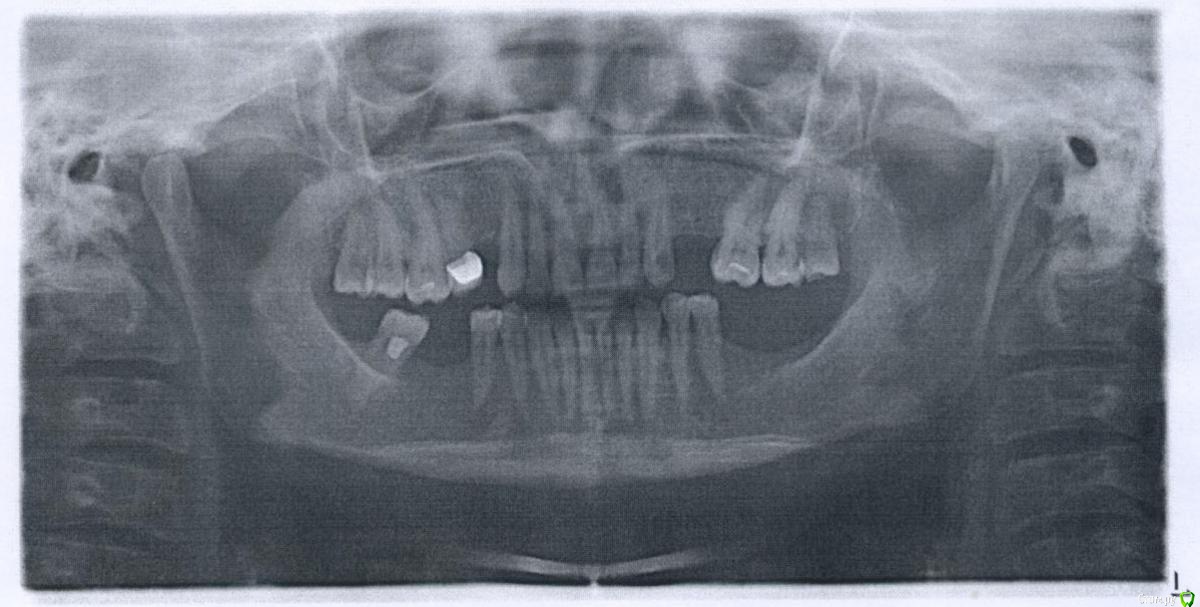
Barbar Опубликовано 16 июля, 2015 Поделиться Опубликовано 16 июля, 2015 Добрый день! У меня неправильный прикус и отсутствуют зубы 14, 24, 25, 36, 37, 46, которые я в ближайшее время собираюсь заменить имплантами. Мне 43 года.Подскажите, пожалуйста, с чего начать: с имлантов или исправления прикуса? Возможно ли решить проблему прикуса брикетными системами? можно ли исправить лингвальными брикетами? применить на обе челюсти?Или есть другое решение?Огромное спасибо за рекомендации заранее! Ссылка на комментарий
Barbar Опубликовано 16 июля, 2015 Автор Поделиться Опубликовано 16 июля, 2015 Дополнительные фото: Ссылка на комментарий
Barbar Опубликовано 17 июля, 2015 Автор Поделиться Опубликовано 17 июля, 2015 Может быть, мне не заморачиваться с брикетами, забыть о прикусе, поставить на нижние передние зубы коронки, а верхние закрыть винирами? Хотелось бы не стесняться своей улыбки и мочь в компании друзей наконец-то ржать во весь рот. А то все уже думают, что у меня нет чувства юмора. Ссылка на комментарий
Barbar Опубликовано 19 июля, 2015 Автор Поделиться Опубликовано 19 июля, 2015 Полковнику никто не пишет... Почему? Ни у кого нет идей? Не интересный случай? Все в отпуске? Мало/не те фото? Ситуация безнадёжна и вопрос надо было задавать сразу хирургам?Неужели никто не подскажет порядок действий?Уважаемые ортодонтологи! Мне как абсолютному новичку очень важен совет квалифицированных специалистов, и даже если вам кажется, что тут и без советов всё ясно, просветите меня! пожалуйста! Ссылка на комментарий
red_butler Опубликовано 21 июля, 2015 Поделиться Опубликовано 21 июля, 2015 Вы разделом ошиблись, Вам протезироваться нужно Ссылка на комментарий
Yana guapa Опубликовано 21 июля, 2015 Поделиться Опубликовано 21 июля, 2015 Хотелось бы не стесняться своей улыбки и мочь в компании друзей наконец-то ржать во весь рот. А то все уже думают, что у меня нет чувства юмора. что именно Вам мешает широко улыбаться??? форма зубов, их расположение, отсутствие боковых зубов...? что именно Вы хотели справить с помощью брекетов? Вам стоматолог посоветовал заниматься прикусом или это Ваши предположения? если хотите просто поставить отсутствующие зубы - то Вам к ортопеду надо. Он посмотрит и скажет , ДОСТАТОЧНО ли места по ширине и высоте для имплантации и протезирования. если да, то просто протезируйтесь. Если же нет - то тогда Вам к ОРТОДОНТУ. Ссылка на комментарий
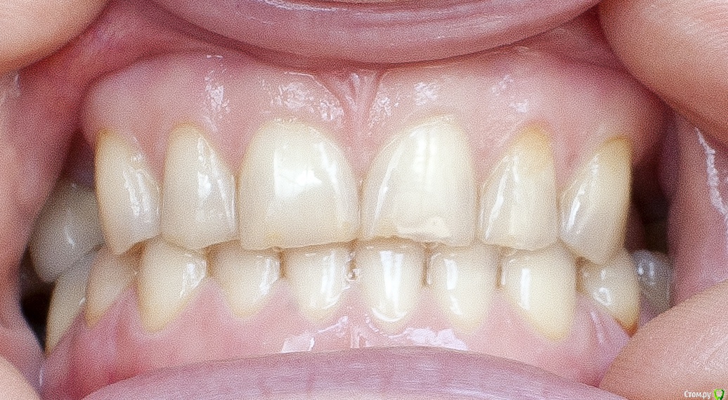
Barbar Опубликовано 21 июля, 2015 Автор Поделиться Опубликовано 21 июля, 2015 что именно Вам мешает широко улыбаться??? форма зубов, их расположение, отсутствие боковых зубов...? что именно Вы хотели справить с помощью брекетов? Вам стоматолог посоветовал заниматься прикусом или это Ваши предположения? если хотите просто поставить отсутствующие зубы - то Вам к ортопеду надо. Он посмотрит и скажет , ДОСТАТОЧНО ли места по ширине и высоте для имплантации и протезирования. если да, то просто протезируйтесь. Если же нет - то тогда Вам к ОРТОДОНТУ. Да, да и да! " форма зубов, их расположение, отсутствие боковых зубов..."Ладно, их расположение устраивает, во рту они как раз на правильном месте %РМне не нравится, что зубы пожелтели, неровны и сточены, особенно нижние. И прикус!