fifa888.dexo Опубликовано 20 июля, 2015 Поделиться Опубликовано 20 июля, 2015 Здравствуйте, подскажите что делать и к какому специалисту обратиться .2 июля была имплантация трех зубов с открытым синус лифтингом на одном.Пила антибиотик рулид, линекс, хлоргекидином полоскала,гигиену тщательно соблюдала. Что то пошло не так в месте синуса и началось воспаление в гаморовой пазухе,8 июля сделали прокол носа,назначили колоть цефтриаксон 7 дней и пить флюконазол,через 2 дня во рту начался стоматит,стоматолог сказал полоскать стоматофитом,и я продолжала полоскать хлоргексидином швы,но ничего не проходило,только все стало коричневым и язык и зубы,от стоматофита наверное.16 июля мне сняли швы,сказали отек в пазухе уходит потихоньку,стоматит хирург сказал полоскать содой и продолжать флюконазол.За два дня ничего не изменилось,налет стал только сильнее.Я сняла его кандидом раствор(раньше педиатр прописывала ребенку при стоматите)и продолжала полоскать содой и пить флюконазол.Сегодня 20 июля и налет опять появляеться!Что мне делать,из за чего это может быть,и к кому обратиться?? Ссылка на комментарий
diesel87 Опубликовано 20 июля, 2015 Поделиться Опубликовано 20 июля, 2015 Какой налет? Если коричневый, то это от хлоргексидина, а не от стоматофита. Ссылка на комментарий
fifa888.dexo Опубликовано 20 июля, 2015 Автор Поделиться Опубликовано 20 июля, 2015 Какой налет? Если коричневый, то это от хлоргексидина, а не от стоматофита.На зубах и языке коричневый,а от стоматита просто ужасные белые пленки,пятна на слизистой под губами по всей полости рта((( Ссылка на комментарий
faity Опубликовано 20 июля, 2015 Поделиться Опубликовано 20 июля, 2015 фотки бы 1 Ссылка на комментарий
diesel87 Опубликовано 20 июля, 2015 Поделиться Опубликовано 20 июля, 2015 На зубах и языке коричневый,а от стоматита просто ужасные белые пленки,пятна на слизистой под губами по всей полости рта(((С Антибиотиками принимали Линекс? Ссылка на комментарий
fifa888.dexo Опубликовано 22 июля, 2015 Автор Поделиться Опубликовано 22 июля, 2015 (изменено) С АнтибиотикаДа линекс принимала. Я сходила на консультацию к другому имплантологу,сказал что очень много было антибиотиков поэтому сбита микрофлора вся и так долго не проходит, сказал тоже сказал что коричневый налет от хлоргексидина,а стоматит я вроде бы сейчас уже добила раствором кандида.Но обнаружились интересные подробности имплантации,один имплант задевает верхушку корня соседнего зуба,а там где проводился синус лифтинг материал био осс еще остался в пазухе,т.е гайморит был из-за этого,мне отмыли но там видно осталось еще....Извините если не в эту тему,может это надо в раздел хирургии писать?Я что то ничего не понимаю как материал попал вообще в пазуху???И что делать?Этот доктор мне ничего не сказал(наверно по этическим соображениям), а сказал ждать своего врача из отпуска,но мой врач мне говорит что все ок. Я просто в ужасе.У меня все есть и панорамный снимок и кт. Я создавала уже тему в разделе хирургия еще когда мне только сделали прокол носа,но никто не хочет качать кт((((А скрины я делать не умею(((((((( Изменено 22 июля, 2015 пользователем fifa888.dexo Ссылка на комментарий
St. Опубликовано 22 июля, 2015 Поделиться Опубликовано 22 июля, 2015 а там где проводился синус лифтинг материал био осс еще остался в пазухе,т.е гайморит был из-за этого, Вы немного неверно истолковали происходящее. Синус лифт подразумевает наличие материала в пазухе. Его туда специально укладывают дабы увеличить объем кости куда ставить имплант. В будущем он преобразуется, но должно пройти время. Ссылка на комментарий
fifa888.dexo Опубликовано 22 июля, 2015 Автор Поделиться Опубликовано 22 июля, 2015 Вы немного неверно истолковали происходящее. Синус лифт подразумевает наличие материала в пазухе. Его туда специально укладывают дабы увеличить объем кости куда ставить имплант. В будущем он преобразуется, но должно пройти время....Спасибо,я поняла.Я думала поднимают пазуху как-то,т.е остается какая-то перегородка.Но тогда почему у меня в пазухе сразу после имплантации образовался отек и гной,который мне отмывали через 6 дней после имплантации?Или это никак не узнать?И я так понимаю что зуб который задевает имплант и имплант удалять придеться?Я конечно же задам эти вопросы своему врачу,но на данный момент он в отпуске,а я переживаю очень сейчас. Ссылка на комментарий
