fifa888.dexo Опубликовано 12 июля, 2015 Поделиться Опубликовано 12 июля, 2015 Здравствуйте.2.07.2015 мне была проведена операция по установке трех имплантов альфа био и открытому синус-лифтингу. Т.е. два клыка сверху(на их местах раньше были молочные зубы без зачатков коренных), и верхней 6 слева.Шестерка была удалена давно и потребовался синус-лифтинг,врач поставил имплант туда сразу. После операции была конечно сильная боль,пила найз, антибиотик рулид,полоскала хлоргексидином, капала в нос виброцил и вообще соблюдала строжайше все рекомендации врача.3.07.2015 боль была меньше начал появляться отек,но все как предупреждали врачи т.е. в пределах нормы,съездила в клинику меня посмотрели все нормально.4.07.2015 обезбаливающее пила только к вечеру, днем было нормально только стала болеть голова и беспокоило чувство перекатывания в пазухе при наклоне головы,я думала из-за отека.5.07. места имплантации не беспокоили практически, поехала к врачу сказала про перекатывания в пазухе и был немного белый налет на деснах он сказал что это все нормально.К вечеру опять разболелась голова таблетка найза все разрешила.6.07 стал сходить отек немного пожелтела скула был последний день приема антибиотика,ничего не беспокоило только чувство перекатывания при наклоне головы и немного побаливала голова. Обезбаливающие не пила.7.07. в обед стало беспокоить место синус лифтинга началась боль которая к вечеру перешла в пульсирующую. Выпила обезбаливающее,чаще делала ванночки с хлоргексидином.8.07. Проснулась от дергающей боли в месте синуса и вообще всей пазухи,языком нащупала между десной где проводился синус лифтинг и щекой горячее уплотнение,щека тоже была горячее чем вторая,но температуры не было, поехала срочно к врачу!!!Врач посмотрел пощупал сказал что шишка в норме но отправил на снимок,позвали к себе после снимка сказали что немного осыпалась искуственная кость (био осс), спросили не чихала ли я,говорю что нет. Говорю что делать сказали подождать в коридоре.Врач бегал мимо меня кого то искал,потом с мужчиной удалился в кабинет,через пять мин позвали меня.Мужчина оказался лор сказал что они мне предлагают сделать прокол так как в пазухе у меня воспаление и по другому его не снять.Я в шоке.Мой врач кивает. Пазухи смотрели на кт перед операцией все было нормально и вообще у меня никогда не было гайморита!!!Я согласилась.Прокололи, помыли 2 раза и третий раз с антибиотиком.Назначили тизин и цефтриаксон колоть 7 дней по 2 раза в день.И все!Врач сказал на снятие швов 16.07. Вечером начлась адская боль в щеке все дергало шишка вздулась еще больше, отек сошел почти,но сама пазуха была намного выше второй.Я не могла уснуть до двух ночи обезбаливающее почти не помогало. С утра стало гораздо легче был горький привкус во рту,шишка стала меньше,а по задней стенке горла текла ручейком кровь потом перестала и начали отходить сгустки гноя и слизи через нос и через носоглотку(я не сморкалась тизин как то прогонял видимо)при наклоне все вытекало.А самое главное чувство перекатывания в пазухе полностью ушло!!!Сегодня 12.07 шишка сошла еще вчера,но пазуха до конца так и не опустилась я чувствую что там еще что-то есть, не дергает,не болит, гной больше не выходит..только при нажатии на пятерку рядом с место синуса немного больно хотя она депульпирована. У меня есть панорамный снимок за сегодня и КТ перед проколом. Скрины с КТ делать не умею.Может на панорамке что то будет видно??Меня интересует вот что - разве может что-то прижиться после такого воспаления,может надо все вынимать???И кость осыпалась я видела на кт у них что оголен немного верх импланта, но врач сказал ничего страшного.Пазуху смотреть я пойду к другому лору,наверно еще отмывать надо будет...И посмотрите пожалуйста имплант справа(3),мне кажеться там задели корень соседнего зуба.Я вообще не понимаю что мне делать,понятно что это все не нормально,а врач говорит ничего все будет хорошо,настройтесь на позитивный лад.И вообще откуда это воспаление от осыпавшейся кости или наоборот кость осыпалась от хлынувшего гноя,или что вообще???Очень надеюсь на ваши хоть какие нибудь разъяснения.Заранее благодарю))) Ссылка на комментарий
