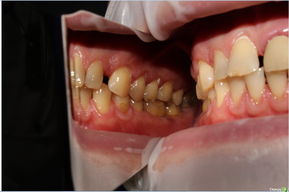
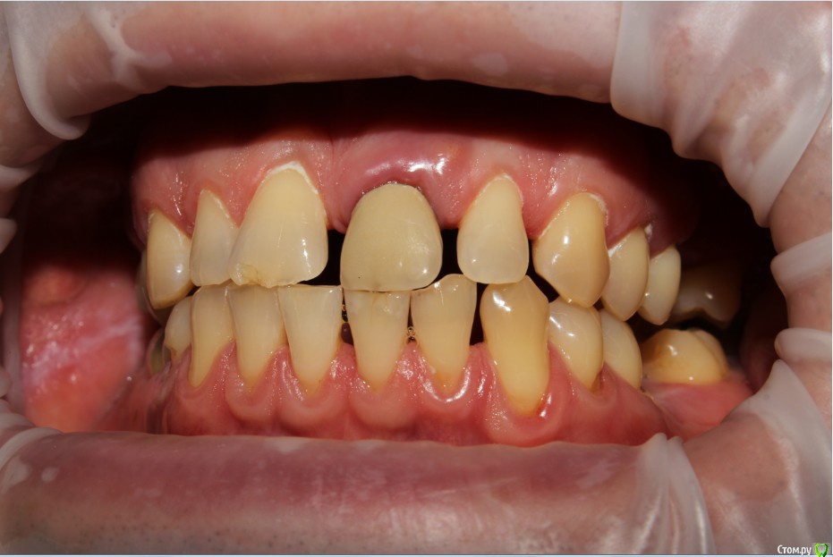
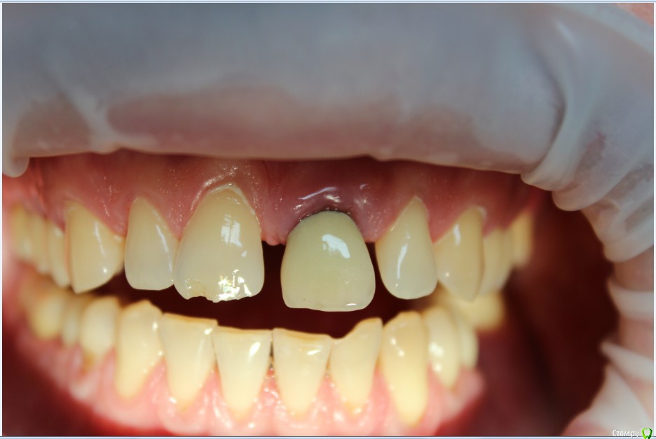
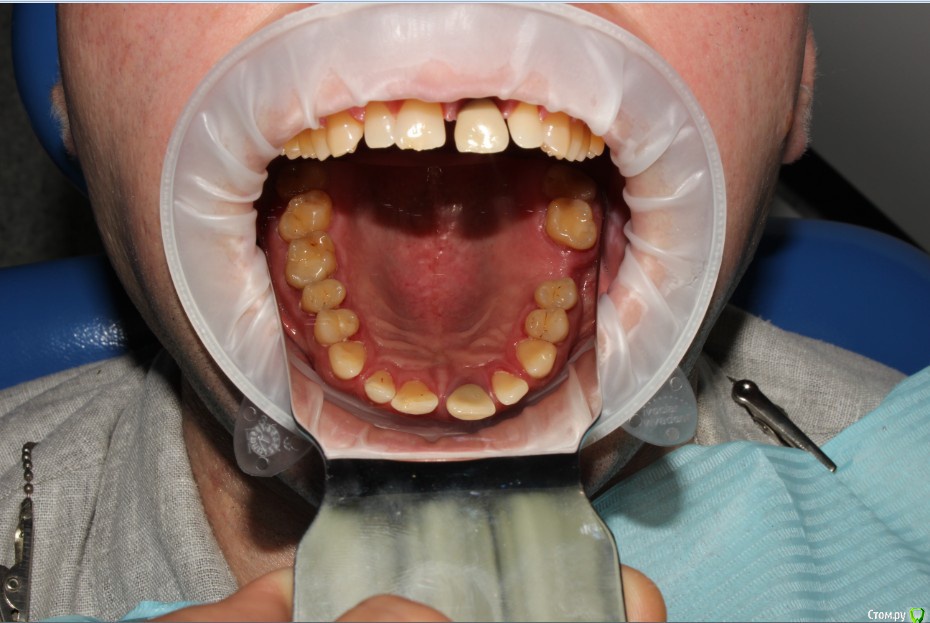
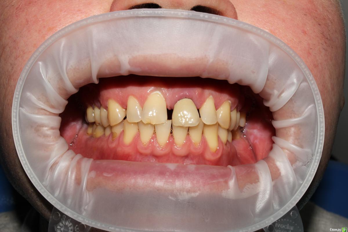
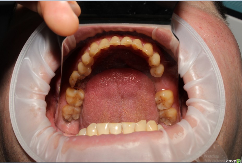
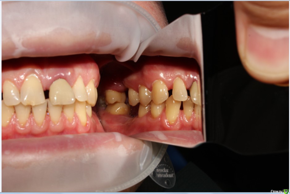
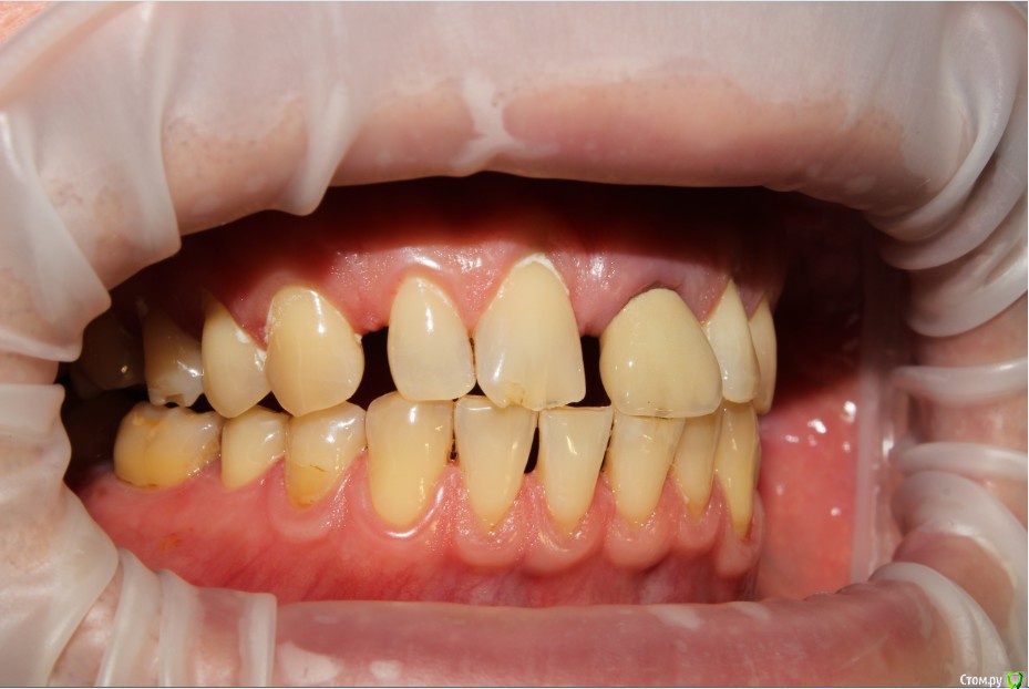
Рустам Опубликовано 20 июля, 2015 Поделиться Опубликовано 20 июля, 2015 Здравствуйте коллеги! Подскажите по клиническому случаю пожалуйста. Обратился пациент в клинику с подвижной коронкой на зубе 2.1, на рентгене диагностирован перелом корня, планируем удаление с одномоментной имплантацией и желательно с немедленной нагрузкой. Система имплантатов "Osstem", на этой системе я ранее не протезировал (работал с "Mis" и "Super Line") и вообще ранее немедленно не нагружал имплантаты. Хирург назначил удаление и иплантацию на 23.07, я смогу принять пациента только 24.07 утром, необходимо заказать временный абатмент, подскажите какой именно из каталога нужно заказать?Имплантолог заказал два имплантата Osstem TSIII SA диаметром 4,0 и 4,5.Я планирую делать временную прямым способом по ключу снятому со старой коронки во рту. Может лучше через оттиск заказать лабораторную временную?P.S. пациента эстетически все устраивало, ортодонтию не хочет. Ссылка на комментарий
Рустам Опубликовано 20 июля, 2015 Автор Поделиться Опубликовано 20 июля, 2015 Неужели никто данной системой не работал? Я так понимаю надо заказывать TSQTA5550? Ссылка на комментарий
АнтонТЛТ Опубликовано 20 июля, 2015 Поделиться Опубликовано 20 июля, 2015 Сделайте кт, по кт смотрите угол, техник делает коронку на нужном абатменте + делает шаблон для хирурга, во время операции небольшая коррекция коронки 1 Ссылка на комментарий
Рустам Опубликовано 20 июля, 2015 Автор Поделиться Опубликовано 20 июля, 2015 Сделайте кт, по кт смотрите угол, техник делает коронку на нужном абатменте + делает шаблон для хирурга, во время операции небольшая коррекция коронкиСпасибо Антон! КТ есть завтра посмотрю угол. Правда лабораторно наверное не смогу, в пятницу уеду из города. Ссылка на комментарий
