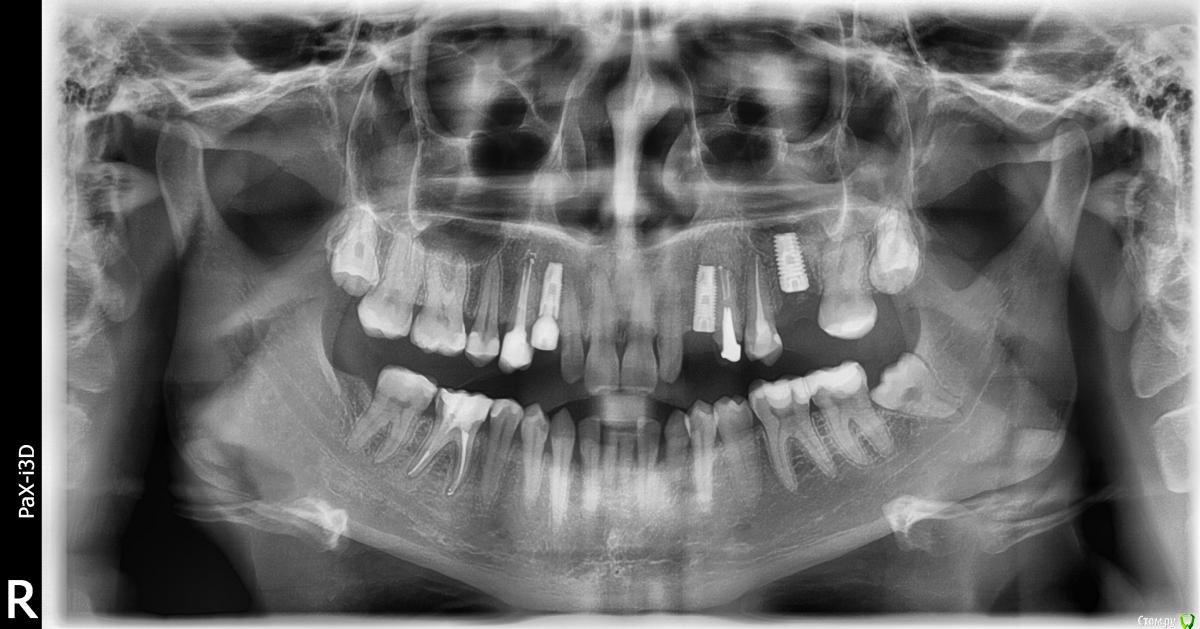
fifa888.dexo Опубликовано 13 июля, 2015 Поделиться Опубликовано 13 июля, 2015 Здравствуйте. На верхней челюсти четвертый зуб слева. Перелечили каналы, поставили вкладку из циркония и поставили временную коронку так как готовилась к имплантации.Сейчас сделала снимок и увидела пустое расстояние между каналами и вкладкой,подскажите что это такое,так должно быть?К своему ортопеду записана только на 19 августа,он у нас в городе считается очень хорошим и к нему большая запись,так делал все аккуратно мне все очень понравилось.,но вкладка смущает.... Ссылка на комментарий
anvladd Опубликовано 13 июля, 2015 Поделиться Опубликовано 13 июля, 2015 Не переживайте так бывает, скорее всего материал нерентгеноконтрастный на который фиксировали вкладку. 4 Ссылка на комментарий
fifa888.dexo Опубликовано 13 июля, 2015 Автор Поделиться Опубликовано 13 июля, 2015 Не переживайте так бывает, скорее всего материал нерентгеноконтрастный на который фиксировали вкладку.Доктор спасибо большое за ответ)) Ссылка на комментарий
Рекомендуемые сообщения
Для публикации сообщений создайте учётную запись или авторизуйтесь
Вы должны быть пользователем, чтобы оставить комментарий
Создать аккаунт
Зарегистрируйте новый аккаунт в нашем сообществе. Это очень просто!
Регистрация нового пользователяВойти
Уже есть аккаунт? Войти в систему.
Войти