Bratok Опубликовано 10 июля, 2015 Поделиться Опубликовано 10 июля, 2015 Я так понял на форуме не очень жалуют люминиры. Хотелось бы понять, чем они хуже виниров? Ссылка на комментарий
4ebstom Опубликовано 10 июля, 2015 Поделиться Опубликовано 10 июля, 2015 А разве люминиры это не торговое (запатентованное) название виниров??Чтобы их изготавливать нужно пройти спец.обучение в штатах.Поправьте,если ошибаюсь. Ссылка на комментарий
Евгений Ходыкин Опубликовано 10 июля, 2015 Поделиться Опубликовано 10 июля, 2015 А разве люминиры это не торговое (запатентованное) название виниров??Чтобы их изготавливать нужно пройти спец.обучение в штатах.Поправьте,если ошибаюсь.Нет. Это фабричные виниры. Ссылка на комментарий
St. Опубликовано 10 июля, 2015 Поделиться Опубликовано 10 июля, 2015 Они стандартные и фиксируются на непрепарированные зубы. Видела в жизни 1 раз - не понравилось, очень много по толщине и грубо. Ссылка на комментарий
krokomot Опубликовано 10 июля, 2015 Поделиться Опубликовано 10 июля, 2015 Отличие люминиров от виниров постепенно стираются, основное отлитчие люминиры(патентовано) фиксируются без убыли твердых тканей. Можно даже сказать что теперь е.мах теперь почти как люминиры, только красивее))) Ссылка на комментарий
Saymon Опубликовано 10 июля, 2015 Поделиться Опубликовано 10 июля, 2015 (изменено) На сегодня, то что ты зафиксируешь на эмаль без препарирования это называется нон-преп. Люминиры имели лишь это относительное преимущество, но полевошпатная керамика кроме этого абсолютного плюса, имеет еще и лучшею эстетику по сравнению с люминирами. И в шаговой доступности Изменено 10 июля, 2015 пользователем Saymon Ссылка на комментарий
Bratok Опубликовано 14 июля, 2015 Автор Поделиться Опубликовано 14 июля, 2015 Перефразирую немного как убедить пациента, пришедшего на люминиры, что ему нужны виниры..Пациенту уже ранее впарили 2 вещи:1.люминиры без "обточки" 2. Люминиры можно всегда снять и зубы будут как новые )) вот это я слабо себе представляю ))))))) Сидит пациент и ты ему говоришь..нет вам не нужны люминиры без препа, вам лучше отпрепарировать и сделать виниры ) Ссылка на комментарий
AmbiDexter Опубликовано 15 июля, 2015 Поделиться Опубликовано 15 июля, 2015 Объясните как есть. Если пациент настаивает - значит это не ваш пациент. Я обычно приглашаю на переделку))) Ссылка на комментарий
molchanoff Опубликовано 27 июля, 2015 Поделиться Опубликовано 27 июля, 2015 стандартные заводские-это ж КОМПОНИРЫ (они еще из композита )а люминиры по слепку делают-значит индивидуальные, по прилеганию. 1 Ссылка на комментарий
Doc.IQ Опубликовано 27 июля, 2015 Поделиться Опубликовано 27 июля, 2015 стандартные заводские-это ж КОМПОНИРЫ (они еще из композита )а люминиры по слепку делают-значит индивидуальные, по прилеганию.+1где-то большой зеленый выкладывал набор компониров,только не помню,выкладывал ли кейс или нет.. Ссылка на комментарий
Doc.IQ Опубликовано 27 июля, 2015 Поделиться Опубликовано 27 июля, 2015 Перефразирую немного как убедить пациента, пришедшего на люминиры, что ему нужны виниры..Пациенту уже ранее впарили 2 вещи:1.люминиры без "обточки" 2. Люминиры можно всегда снять и зубы будут как новые )) вот это я слабо себе представляю )))))))Сидит пациент и ты ему говоришь..нет вам не нужны люминиры без препа, вам лучше отпрепарировать и сделать виниры )1.покажите пациенту фото работ с люминирами и винирами для сравнения,я думаю после этого все вопросы отпадут..2.взять листочек и написать при пациенте все за и против,иногда прибегаю к такому способу..работает..найти в инете научные исследования по этому поводу3.как вариант сказать что люминиры это и есть виниры,и сказать что без обточки имелось ввиду создание условий для фиксации люминира,как вариант создать место,чтоб они смотрелись гармонично и не "выпирали"..это на крайний случай)4.отправить туда,где это ему впарили..через время он поймет,что совершил ошибку.. Ссылка на комментарий
molchanoff Опубликовано 27 июля, 2015 Поделиться Опубликовано 27 июля, 2015 знакомый терапевт впаривает компониры по стоимости E.max-совя в шоке от этой системы Ссылка на комментарий