fifa888.dexo Опубликовано 12 июля, 2015 Автор Поделиться Опубликовано 12 июля, 2015 P.S. попытаюсь сегодня разобраться как выложить КТ. Ссылка на комментарий
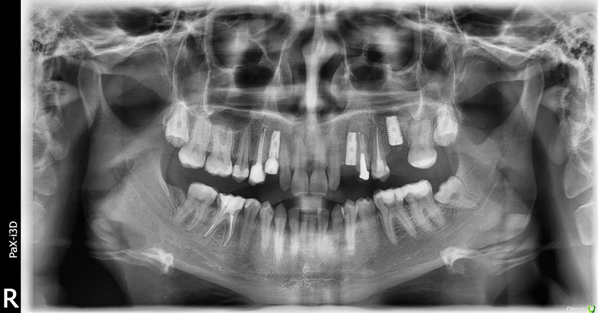
diesel87 Опубликовано 12 июля, 2015 Поделиться Опубликовано 12 июля, 2015 Кт будет информативнее, на панораме могут быть наложения Ссылка на комментарий
fifa888.dexo Опубликовано 13 июля, 2015 Автор Поделиться Опубликовано 13 июля, 2015 Кт будет информативнее, на панораме могут быть наложенияhttp://www.fayloobmennik.net/5306303 вот,вроде получилось.. Ссылка на комментарий
fifa888.dexo Опубликовано 13 июля, 2015 Автор Поделиться Опубликовано 13 июля, 2015 Launcher.zip Ссылка на комментарий
Bier Опубликовано 13 июля, 2015 Поделиться Опубликовано 13 июля, 2015 справа (на орто слева) еще недосажен формирователь десны. Ссылка на комментарий
fifa888.dexo Опубликовано 13 июля, 2015 Автор Поделиться Опубликовано 13 июля, 2015 (изменено) справа (на орто слева) еще недосажен формирователь десны.Точно!Спасибо!Он у меня кажется вообще десной начинает зарастать...А по другим двум имплантам и сложившейся ситуации с синусом проконсультируйте пожалуйста)Сегодня опять иду к лору,в пазухе что-то осталось пусть посмотрит. Изменено 13 июля, 2015 пользователем fifa888.dexo Ссылка на комментарий
fifa888.dexo Опубликовано 13 июля, 2015 Автор Поделиться Опубликовано 13 июля, 2015 (изменено) 1. Может ли био осс сохранить свою функцию после воспаления(или что это было??),т.е вынимать или может еще может прижиться?Я подозреваю что идет вялотекущий процесс который подснялся антибиотиком и боюсь за свою кость и соседние зубы.2. Если смотреть по кт задел ли имплант слева (по снимку справа) корень соседнего зуба?3. Если даже там больше нет воспаления кость то осыпалась,насколько это критично?4. Рядом с имплантом где недокручен формирователь зуб №2 - при надкусывании чувство онемения,это из-за того что имплант близко?Чем это опасно?Вот вроде и все.Очень жду вашего мнения. Изменено 13 июля, 2015 пользователем fifa888.dexo Ссылка на комментарий
Bier Опубликовано 14 июля, 2015 Поделиться Опубликовано 14 июля, 2015 ну если кто-то скачает КТ и выложит срезы, подскажу Ссылка на комментарий
fifa888.dexo Опубликовано 22 июля, 2015 Автор Поделиться Опубликовано 22 июля, 2015 ну если кто-то скачает КТ и выложит срезы, подскажуhttp://fs2.directupload.net/images/150723/9x7h27mc.jpghttp://fs2.directupload.net/images/150723/q4s456ou.jpghttp://fs1.directupload.net/images/150723/9nsd29hm.jpghttp://fs2.directupload.net/images/150723/9sv48h7l.jpg Ссылка на комментарий
Доктор Хаус Опубликовано 24 июля, 2015 Поделиться Опубликовано 24 июля, 2015 В гайморов ой воспаление . Такое ощущение что граф вывалился наружу из пазухи . И выходил в полость рта . Замечали крошки био оса во рту.на втором снимке видно что верхушка имплантата близко к десне , но если там не болит то это срез кт такой. Ссылка на комментарий
diesel87 Опубликовано 24 июля, 2015 Поделиться Опубликовано 24 июля, 2015 срезы максимально показательные, сам резал Ссылка на комментарий
Mane Опубликовано 24 июля, 2015 Поделиться Опубликовано 24 июля, 2015 Если нет жалоб и динамика положительная, возьмите паузу на пол года. Потом сделайте кт еще раз. Если все хорошо, то симптомы пройдут и импланты приживутся, материал сработает. На открытии имплантов все будет ясно окончательно, в случае если сейчас динамика будет положительная. Ссылка на комментарий