St. Опубликовано 22 июля, 2015 Поделиться Опубликовано 22 июля, 2015 .Я думала поднимают пазуху как-то,т.е остается какая-то перегородка Да, перегородкой служит слизистая Вашей пазухи и специальная мембрана. Или это никак не узнать? Увы. можно только предполагать. И я так понимаю что зуб который задевает имплант и имплант удалять придеться? Не торопитесь с выводами. Действительно, есть определенное минимальное расстояние, которое должно быть между зубами имплантами. Но чтобы точно определить какая ситуация у Вас нужно видеть КТ. Зуб, соседствующий с имплантами, не беспокоит? Ссылка на комментарий
fifa888.dexo Опубликовано 22 июля, 2015 Автор Поделиться Опубликовано 22 июля, 2015 Да, перегородкой служит слизистая Вашей пазухи и специальная мембрана. Увы. можно только предполагать. Не торопитесь с выводами. Действительно, есть определенное минимальное расстояние, которое должно быть между зубами имплантами. Но чтобы точно определить какая ситуация у Вас нужно видеть КТ. Зуб, соседствующий с имплантами, не беспокоит?Ну вот я так поняла врач сказал что материал как раз в пазухе,т.е.дословно: вам отмыли все из пазухи,но вот здесь немного остался материал и воспаление.Я спросила что делать она сказал что наблюдать еще пару недель,так как после антибиотиков воспаление ушло но не до конца,антибиотиков больше не надо и так много кололи,а покапать что-то надо(интересно что)а если так и останеться то все вынимать.У меня и сейчас пазуха немного припухшая и не дышит(((У меня есть и панорамный и кт,но ее никто не качает,а срезы я не умею делать.Зуб который задел имплант депульпированный,и ничего не чувствую.А второй имплант очень близко к зубу но не задел,вот там чувствуется онемение при надкусывании. Ссылка на комментарий
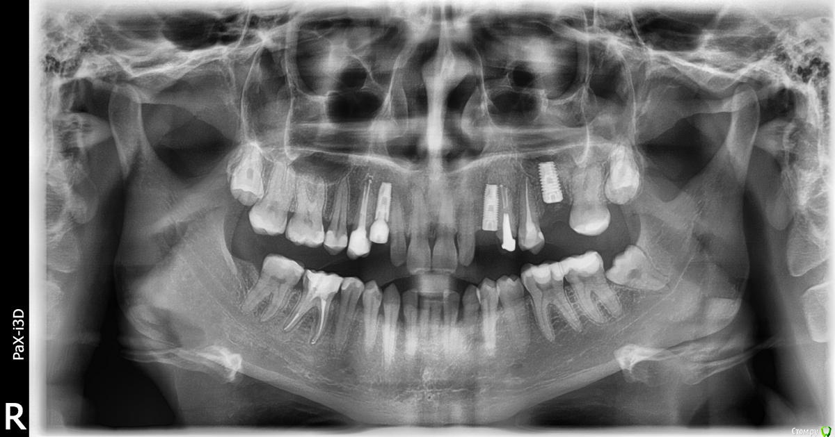
fifa888.dexo Опубликовано 22 июля, 2015 Автор Поделиться Опубликовано 22 июля, 2015 (изменено) Вот панорамный Изменено 22 июля, 2015 пользователем fifa888.dexo Ссылка на комментарий
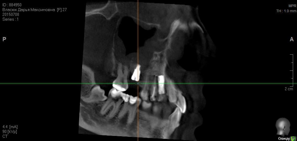
fifa888.dexo Опубликовано 22 июля, 2015 Автор Поделиться Опубликовано 22 июля, 2015 а это все что я могла придумать с кт Ссылка на комментарий
diesel87 Опубликовано 22 июля, 2015 Поделиться Опубликовано 22 июля, 2015 По ОПТГ, формирователь не докручен, вам уже сказали, имплант в области левого клыка скорее всего не в контакте с четверкой (но надо глянуть КТ), даже если четверка депульпирована, она бы четко отреагировала бы на контакт с имплантом, болью или дискомфортом при накусывании/надавливании. В области синуса воспаление не особо просматривается и материал тоже четко не визуализируется в пазухе. Капать надо сосудосуживающее или гормональное. Выложите еще раз ссылку на КТ, ваши срезы не информативны. Ссылка на комментарий
fifa888.dexo Опубликовано 22 июля, 2015 Автор Поделиться Опубликовано 22 июля, 2015 http://www.fayloobmennik.net/5306303 кт Ссылка на комментарий
fifa888.dexo Опубликовано 22 июля, 2015 Автор Поделиться Опубликовано 22 июля, 2015 спасибо По ОПТГ, формирователь не докручен, вам уже сказали, имплант в области левого клыка скорее всего не в контакте с четверкой (но надо глянуть КТ), даже если четверка депульпирована, она бы четко отреагировала бы на контакт с имплантом, болью или дискомфортом при накусывании/надавливании. В области синуса воспаление не особо просматривается и материал тоже четко не визуализируется в пазухе. Капать надо сосудосуживающее или гормональное. Выложите еще раз ссылку на КТ, ваши срезы не информативны. http://www.fayloobmennik.net/5306303 кт спасибо вам огромное))) Ссылка на комментарий
