Galyana Опубликовано 13 июля, 2015 Поделиться Опубликовано 13 июля, 2015 Уважаемые врачи, Вылечили мне тройку на верхней челюсти, удалили нерв, ничего не болит, все прекрасно. Но моя израильская знакомая сообщила мне такую информацию: на любой депульпированный зуб сразу же ставится коронка в Израиле, иначе зуб не сохранится более 5-6 лет ,и его можно потерять. Сижу расстроенная: мой врач даже не предложила установку коронки, вообще о ней не упомянула. Зуб выглядит красиво, но надолго ли? Деньги заплачены немалые. Получается, что у российских и израильских врачей различные подходы в лечении? Прошу знатоков пояснить. Заранее благодарю! Ссылка на комментарий
anvladd Опубликовано 13 июля, 2015 Поделиться Опубликовано 13 июля, 2015 снимки,фото выкладывайте. Ссылка на комментарий
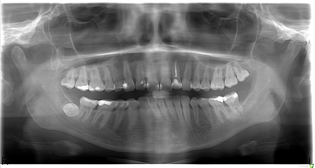
Galyana Опубликовано 13 июля, 2015 Автор Поделиться Опубликовано 13 июля, 2015 снимки,фото выкладывайте.Вообще я обратилась к врачу, так как у меня ныла верхняя челюсть, но я не могла определить какой конкретно зуб болит. Врач сказала, что ноет из- за тройки и вылечила ее. Но еще сказала, что надо удалять восьмерку. Вот думаю удалять или нет. Но челюсть все равно периодически ноет. Может и не надо было депульпировать тройку, явно она меня не беспокоила. Но это все размышления, а вот снимок до депульпации тройки Ссылка на комментарий
anvladd Опубликовано 13 июля, 2015 Поделиться Опубликовано 13 июля, 2015 По поводу 3ки,все зависит насколько сильно разрушен зуб,если судить по этому снимку,то я бы коронку не ставил,хотя бог знает как доктор расскрывала,сколько тканей осталось.Вы написали,что боли остались,надо бы посмотреть 17,16,12,11 зубы и 47,46. Все 8ки я бы удалил. Ссылка на комментарий
Galyana Опубликовано 13 июля, 2015 Автор Поделиться Опубликовано 13 июля, 2015 По поводу 3ки,все зависит насколько сильно разрушен зуб,если судить по этому снимку,то я бы коронку не ставил,хотя бог знает как доктор расскрывала,сколько тканей осталось.Вы написали,что боли остались,надо бы посмотреть 17,16,12,11 зубы и 47,46. Все 8ки я бы удалил.Спасибо за консультацию! Ссылка на комментарий
Рекомендуемые сообщения
Для публикации сообщений создайте учётную запись или авторизуйтесь
Вы должны быть пользователем, чтобы оставить комментарий
Создать аккаунт
Зарегистрируйте новый аккаунт в нашем сообществе. Это очень просто!
Регистрация нового пользователяВойти
Уже есть аккаунт? Войти в систему.
Войти