fifa888.dexo Опубликовано 29 июля, 2015 Автор Поделиться Опубликовано 29 июля, 2015 В гайморов ой воспаление . Такое ощущение что граф вывалился наружу из пазухи . И выходил в полость рта . Замечали крошки био оса во рту.на втором снимке видно что верхушка имплантата близко к десне , но если там не болит то это срез ктЗдравствуйте, да было воспаление,сделали 2 прокола,отмыли.Да мой доктор сказал что осыпался био осс и все в пределах нормы,крошек не было но была шишка в том месте и очень болела,впрочем как и пазуха.А что значит что верхушка близко к десне?там не болит вроде... Ссылка на комментарий
fifa888.dexo Опубликовано 29 июля, 2015 Автор Поделиться Опубликовано 29 июля, 2015 (изменено) Если нет жалоб и динамика положительная, возьмите паузу на пол года. Потом сделайте кт еще раз.Если все хорошо, то симптомы пройдут и импланты приживутся, материал сработает.На открытии имплантов все будет ясно окончательно, в случае если сейчас динамика будет положительная.Ситуация на сегодняшний день:вчера я ходила так сказать для контроля к еще одному доктору(пока мой в отпуске),сделал кт этого сигмента,сказал что в динамике по сравнению с другими кт,воспаление ушло полностью,что была перфорация слизистой скорее всего,и материал попал в устье и пошло воспаление.Что кости этой осталось удовлетворительно и нужно ждать и наблюдать.Но нос с этой стороны почему то все равно периодически закладывает я не могу дышать этой стороной.,меня это пугает.....И вообще это обычная ситуация что в одном месте мне пробили пазуху,в другом имплант касаеться корня зуба(это подтвердили уже очно 2 врача)в третьем недокрутили формирователь?...Потому что мне еще предстоит нижняя челюсть там у меня тоже молочные зубы... Изменено 29 июля, 2015 пользователем fifa888.dexo Ссылка на комментарий
fifa888.dexo Опубликовано 29 июля, 2015 Автор Поделиться Опубликовано 29 июля, 2015 (изменено) А если на открытии имплант в месте синуса не приживеться?...То тогда что?Я так понимаю все вытаскивают ждут и потом по новой.Да мне сказали что имплант вставят бесплатно,но в договоре написано что за операцию и за материалы по синусу ничего не возмещаеться если он не приживеться.Но это же не я пробила себе слизистую!У меня уже на 6 день после имплантации из пазухи отмыли кучу гноя!Т.е все пошло не так с самого начала.На косультациях мне сказали что процент приживления сильно упал после этого всего...Я выполняла все рекомендации,полоскала,береглась.Или я должна платить за этот синус до тех пор пока найдеться врач который все нормально сделает?! Изменено 29 июля, 2015 пользователем fifa888.dexo Ссылка на комментарий
red_butler Опубликовано 30 июля, 2015 Поделиться Опубликовано 30 июля, 2015 А если на открытии имплант в месте синуса не приживеться?...То тогда что?Я так понимаю все вытаскивают ждут и потом по новой. да Ссылка на комментарий
fifa888.dexo Опубликовано 30 июля, 2015 Автор Поделиться Опубликовано 30 июля, 2015 Уважаемые врачи,спасибо всем за консультации и мнения)))С вашей помощью я более менее во всем разобралась,и не упустила важный момент.Сегодня стал вываливаться(шататься) формирователь,который был изначально не докручен.Я пришла на прием,стали докручивать было чуть больно,и когда закрутили осталось чувство что прищемили десну.Я сказала об этом.Доктор боялся что выкрутит вместе с имплантом,но делать нечего, выкрутил нормально и увидел...что там проросла десна.Сделали укол.Что-то там поделали,поковыряли,сказали все нормально,и когда вкручивал обратно мой формирователь он это делал с силой раза три подтягивал,но имплант по ощущениям сидел крепко.Спустя 3 часа меня немного беспокоят болевые ощущения чуть ноет как-бы и на десне синяк.Скажите это норма? Ссылка на комментарий
diesel87 Опубликовано 30 июля, 2015 Поделиться Опубликовано 30 июля, 2015 Скорее норма. Ссылка на комментарий
