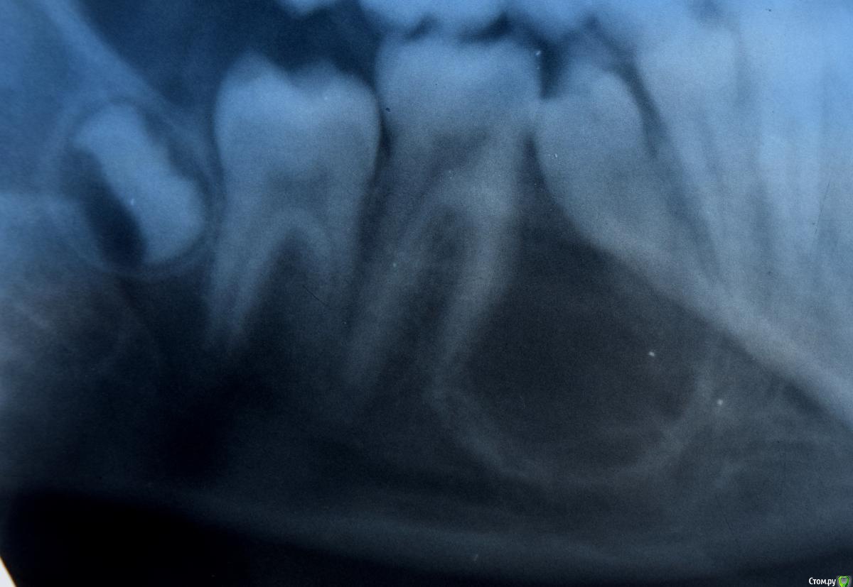
Kovalov Igor Опубликовано 14 июля, 2015 Поделиться Опубликовано 14 июля, 2015 (изменено) Уважаемые коллеги приветствую Вас! Встал вопрос стоит ли трогать фолликулярную кисту или наблюдать?Пациентка моя сестра, фолликулярная киста была случайной находкой, обнаружил ортодонт, отправил в областную больницу г. БелгородаВ детской ЧЛХ отказались, отправили в Харьков, это был 2013 год ещё. Во взрослой ЧЛХ не взялись, по возрасту. В детской члх сделали КТ, снимки и панораму прилагаю.Ps: картина за 2 года стала получше, но КТ сделают позже, есть внеротовой Rg снимок. Дело в том что я живу от сестры более 3000 км., сам бы это дело вскрыл амбулаторно, цистэктомия, графт+мембрана если гноя не будет... либо под йодоформом. Но вопрос стоит ли? и как по протоколу, каков Ваш план лечения? Депульпировать ли зубы 45-46? Изменено 14 июля, 2015 пользователем Kovalov Igor Ссылка на комментарий
Kovalov Igor Опубликовано 14 июля, 2015 Автор Поделиться Опубликовано 14 июля, 2015 (изменено) Через год ОПТГ снимок Изменено 14 июля, 2015 пользователем Kovalov Igor Ссылка на комментарий
Kovalov Igor Опубликовано 14 июля, 2015 Автор Поделиться Опубликовано 14 июля, 2015 вот Rg свежий. Вроде граница фолликулярной кисты уменьшилась.Как сделают КТ поделюсь тут... Буду признателен за ответы! Ссылка на комментарий
kriokov Опубликовано 14 июля, 2015 Поделиться Опубликовано 14 июля, 2015 Игорь' это не фолликулярная киста. Никакие зубы не депульпируйте. Сделате кт повторно. Сравните с прежними.скорее всего киста от ранее находившегося в дуге молочного зуба. После повторного кт можно будет сказать поточнее. Ну и с тактикой определиться. Сейчас что Вашу сестру беспокоит (жалобы)? 2 Ссылка на комментарий
Kovalov Igor Опубликовано 14 июля, 2015 Автор Поделиться Опубликовано 14 июля, 2015 Игорь' это не фолликулярная киста. Никакие зубы не депульпируйте. Сделате кт повторно. Сравните с прежними.скорее всего киста от ранее находившегося в дуге молочного зуба. После повторного кт можно будет сказать поточнее. Ну и с тактикой определиться. Сейчас что Вашу сестру беспокоит (жалобы)?А как отличит по КТ фоликулярную кисту от обычной кисты?Жалоб никаких не было, в 4 года ей лечили временный зуб в этой области. Возможно это и есть отголоски. Повторное КТ уже порекомендовал ей. Сделают, выложу тут.Благодарю Вас за ответ! Ссылка на комментарий
Alexey Doc Опубликовано 14 июля, 2015 Поделиться Опубликовано 14 июля, 2015 Фолликулярная киста связана с ( зачатком) зуба А как отличит по КТ фоликулярную кисту от обычной кисты?Жалоб никаких не было, в 4 года ей лечили временный зуб в этой области. Возможно это и есть отголоски. Повторное КТ уже порекомендовал ей. Сделают, выложу тут.Благодарю Вас за ответ! Фолликулярная киста связана с коронкой прорезывающегося или ретинированного зуба. А это скорее всего резидуальная 3 Ссылка на комментарий