Верхние зубы направлены немного вовнутрь и перекрывают нижние, у которых от этого сильный наклон вовнутрь. Уж не знаю как лучше объяснить, я не врач и терминами не владею. Думала, что всё понятно по фото. Улыбка получается жалкая. Имплантаты на место отсутствующих зубов будут ставить, уже решено. 6 штук, что недёшево. Но хотелось наконец решить эту проблему так, чтобы не было мучительно... то есть все продумать и закрыть тему зубов на долгие годы. Исправить прикус тоже.Мои вопросы были - с чего начать? Какие варианты? Помогут ли (для прикуса) просто коронки на передние нижние зубы? тогда придётся закрыть коронками весь ряд? или только 6 зубов? Или поставить имплантаты и постепенно исправлять прикус лигвальными брикетами? Но тогда высота имплантатов после исправления будет недостаточной? Ссылка на комментарий
Yana guapa Опубликовано 22 июля, 2015 Поделиться Опубликовано 22 июля, 2015 Думала, что всё понятно по фото. понятие красоты и "идеальной улыбки" у всех разное. Врач не навязывает свое мнение. Эстетический момент пациент сам решает. Врач объясняет больше "функциональную" часть. Ссылка на комментарий
Yana guapa Опубликовано 22 июля, 2015 Поделиться Опубликовано 22 июля, 2015 Имплантаты на место отсутствующих зубов будут ставить, уже решено. 6 штук Мои вопросы были - с чего начать? Какие варианты? Помогут ли (для прикуса) просто коронки на передние нижние зубы? тогда придётся закрыть коронками весь ряд? или только 6 зубов? Или поставить имплантаты и постепенно исправлять прикус лигвальными брикетами? Но тогда высота имплантатов после исправления будет недостаточной? если хотите заняться полностью всеми зубами, прикусом, то Вам необходимо 1. удалить верхние восьмерки ( справа в первую очередь по тому, что нужно создать место под имплант 1.4 зуба, слева - потому что нет зуба-антагониста и эта восьмерка будет все больше выдвигаться вниз.)2. создать место под имплант 1.4 зуба (на брекетах)3. разобраться с 1.5 зубом 4. поднять заваленные боковые зубы (4.7, 2.6) (на брекетах)5. опустить выдвинутые нижние премоляры (зубов верхних нет и они с годами стали подниматься) (на брекетах)6. сделать желаемый наклон резцов7. имплантация8. виниры Все это Вам итак должен посоветовать Ваш ортопед , так как без такой подготовки за протезироваться и получить желаемый результат будет невозможно 1 Ссылка на комментарий
Barbar Опубликовано 23 июля, 2015 Автор Поделиться Опубликовано 23 июля, 2015 если хотите заняться полностью всеми зубами, прикусом, то Вам необходимо 1. удалить верхние восьмерки ( справа в первую очередь по тому, что нужно создать место под имплант 1.4 зуба, слева - потому что нет зуба-антагониста и эта восьмерка будет все больше выдвигаться вниз.) 1. Вы, наверное, имели в виду шестёрки? Ссылка на комментарий
Yana guapa Опубликовано 23 июля, 2015 Поделиться Опубликовано 23 июля, 2015 1. Вы, наверное, имели в виду шестёрки?у вас хорошие здоровые шестерки. только немного сдвинулись и наклонились вперед (это Вам исправят на брекетах) а удалить надо 8-ки! т.н. "зубы мудрости". почему - см. выше Ссылка на комментарий