Kalipso Опубликовано 21 июля, 2015 Поделиться Опубликовано 21 июля, 2015 (изменено) Так Вы можете поставить коронку в течении 4-7 дней после имплантации /всегда заказываю у техника ,после дорабатываю во рту. Изменено 21 июля, 2015 пользователем Kalipso Ссылка на комментарий
Рустам Опубликовано 21 июля, 2015 Автор Поделиться Опубликовано 21 июля, 2015 Так Вы можете поставить коронку в течении 4-7 дней после имплантации /всегда заказываю у техника ,после дорабатываю во рту.Снимаете оттиск с трансфером? На каком этапе? Сразу во время имплантации или когда уже наложены швы, например, на следующий день? Ссылка на комментарий
Kalipso Опубликовано 22 июля, 2015 Поделиться Опубликовано 22 июля, 2015 Могу в этот или на следующий как время располагает ! Техник делает коронку за два дня .... Ссылка на комментарий
chervoncevdaniil Опубликовано 22 июля, 2015 Поделиться Опубликовано 22 июля, 2015 Могу в этот или на следующий как время располагает ! Техник делает коронку за два дня ....временную коронку на винтовой фиксации заказываете или которая на временный цемент ставится? Ссылка на комментарий
Kalipso Опубликовано 22 июля, 2015 Поделиться Опубликовано 22 июля, 2015 временную коронку на винтовой фиксации заказываете или которая на временный цемент ставится?Конечно на винтовой .))) Ссылка на комментарий
chervoncevdaniil Опубликовано 22 июля, 2015 Поделиться Опубликовано 22 июля, 2015 Блин,почему я тогда от техника получил такое?я думал временная коронка априори винтовая URL=http://www.radikal.ru]http://s018.radikal.ru/i501/1507/8e/c0cea316e67c.jpg[/url] Ссылка на комментарий
k.t.m. Опубликовано 22 июля, 2015 Поделиться Опубликовано 22 июля, 2015 Блин,почему я тогда от техника получил такое?я думал временная коронка априори винтовая URL=http://www.radikal.ru]http://s018.radikal.ru/i501/1507/8e/c0cea316e67c.jpg[/url]так какая проблема перевести в винтовую???? Ссылка на комментарий