Kovalov Igor Опубликовано 14 июля, 2015 Автор Поделиться Опубликовано 14 июля, 2015 Фолликулярная киста связана с ( зачатком) зуба Фолликулярная киста связана с коронкой прорезывающегося или ретинированного зуба. А это скорее всего резиду<kБлагодарю за ответ!как поступили бы вы? цистотомия, цистэктомия? Можно ли работать ортодонту с брекит системой чтобы поставить 45 в своё положение? Ссылка на комментарий
krokomot Опубликовано 14 июля, 2015 Поделиться Опубликовано 14 июля, 2015 (изменено) нужно удалить оболочку кисты.а там по ситуации. Изменено 14 июля, 2015 пользователем krokomot Ссылка на комментарий
kriokov Опубликовано 14 июля, 2015 Поделиться Опубликовано 14 июля, 2015 Благодарю за ответ!как поступили бы вы? цистотомия, цистэктомия? Можно ли работать ортодонту с брекит системой чтобы поставить 45 в своё положение? Пока никак' нужно кт повторно а потом план будет Ссылка на комментарий
kriokov Опубликовано 14 июля, 2015 Поделиться Опубликовано 14 июля, 2015 Похоже на глобуломандибулярную кисту, нужно удалить оболочку кисты.а там по ситуации.Встречал только глобумахиллярную, и она порок развития. По идее термина глобумандибулярная киста быть не может, т.к глобумаксиллярная это фиссуральная киста, дисэмбриогенез двух отростков проще говоря, откуда она в обл тела н.чел возмется? Ссылка на комментарий
Kovalov Igor Опубликовано 14 июля, 2015 Автор Поделиться Опубликовано 14 июля, 2015 А ортодонтию можно проводить ? Брекит система планировалась лечащим врачом Ссылка на комментарий
krokomot Опубликовано 14 июля, 2015 Поделиться Опубликовано 14 июля, 2015 Встречал только глобумахиллярную, и она порок развития. По идее термина глобумандибулярная киста быть не может, т.к глобумаксиллярная это фиссуральная киста, дисэмбриогенез двух отростков проще говоря, откуда она в обл тела н.чел возмется?Правильно поправил, дефекты на нижней в основном центральные - фиссуральные. Читал как-то что встречаются в области подбородочного отверстия, так называемые аневризмальные кисты, этиология которых не выяснена, но с зубами не связаны. Происходит за счет того что нижняя челюсть в начале эмбриогенеза формируется по типу трубчатой кости, а потом становится плоской. 1 Ссылка на комментарий
Большой Зеленый Опубликовано 14 июля, 2015 Поделиться Опубликовано 14 июля, 2015 Киста не фоликулярная. Проверить зубы на витальность ,вскрыть и подождать .Можно с катетером как недавно Ильгам показывал ,а можно и на турунде вести. http://forum.stom.ru/topic/28574-vopros-znatokam/?hl=%D0%BA%D0%B8%D1%81%D1%82%D0%B0%20%D0%BA%D0%B0%D1%82%D1%8D%D1%82%D0%B5%D1%80%20%D0%BA%D0%B0%D1%82%D0%B5%D1%82%D0%B5%D1%80 1 Ссылка на комментарий
Рекомендуемые сообщения
Для публикации сообщений создайте учётную запись или авторизуйтесь
Вы должны быть пользователем, чтобы оставить комментарий
Создать аккаунт
Зарегистрируйте новый аккаунт в нашем сообществе. Это очень просто!
Регистрация нового пользователяВойти
Уже есть аккаунт? Войти в систему.
Войти