Barbar Опубликовано 23 июля, 2015 Автор Поделиться Опубликовано 23 июля, 2015 Большое спасибо за совет, Yana! Зубы мудрости как-то жаль выдирать. Здесь в форуме обычно советуют сохранять родные зубы до последнего. Но если надо...Мне врач предложил не особенно заморачиваясь перекрыть все передние зубы коронками. Я такого радикального решения, честно говоря, не ожидала, а когда увидела сумму предварительного счёта, чуть не поперхнулась, как раз воду пила. А Вы как к этому относитесь? Ссылка на комментарий
Yana guapa Опубликовано 23 июля, 2015 Поделиться Опубликовано 23 июля, 2015 1. зубы мудрости - это не функциональные зубы, тем более у Вас. (нет и не будет нижних зубов антагонистов) . на этом форуме никто не рекомендует сохранять восьмерки (по крайней мере я не встречала таких рекомендаций точно)2. как Вы могли заметить пункт "виниры" стоит на последнем месте. так как это Ваше мнение, что зубы у Вас неэстетичной формы. так что решать Вам. и да, Виниры - это недешево. Ссылка на комментарий
Barbar Опубликовано 23 июля, 2015 Автор Поделиться Опубликовано 23 июля, 2015 Нет, он предложил именно коронки. Ссылка на комментарий
Barbar Опубликовано 23 июля, 2015 Автор Поделиться Опубликовано 23 июля, 2015 И причём безо всяких брикетов. По сценарию: пришла, заснула, очнулась - мне зубы, а ему деньги. Я думаю, это мечта любого стоматолога (прошу не обижаться, это добрая шутка)По поводу эстетики - вам правда мои зубы кажутся в полном порядке или просто у вас мои фото в полный размер не открываются? На последней фотографии особенно видно, что нижние зубы сточены и пожелтели, а верхние неровные, имеют зазубренные края и частично уже прозрачные, или нет? Вы, как стоматолог, можете видеть проблемы в зубах, кажущихся идеальными, что простым смертным не под силу, и при этом мои зубы Вам кажутся вполне эстетичными? Ссылка на комментарий
Yana guapa Опубликовано 23 июля, 2015 Поделиться Опубликовано 23 июля, 2015 Нет, он предложил именно коронки. коронки в наше время и при Ваших неразрушенных зубах? нет! показаний к коронкам у Вас нет. если и делать - то тонкие накладки на зубы - виниры. Они крепятся только спереди и "спиливается" ооочень мало эмали, буквально для сцепления. чтобы поставить коронки - нужно спилить эмаль вокруг всего зуба. Плюс у Вас очень плотный контакт между верхними и нижними резцами (чтобы рот закрывался как раньше - надо будет много спилить, чтобы коронки "вместились " в это пространство ) (коряво, на пальцах объясняю) Ссылка на комментарий
Yana guapa Опубликовано 23 июля, 2015 Поделиться Опубликовано 23 июля, 2015 По поводу эстетики - вам правда мои зубы кажутся в полном порядке или просто у вас мои фото в полный размер не открываются? На последней фотографии особенно видно, что нижние зубы сточены и пожелтели, а верхние неровные, имеют зазубренные края и частично уже прозрачные, или нет? Вы, как стоматолог, можете видеть проблемы в зубах, кажущихся идеальными, что простым смертным не под силу, и при этом мои зубы Вам кажутся вполне эстетичными?многие пациенты позавидовали бы Вашим зубам )) пусть и боковые Вы по каким то причинам потеряли , но передние зубы здоровые.немного стерлись режущие края (но вы не забывайте что и со временем у всех людей стираются зубы, ну и конечно Вы их повышенно истирали в связи с отсутствием боковых зубов). их можно заполировать просто. Я так понимаю что все-таки Вас больше беспокоит непосредственно расположение зубов, степень их обнажения при улыбке - это тогда исправлять только брекетами. Вообще - улыбку нужно уметь носить и преподносить!)) Возможно можно ее дополнительно оформить, например, сделать губы немного пухлее, тогда вся улыбка станет выразительнее. как вариант - подумайте) Ссылка на комментарий