Doc.IQ Опубликовано 27 июля, 2015 Поделиться Опубликовано 27 июля, 2015 Лютый терапевт..а есть возможность выложить результат??Препарирует зуб или также нон-преп?они ж заводские,там определенная толщина...И вопрос в догонку:деиствительно ли под люминиры не требуется препаровки зуба и всегда удается его зафиксировать,чтоб не выделялся из общей картины??что то не верится!!!эт какая толщина реставрации должна быть.... Ссылка на комментарий
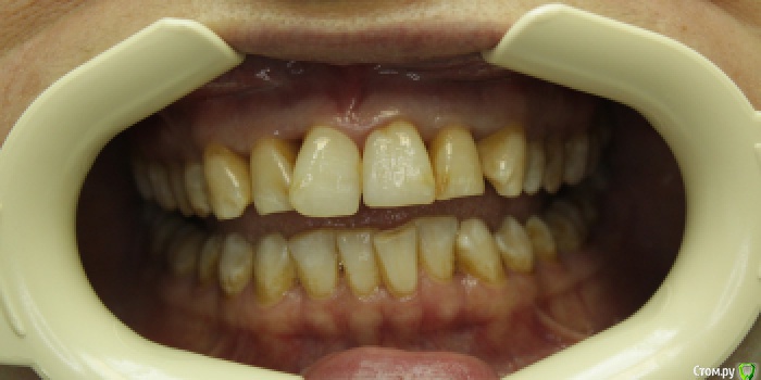
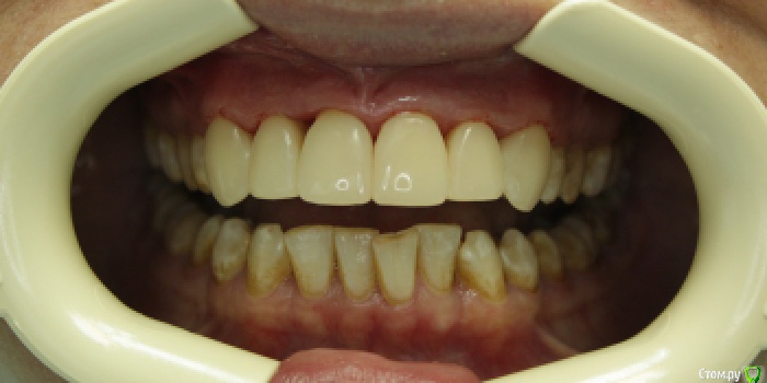
Alex52 Опубликовано 27 июля, 2015 Поделиться Опубликовано 27 июля, 2015 Классное видеоСаша Бабуров выкладывал данную картинку, но без подробностей (про кейс он знал) Ссылка на комментарий
molchanoff Опубликовано 27 июля, 2015 Поделиться Опубликовано 27 июля, 2015 (изменено) Лютый терапевт..а есть возможность выложить результат??Препарирует зуб или также нон-преп?они ж заводские,там определенная толщина...И вопрос в догонку:деиствительно ли под люминиры не требуется препаровки зуба и всегда удается его зафиксировать,чтоб не выделялся из общей картины??что то не верится!!!эт какая толщина реставрации должна быть....Аля Радлинский мля Изменено 27 июля, 2015 пользователем molchanoff Ссылка на комментарий
Bobby Опубликовано 28 июля, 2015 Поделиться Опубликовано 28 июля, 2015 Тему с Люминирами уже много раз обсуждали на разных форумах. Люминир это запатентованное название винира, который фиксируется на зуб без предварительного препарирования. Иногда допустимо лёгкое контурирование в пределах эмали. Все копировальные машины называют ксероксами, подгузники памперсами, внедорожники джипами, хотя Ксерокс, Памперс и Джип - это бренды. Также и с люминирами, их так в своё время разрекламировали, что все нонпреп виниры стали называть на букву Л. Люминиры производятся в лаборатории Денмат (Лос-Анжелис) и делаются из керамики, которая является аналогом материала, применяемого для изготовления классических виниров. Люминиры имеют очень большой плюс, привлекающий пациентов: не нужно препарировать зубы и вся работа делается без обезболивания. Именно это и является рекламной уловкой, на которую реагируют люди, желающие быстро и щадяще улучшить себе улыбку. Но! Есть несколько серьёзных НО, которые ставят практичность этой технологии под сомнение: 1) Процент пациентов, которым чисто технически, можно поставить люминиры очень мал. Смысл в том, что если не препарировать зуб, то приклеиваемый к его поверхности люминир, делает зуб очень крупным и выпуклым. Пациент берёт зеркало и говорит: Доктор, а что это Вы мне лошадиные зубы сделали? Люминиры подходят пациентам с мелкими и уплощёнными зубками, а также тем людям, укоторых зубы наклонены внутрь и есть тремы/диастема, а таких меньшинство. Есть ещё технический недостаток - Люминиры сложно аккуратно подогнать к десенному краю. 2) Если заказывать настоящие Люминиры из США, то это получается дорого и долго. Едем дальше. Ради того, чтобы не нарушать авторские права, многие клиники стали предлагать под соусом Люминиров свои накладки на зубы, которые делают в собственной лаборатории. Даже стали им придумывать различные названия: нановиниры, ультраниры, лАминиры, виниры без обточки, маникюр для зубов, улыбниры и т.д. В этом нет ничего плохого, просто чаще всего под этим скрываются обычные виниры, которые более красиво назвали. Адресная аудитория обращается по рекламе за одним, а получает совершенно другое. Но я считаю, если результат получился супер, то какая разница как это называется? По сути, все эти виниры, Люминиры и псевдовиниры - керамические скорлупки, которые улучшают форму и цвет зубов. 5 Ссылка на комментарий
Bobby Опубликовано 28 июля, 2015 Поделиться Опубликовано 28 июля, 2015 Мы один раз заказали 6 люминиров из LA, когда мы примерили работу, то поняли, что это как временные реставрации ))) Короче страшные они. 1 Ссылка на комментарий
Рекомендуемые сообщения
Для публикации сообщений создайте учётную запись или авторизуйтесь
Вы должны быть пользователем, чтобы оставить комментарий
Создать аккаунт
Зарегистрируйте новый аккаунт в нашем сообществе. Это очень просто!
Регистрация нового пользователяВойти
Уже есть аккаунт? Войти в систему.
Войти