PaulG Опубликовано 22 июля, 2015 Поделиться Опубликовано 22 июля, 2015 так какая проблема перевести в винтовую????+100 Ссылка на комментарий
chervoncevdaniil Опубликовано 22 июля, 2015 Поделиться Опубликовано 22 июля, 2015 Просто я ни разу не сталкивался,зацементировать на модели на fuji plus,предварительно винт закрыть фумкой,потом через коронку пропилить отверстие к винту,все так? Ссылка на комментарий
k.t.m. Опубликовано 22 июля, 2015 Поделиться Опубликовано 22 июля, 2015 Просверлить ,шахту закрыть фумкой и вставить ,зубочистку ,спичку,бор и т.д и в таком состоянии зацементировать Ссылка на комментарий
chervoncevdaniil Опубликовано 22 июля, 2015 Поделиться Опубликовано 22 июля, 2015 Просверлить ,шахту закрыть фумкой и вставить ,зубочистку ,спичку,бор и т.д и в таком состоянии зацементироватьСпасибо Ссылка на комментарий
Dr.Zoom Опубликовано 22 июля, 2015 Поделиться Опубликовано 22 июля, 2015 Давидян говорит, что перелом корня, впринципе, это противопоказание))) Ссылка на комментарий
Рустам Опубликовано 23 июля, 2015 Автор Поделиться Опубликовано 23 июля, 2015 Так как мне необходимо уехать из города в пятницу, решили что временную будет делать другой ортопед. Я заказал временный абатмент, передам ему ключ и абатмент, потом узнаю как все прошло. Ссылка на комментарий
Рустам Опубликовано 23 июля, 2015 Автор Поделиться Опубликовано 23 июля, 2015 Давидян говорит, что перелом корня, впринципе, это противопоказание))) А можно по подробнее, или ссылку почитать, спасибо. Ссылка на комментарий
Dr.Zoom Опубликовано 20 августа, 2015 Поделиться Опубликовано 20 августа, 2015 А можно по подробнее, или ссылку почитать, спасибо.если перелом корня длительное время не был диагносцирован- то существует большой риск инфецирования Ссылка на комментарий
Рекомендуемые сообщения
Для публикации сообщений создайте учётную запись или авторизуйтесь
Вы должны быть пользователем, чтобы оставить комментарий
Создать аккаунт
Зарегистрируйте новый аккаунт в нашем сообществе. Это очень просто!
Регистрация нового пользователяВойти
Уже есть аккаунт? Войти в систему.
Войти