которое я не смогу вернуть?) Ссылка на комментарий
Yana guapa Опубликовано 20 июля, 2015 Поделиться Опубликовано 20 июля, 2015 поставьте МИ на нч и не уйдете в протрузию. Ссылка на комментарий
Jeniaspb Опубликовано 20 июля, 2015 Автор Поделиться Опубликовано 20 июля, 2015 поставьте МИ на нч и не уйдете в протрузию. Спасибо. Были такие мысли, в области 6-х Ссылка на комментарий
Yana guapa Опубликовано 21 июля, 2015 Поделиться Опубликовано 21 июля, 2015 Спасибо. Были такие мысли, в области 6-ха по-другому никак. Наклоненные 7ки - это не опора. Они еще больше будут наклоняться мезиально. В идеале- поставить по винту сзади семерок ( для их апрайта и удержания) и в области шестерок. Ссылка на комментарий
Jeniaspb Опубликовано 22 июля, 2015 Автор Поделиться Опубликовано 22 июля, 2015 А как вы считаете, стоит ли заморачиваться с ТЭНС? Ссылка на комментарий
Yana guapa Опубликовано 22 июля, 2015 Поделиться Опубликовано 22 июля, 2015 А как вы считаете, стоит ли заморачиваться с ТЭНС? а Вы можете обосновать для чего? Вы пишите - "...хоть чуточку уйдет назад..." . Каким образом, за счет чего... какой план действий у Вас ?должно быть полное осознание что и для чего применяется. Ссылка на комментарий
Jeniaspb Опубликовано 22 июля, 2015 Автор Поделиться Опубликовано 22 июля, 2015 а Вы можете обосновать для чего? Вы пишите - "...хоть чуточку уйдет назад..." . Каким образом, за счет чего... какой план действий у Вас ?должно быть полное осознание что и для чего применяется. Есть подозрения на нарушения внчс, н/ч имеет норм размеры, опять таки есть подозрения, что н/ч занимает не центральное положение! Каким образом: расслабление мышц приведет н/ч в ее центр положение. Не расслабив их я могу только предполагать, но если шанс есть, будет обидно его не использовать!Что: изменение положения н/ч за счет см вышеДля чего: перемещ н/ч назад в идеале! Ссылка на комментарий
Yana guapa Опубликовано 22 июля, 2015 Поделиться Опубликовано 22 июля, 2015 Есть подозрения на нарушения внчс, н/ч имеет норм размеры, опять таки есть подозрения, что н/ч занимает не центральное положение! только подозрение?)) при таком положении НЧ , при таких дефектах зубных рядов дисфункция обязана быть)) Каким образом: расслабление мышц приведет н/ч в ее центр положение. Что: изменение положения н/ч за счет см вышеДля чего: перемещ н/ч назад в идеале! какой смысл проводить сейчас "расслабление" если НЧ физически не сможет сместиться назад при обратном перекрытии 1.2 зуба (это же блок). или Вы хотите сделать немалое разобщение , увеличив ротацию НЧ, и о каком расслаблении тогда речь? мне не понятно. (имхо) Ссылка на комментарий
Yana guapa Опубликовано 22 июля, 2015 Поделиться Опубликовано 22 июля, 2015 вот как у меня расчет получился http://s019.radikal.ru/i627/1507/d9/1aa1480e4fed.jpg http://s019.radikal.ru/i609/1507/42/2e454cc87e60.jpg http://s017.radikal.ru/i410/1507/c0/96ddf921ef15.jpg http://s020.radikal.ru/i702/1507/4a/c50bacca5b14.jpg Ссылка на комментарий
Jeniaspb Опубликовано 23 июля, 2015 Автор Поделиться Опубликовано 23 июля, 2015 только подозрение?)) при таком положении НЧ , при таких дефектах зубных рядов дисфункция обязана быть)) какой смысл проводить сейчас "расслабление" если НЧ физически не сможет сместиться назад при обратном перекрытии 1.2 зуба (это же блок). или Вы хотите сделать немалое разобщение , увеличив ротацию НЧ, и о каком расслаблении тогда речь? мне не понятно. (имхо)Разобщение будет, но временно, параллельно с каппой на н/ч б/с на верх зубной ряд Ссылка на комментарий
Рекомендуемые сообщения
Для публикации сообщений создайте учётную запись или авторизуйтесь
Вы должны быть пользователем, чтобы оставить комментарий
Создать аккаунт
Зарегистрируйте новый аккаунт в нашем сообществе. Это очень просто!
Регистрация нового пользователяВойти
Уже есть аккаунт? Войти в систему.
Войти