Yana guapa Опубликовано 23 июля, 2015 Поделиться Опубликовано 23 июля, 2015 И причём безо всяких брикетов. это странно. Даже не представляю как это можно сделать. тем более красиво и стабильно. Вы хотите получить идеальную долгожданную улыбку. Без дополнительной подготовки она получится ........ , мягко говоря среднечковой, "поржать во всех рот" как Вы мечтали не захочется Ссылка на комментарий
Barbar Опубликовано 23 июля, 2015 Автор Поделиться Опубликовано 23 июля, 2015 это странно. Даже не представляю как это можно сделать. тем более красиво и стабильно. Вы хотите получить идеальную долгожданную улыбку. Без дополнительной подготовки она получится ........ , мягко говоря среднечковой, "поржать во всех рот" как Вы мечтали не захочется Вот и я не в восторге от его предложения. Я же сразу спрашивала про брикеты. Значит, я к ним морально готова. Но мой доктор - нет. А Вы мне польстили, когда сказали, что моим зубам можно позавидовать. Просто приятно читать. Понятно, что некоторым не повезло ещё больше. И что в Африке, например, дети не доедают. У Вас зубы очень красивые, без преувеличений, и Вам широко улыбаться кажется естественным, поэтому Вы меня просто успокаиваете и ободряете тем, что стоит только вкачать жир с попы в губы - и вуаля! - уже ослепительная улыбка. Спасибо Вам за это. Но! походив пару лет без зубов на видном месте понимаешь, что проблему губной помадой и хихиканьем в ладошку не решишь. Поэтому я благодарна этому форуму и в частности Вашим советам - они действительно помогают мне понять что делать! Ссылка на комментарий
Yana guapa Опубликовано 23 июля, 2015 Поделиться Опубликовано 23 июля, 2015 Поэтому я благодарна этому форуму и в частности Вашим советам - они действительно помогают мне понять что делать!если готовы к "тотальной" полноценной работе - осталось только найти кто ее выполнит, кому Вы доверитесь без оглядки. и как говорится " мастер приходит сам, когда ученик готов"! Ссылка на комментарий
Barbar Опубликовано 23 июля, 2015 Автор Поделиться Опубликовано 23 июля, 2015 если готовы к "тотальной" полноценной работе - осталось только найти кто ее выполнит, кому Вы доверитесь без оглядки. и как говорится " мастер приходит сам, когда ученик готов"! Через месяц я собираюсь в зубную клинику, она далеко, поэтому о стратегии лечения договариваюсь пока на расстоянии. Так что к "мастеру" мне ещё на первое обследование ехать. Надеюсь, они тоже как и Вы, поддержат брикеты. Ссылка на комментарий
Рекомендуемые сообщения
Для публикации сообщений создайте учётную запись или авторизуйтесь
Вы должны быть пользователем, чтобы оставить комментарий
Создать аккаунт
Зарегистрируйте новый аккаунт в нашем сообществе. Это очень просто!
Регистрация нового пользователяВойти
Уже есть аккаунт? Войти в систему.
Войти