Mane Опубликовано 2 августа, 2015 Поделиться Опубликовано 2 августа, 2015 Уважаемые врачи,спасибо всем за консультации и мнения)))С вашей помощью я более менее во всем разобралась,и не упустила важный момент.Сегодня стал вываливаться(шататься) формирователь,который был изначально не докручен.Я пришла на прием,стали докручивать было чуть больно,и когда закрутили осталось чувство что прищемили десну.Я сказала об этом.Доктор боялся что выкрутит вместе с имплантом,но делать нечего, выкрутил нормально и увидел...что там проросла десна.Сделали укол.Что-то там поделали,поковыряли,сказали все нормально,и когда вкручивал обратно мой формирователь он это делал с силой раза три подтягивал,но имплант по ощущениям сидел крепко.Спустя 3 часа меня немного беспокоят болевые ощущения чуть ноет как-бы и на десне синяк.Скажите это норма? да Ссылка на комментарий
Доктор Хаус Опубликовано 2 августа, 2015 Поделиться Опубликовано 2 августа, 2015 Здравствуйте, да было воспаление,сделали 2 прокола,отмыли.Да мой доктор сказал что осыпался био осс и все в пределах нормы,крошек не было но была шишка в том месте и очень болела,впрочем как и пазуха.А что значит что верхушка близко к десне?там не болит вроде...http://s009.radikal.ru/i309/1508/c9/8f0644c2dc49.jpg Я имел в виду вот этот снимок Ссылка на комментарий
diesel87 Опубликовано 3 августа, 2015 Поделиться Опубликовано 3 августа, 2015 отличная бикортикальная фиксация Ссылка на комментарий
Доктор Хаус Опубликовано 3 августа, 2015 Поделиться Опубликовано 3 августа, 2015 fifa888.dexo спросила что я имел в виду Ссылка на комментарий
fifa888.dexo Опубликовано 21 апреля, 2016 Автор Поделиться Опубликовано 21 апреля, 2016 Продолжение истории))))Если кому интересно. Пазуху после синус-лифтинга лечили полгода,в итоге стало более-менее но иногда подзакладывало. Неделю назад одели коронку.Началось ужасное давление,зуд, ломота в пазухе,очень чувствительна десна вокруг коронки,но она, самое интересное была не красная,не воспаленная.Проверили,коронка на соседние зубы не давит. Ощущение было, что хочется взять и все вытащить, все и имплант и пазуху и коронку.Вчера заложило пазуху, что вообще воздух не проходил,и сильное давление, такое что заболела вся левая сторона головы.Пошла к врачам своим,они меня посмотрели,сделали кт,криминального ничего не нашли,ортопед снял коронку,внутри все чисто,десна нормальная.Понесли мое кт к лору,тот сказал левосторонний ринит))))Мои врачи не знают что делать,как коронка связана с пазухой...Но коронку я не могу носить,потому что как только ее сняли у меня стало таааакое облегчение......И сегодня пазуха опять дышит, но отходит много прозрачной слизи.А теперь вопрос: кто-нибудь видит кроме меня в пазухе еще что-нибудь помимо легкого воспаления и импланта?)))))http://s019.radikal.ru/i629/1604/6f/53c50e3dc607.jpghttp://s019.radikal.ru/i629/1604/6f/53c50e3dc607.jpghttp://s020.radikal.ru/i721/1604/24/fafc874c36b5.jpghttp://s020.radikal.ru/i721/1604/24/fafc874c36b5.jpghttp://s020.radikal.ru/i701/1604/ae/91273dd0f992.jpghttp://s020.radikal.ru/i701/1604/ae/91273dd0f992.jpghttp://s61.radikal.ru/i174/1604/30/b1511be17268.jpghttp://s61.radikal.ru/i174/1604/30/b1511be17268.jpghttp://s017.radikal.ru/i420/1604/d5/3638f05b1e5f.jpghttp://s017.radikal.ru/i420/1604/d5/3638f05b1e5f.jpghttp://s017.radikal.ru/i438/1604/4e/aad57fe81666.jpghttp://s017.radikal.ru/i438/1604/4e/aad57fe81666.jpghttp://s019.radikal.ru/i636/1604/33/d614653e348a.jpg Ссылка на комментарий
fifa888.dexo Опубликовано 21 апреля, 2016 Автор Поделиться Опубликовано 21 апреля, 2016 Последние три скрина это после постановки коронки,а предыдущие за 2 месяца до.http://s42.radikal.ru/i096/1604/cc/37064e3a0c6b.jpghttp://s015.radikal.ru/i330/1604/4e/a93fa8015126.jpghttp://s014.radikal.ru/i326/1604/9b/6355d98badab.jpg Ссылка на комментарий
Рекомендуемые сообщения
Для публикации сообщений создайте учётную запись или авторизуйтесь
Вы должны быть пользователем, чтобы оставить комментарий
Создать аккаунт
Зарегистрируйте новый аккаунт в нашем сообществе. Это очень просто!
Регистрация нового пользователяВойти
Уже есть аккаунт? Войти в систему.
Войти