fifa888.dexo Опубликовано 22 июля, 2015 Автор Поделиться Опубликовано 22 июля, 2015 (изменено) По ОПТГ, формирователь не докручен, вам уже сказали, имплант в области левого клыка скорее всего не в контакте с четверкой (но надо глянуть КТ), даже если четверка депульпирована, она бы четко отреагировала бы на контакт с имплантом, болью или дискомфортом при накусывании/надавливании. В области синуса воспаление не особо просматривается и материал тоже четко не визуализируется в пазухе. Капать надо сосудосуживающее или гормональное. Выложите еще раз ссылку на КТ, ваши срезы не информативны. А тизин био капать подойдет?Или надо пойти к другому лору и он назначит?Так как мой который делал прокол и в одной клинике работает с импланологом сказал что как пациентку он меня потерял(т.е ничего больше не назначил после того как я прокапала положенные капли"тизин ксило" после прокола,и сказал что пазуха по его части чистая)и еще чем опасно что формирователь недокручен?Хирург к которому я позавчера ходила на консультацию сказал что только тем что он может выкрутится и вывалится Изменено 22 июля, 2015 пользователем fifa888.dexo Ссылка на комментарий
diesel87 Опубликовано 22 июля, 2015 Поделиться Опубликовано 22 июля, 2015 http://fs2.directupload.net/images/150723/9sv48h7l.jpg http://fs1.directupload.net/images/150723/9nsd29hm.jpg http://fs2.directupload.net/images/150723/q4s456ou.jpg http://fs2.directupload.net/images/150723/9x7h27mc.jpg По КТ:1.возможно имплант в области клыка в апексе (самой верхней части) контактирует с четверкой (не ясно из-за того что имплант фонит), если четверка не реагирует, то пока наблюдать, делать прицельные снимки раз в 3/6/9/12 месяцев.2. Не докрученный формирователь, особо не страшно, но в щель может врасти десна, будет запах, локальное воспаление в области шейки импланта, так что лучше его докрутить или если он упирается в соседние зубы, поменять на узкий и докрутить.3. Имплант что в синусе, по снимку он практически весь в кости, а "воспаление" могло быть там и ранее, есть снимки до операции?? Ссылка на комментарий
fifa888.dexo Опубликовано 22 июля, 2015 Автор Поделиться Опубликовано 22 июля, 2015 (изменено) http://fs2.directupload.net/images/150723/9sv48h7l.jpg http://fs1.directupload.net/images/150723/9nsd29hm.jpg http://fs2.directupload.net/images/150723/q4s456ou.jpg http://fs2.directupload.net/images/150723/9x7h27mc.jpg По КТ:1.возможно имплант в области клыка в апексе (самой верхней части) контактирует с четверкой (не ясно из-за того что имплант фонит), если четверка не реагирует, то пока наблюдать, делать прицельные снимки раз в 3/6/9/12 месяцев.2. Не докрученный формирователь, особо не страшно, но в щель может врасти десна, будет запах, локальное воспаление в области шейки импланта, так что лучше его докрутить или если он упирается в соседние зубы, поменять на узкий и докрутить.3. Имплант что в синусе, по снимку он практически весь в кости, а "воспаление" могло быть там и ранее, есть снимки до операции?? Доктор, вы не представляете как я вам благодарна! Да есть кт до операции,ее специально делали чтобы посмотреть нет ли в пазухе воспаления,сказали что все чисто(((А второй клык рядом с которым зуб немеет нормально,не сильно близко?То что имплант в кости это хорошо?Осталось уговорить своего имплантолога докрутить формирователь,я его уже просила когда швы снимали,а он постучал что то поковырял и не стал(((И последний вопрос,вы уж меня простите за назойливость))То что сейчас на данный момент воспаление там еще осталось,и сказали наблюдать,не пострадает ли от этого кость и соседние зубы?И до какого времени можно ждать чтобы все ушло(или не ушло)?Я боюсь что перейдет в хроническую форму и там вообще все сгниет.P.S. на зубе который возможно задевает имплант стоит вкладка из циркония и временная коронка,при нажимании на этот зуб после имплантации появилось чувство с внешней стороны(ближе к щеке)что коронка входит в десну как если бы она шаталась,но она не шатается.Это можно назвать дискомфортом? Изменено 22 июля, 2015 пользователем fifa888.dexo Ссылка на комментарий
St. Опубликовано 23 июля, 2015 Поделиться Опубликовано 23 июля, 2015 То что имплант в кости это хорошо? Конечно, хорошо! Я боюсь что перейдет в хроническую форму и там вообще все сгниет. Не переживайте. С большой долей вероятности у Вас всё будет хорошо. Но наблюдать на всякий случай нужно. Обязательно. Ссылка на комментарий
fifa888.dexo Опубликовано 23 июля, 2015 Автор Поделиться Опубликовано 23 июля, 2015 Конечно, хорошо! Не переживайте. С большой долей вероятности у Вас всё будет хорошо. Но наблюдать на всякий случай нужно. Обязательно. Спасибо большое!Я очень на это надеюсь Ссылка на комментарий
Рекомендуемые сообщения