Алексей81 Опубликовано 10 июля, 2015 Поделиться Опубликовано 10 июля, 2015 Здравствуйте, у меня болят (при нажатии на них) три верхних зуба с левой стороны. Самые последние, тоесть зуб мудрости (болит больше всех) и рядом с ним еще два зуба. Город в котором я живу небольшой и снимки делают только такие, можно ли по этим снимкам что-то понять? Врач смотрел, вроде ничего плохого не увидел, но зубы то болят, а он их дергать не хочет... Одиночный снимок это зуб мудрости, а двойной это те которые рядом с ним. Ссылка на комментарий
anvladd Опубликовано 10 июля, 2015 Поделиться Опубликовано 10 июля, 2015 гайморита нет у вас? Ссылка на комментарий
Алексей81 Опубликовано 10 июля, 2015 Автор Поделиться Опубликовано 10 июля, 2015 Чето только небыло, все началось в феврале после того как 2 раза переболел гриппом. Живот крутило, ком в горле, пропажа голоса, воспаленное горло и небо, мышечная дрож, ощущения потери сознания, всего теперь и не вспомнить... Потом после бани было обострение и сильно заболела голова, затылок и виски, ощущения распирания, давления, стягивания, запах в носу. Короче синусит определенно есть, промываю нос три недели примерно, шалфеем, выходит гной зелено -желтый, с головой сейчас получше стало. Сейчас беспокойт жжение в груди и горле, бывает опускаеться к солнечному сплетению, сильно воспаленное горло и челюсть ощущение как при свинке и трудно говорить, бывает горло как клещами схватит. Воспаление больше с левой стороны где и растут три этих больных зуба, подходит оно в плотную к корням зуба мудрости. Вот я и думаю может все это из за него(их) а наш славный хирург нивкакую нихочет их удалять, и меня совершенно не слушает... Ссылка на комментарий
anvladd Опубликовано 10 июля, 2015 Поделиться Опубликовано 10 июля, 2015 Сделайте КТ. Ссылка на комментарий
Алексей81 Опубликовано 13 июля, 2015 Автор Поделиться Опубликовано 13 июля, 2015 anvladdНу КТ это понятно, но сейчас нет возможности. а по этим снимкам ничего сказать нельзя? Ссылка на комментарий
anvladd Опубликовано 13 июля, 2015 Поделиться Опубликовано 13 июля, 2015 к сожалению нельзя. Ссылка на комментарий
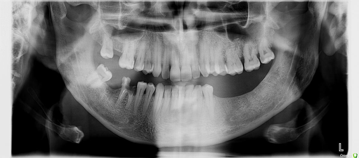
Алексей81 Опубликовано 28 июля, 2015 Автор Поделиться Опубликовано 28 июля, 2015 А что можно сказать по этому снимку? Ссылка на комментарий
shishok Опубликовано 28 июля, 2015 Поделиться Опубликовано 28 июля, 2015 Очень большая вероятность наличия кариозной полости на передней поверхности левой восьмерки. Ссылка на комментарий
Алексей81 Опубликовано 29 июля, 2015 Автор Поделиться Опубликовано 29 июля, 2015 Хирург с которым я говорил, сказал что у меня там (3 верхних коренных зуба с лева) киста и воспаление, хронический периодонтит, (если с названием не ошибся) на следующей недели поеду к нему на операцию, будем все удалять. Ссылка на комментарий
red_butler Опубликовано 29 июля, 2015 Поделиться Опубликовано 29 июля, 2015 показаний для удаления не увидел Ссылка на комментарий
Алексей81 Опубликовано 29 июля, 2015 Автор Поделиться Опубликовано 29 июля, 2015 На удалении настаиваю я сам, мне эти зубы ни к чему, мне предлагали их попробовать полечить я отказался. Ссылка на комментарий
red_butler Опубликовано 29 июля, 2015 Поделиться Опубликовано 29 июля, 2015 На удалении настаиваю я сам, мне эти зубы ни к чему, мне предлагали их попробовать полечить я отказался.Без комментариев. Тему закрываем? Ссылка на комментарий
Гарриевич Опубликовано 29 июля, 2015 Поделиться Опубликовано 29 июля, 2015 На удалении настаиваю я сам, мне эти зубы ни к чему, мне предлагали их попробовать полечить я отказался.здравый смысл, не, не слышали?)почему они Вам ни к чему? Ссылка на комментарий
St. Опубликовано 29 июля, 2015 Поделиться Опубликовано 29 июля, 2015 На удалении настаиваю я сам, мне эти зубы ни к чему, мне предлагали их попробовать полечить я отказался.А жевать потом чем собираетесь? Ссылка на комментарий
Алексей81 Опубликовано 29 июля, 2015 Автор Поделиться Опубликовано 29 июля, 2015 здравый смысл, не, не слышали?)почему они Вам ни к чему?А вы попробуйте здравый смысл включить... А жевать потом чем собираетесь?Тем же чем и сейчас. 1 Ссылка на комментарий
Гарриевич Опубликовано 29 июля, 2015 Поделиться Опубликовано 29 июля, 2015 А вы попробуйте здравый смысл включить... С такой же логикой и почку одну можно удалить, заодно и подзаработать Это конечно шуткиНо, лучше нижние челюсть спротезировать чем верхние удалять Ссылка на комментарий
St. Опубликовано 29 июля, 2015 Поделиться Опубликовано 29 июля, 2015 Зря..С такой логикой скоро может быть съемный протез. Ссылка на комментарий
Алексей81 Опубликовано 30 июля, 2015 Автор Поделиться Опубликовано 30 июля, 2015 С такой же логикой и почку одну можно удалить, заодно и подзаработать Это конечно шуткиНо, лучше нижние челюсть спротезировать чем верхние удалятьС такой как у вас можно сразу обе удалять, и что лучше, вам конечно тоже виднее. Зря..С такой логикой скоро может быть съемный протез.Все на логику набросились, а вы слышали что женщины и логика понятия мало совместимые, даже не всем мужикам она дается... 4 Ссылка на комментарий
red_butler Опубликовано 30 июля, 2015 Поделиться Опубликовано 30 июля, 2015 тему закрываю, будут вопросы по существу, пишите в личку - продолжим Ссылка на комментарий
Рекомендуемые сообщения